Search Dental Tribune

Dental News

Filter

ADA publishes FAQ on vaccines in the dental office

Can I as a health care employer require my employees to get COVID-19 vaccines? If I require staff members to be vaccinated, what proof can I request them to...

save

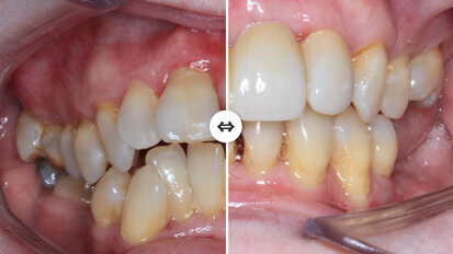
AAE publishes new position statement on vital pulp therapy

CHICAGO, Ill., USA: The American Association of Endodontists (AAE), recently released a new position statement on vital pulp therapy, which preserves the ...

save

Planmeca USA partners with The MOD Institute to provide evidence-based education

HOFFMAN ESTATES, Ill., USA: Earlier this year, Planmeca USA, known as a leading manufacturer of dental imaging and CAD/CAM equipment, announced a ...

save

University of Louisville dental school to operate clinic on Home of the Innocents campus

LOUISVILLE, Ky., USA: Earlier this year, Home of the Innocents and Norton Children’s Medical Group announced a partnership to begin on Oct. 1, in which ...

save

PinkWave from Vista Apex receives Catapult Vote of Confidence

RACINE, Wis., USA: Vista Apex, known as a market leader in endodontic and restorative solutions, has received the Catapult Vote of Confidence for its ...

save

OSAP announces new website and C.E. center

ATLANTA, Ga., USA: The Organization for Safety, Asepsis and Prevention (OSAP) has announced the launch of a new website and an online education platform. ...

save
advertisement

ADA ‘strongly’ encouraging dental professionals to be vaccinated

The American Dental Association is “strongly” encouraging dental professionals to be vaccinated for COVID-19 and other infectious diseases. The ADA is ...

save

Orthodontic treatment changes and efficiencies during COVID-19 pandemic

There have obviously been multiple impacts of COVID-19 on the human race. Measured adjustments to our normal routines, our families and how we have ...

save

GC America to present live, biofilm-focused seminar

ALSIP, Ill., U.S.: In celebration of GC’s 100th anniversary, GC America will host a one-day virtual symposium on combating biofilm and oral disease on ...

save

AI-powered solutions for braces and aligners of all brands

The company that helped pioneer the field of virtual orthodontics and has been a market leader since 2014 is working to revolutionize the industry once ...

save

AAO urges its members to take cyber security threats seriously

The American Association of Orthodontists (AAO) recently informed its members of the urgent threat posed by cyber attacks. Recent news, including the cyber ...

save

Survey shows most patients trust doctor’s advice on vaccine

Vaccine incentives are less likely to convince Americans to get the COVID-19 vaccine than a visit to their primary care physician, new research suggests. A ...

save
advertisement

An in-office-fabricated implant surgical guide corrected using CBCT

Geometry of the bone present can make implant placement challenging. This can be especially true in the anterior, where the angle of the ridge requires a ...

save

Updated COVID-19 procedures from ADA call for hazard assessments

The American Dental Association recently released updated COVID-19 dental office procedures emphasizing need for hazard assessments. These new updated ...

save

During cleft awareness month, Operation Smile shares details of its research

July is National Cleft and Craniofacial Awareness and Prevention Month, a time to raise awareness and improve understanding of orofacial clefts and other ...

save

Aspen Dental introduces aligner system that gives patients tray on first day

CHICAGO, Ill., USA: In a clearly distinctive move to make perfect smiles easy and accessible, Aspen Dental Management Inc. (ADMI) is launching Motto, a new,...

save
advertisement

Operation Smile provides safe surgery around the world in wake of pandemic

Held every year in June, National Safety Month observes the importance of following safety guidelines in our daily lives. In the wake of the Covid-19 ...

save

New online portal offers a streamlined handpiece repair process

MELVILLE, N.Y., USA: Henry Schein Inc. has announced the launch of the ProRepair Handpiece Portal, an online platform for dental professionals to submit a ...

save

Modernize your practice overnight to meet post-pandemic expectations

The pandemic changed so much of our lives and propelled the rapid adoption of technology by all ages. Now, patients want the same convenience they enjoy ...

save

AAO holds 2021 Annual Session in virtual format

The American Association of Orthodontists is holding its 2021 Annual Session completely online. It is the second year in a row AAO is conducting its annual ...

save
advertisement

Henry Schein Orthodontics offers virtual presence at AAO Annual Session

MELVILLE, N.Y., USA: Henry Schein Orthodontics (HSO) is showcasing a lineup of products and solutions during the 2021 Annual Session of the American Academy...

save

Meet with vendors face-to-face at Florida Dental Convention

ORLANDO, Fla., USA: FDC2021 is excited to offer the opportunity for dental professionals to meet face-to-face with 225-plus leading dental vendors at its ...

save
advertisement

‘We Supply America’ to film an episode at Benco Dental

PITTSTON, Pa., USA: We Supply America Project, a national campaign to champion what its creator, Dirk Beveridge, describes as the “noble calling of ...

save

Vatech marks a sales milestone for its EzRay Air

Vatech, a global manufacturer of dental imaging devices, has reported the 20,000th sale of its EzRay Air. According to the company, the EzRay Air is the ...

save

Ormco announces FDA approval to treat mixed dentition with Spark clear aligners

BREA, Calif., USA: Ormco Corp. has received FDA clearance to treat mixed dentition with its Spark Clear Aligner System, enabling orthodontists to treat ...

save

Laser aesthetics with the LightWalker

Did you know that in addition to its advanced dental treatments, the Fotona LightWalker laser can also offer patients facial aesthetic rejuvenation options?...

save
advertisement

AGD meeting is taking place in Austin, Texas, and online

AUSTIN, Texas, USA: The world might look a little different since the last time the Academy of General Dentistry’s annual meeting was held, in July 2019, ...

save

Come honor AGD’s 2021 fellows, masters and LLSR recipients

Join the Academy of General Dentistry on Saturday, June 12, to help celebrate the 2021 fellows, masters and lifelong learning and service recognition (LLSR)...

save

Exhibit hall has a lot to offer at AGD2021

AUSTIN, Texas, USA: If you’re looking for leading dental vendors showcasing the most current technologies and services in the field of general dentistry, ...

save

Benco Dental to acquire ADI Mobile Health

PITTSTON, Pa., USA: Benco Dental, the nation’s largest independent distributor of oral healthcare technology and supplies, has finalized a definitive ...

save
advertisement
advertisement