Search Dental Tribune

Dental News

Filter

Lots to smile about at CDA meeting in Anaheim

ANAHEIM, Calif., USA: Whether it’s new and improved or timelessly proven, odds are that it’s here in the exhibit hall at the 2016 version of CDA...

save

Keep your entire staff on the same page — all at the same time

ANAHEIM, Calif., USA: If you keep hearing about the dental practice of the future where all of an office’s technology seamlessly and instantly ...

save

Testing toothpastes, toothbrushes

Designing toothpastes and toothbrushes is a time-consuming process involving the production and testing of numerous samples. Using a new type of simulation,...

save

‘Literally any dentist can be a laser expert’

ANAHEIM, Calif., USA: Becoming a laser expert just got easier. With the release of Solea 3.0, a new software for the Solea, Convergent Dental’s ...

save

Dr. Wendy S. Hupp is elected president of the American Academy of Oral Medicine

LOUISVILLE, Ky., USA: Increasing awareness of the specialty of oral medicine is an important focus for Wendy S. Hupp, DMD, as she takes the reins as ...

save

Creating smiles for Honduras

At Aspen Dental practices, we are bringing quality care to communities that need it most. From small towns to city suburbs, and everywhere in between. Last ...

save
advertisement

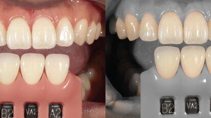
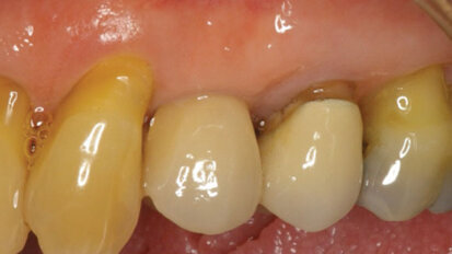
Esthetics with implants: Platform switching

Platform switching is a means of achieving better esthetics and more predictable function by using a healing abutment that is narrower than the width of the...

save

Free webinar: Why you need a practice transition and financial plan NOW!

More and more smart dentists seek expert guidance when selling or buying dental practices, assessing partnership and associateship opportunities, and to get...

save

10 rules of order in implantology

1. Choose one well-documented, scientifically supported implant system. Any dental implant system demonstrating ongoing research and design will achieve ...

save

Bethany Hamilton teams with Damon System braces to launch emoji keyboard

ORANGE, Calif., USA: “Soul Surfer” and former Damon System braces patient Bethany Hamilton is encouraging fans to embrace the power of their ...

save

Meeting review: 2016 AAO Annual Session

ORLANDO, Fla., USA: The 2016 Annual Session of the American Association of Orthodontists was held from April 29 to May 3. Practitioners and staff members ...

save

Burkhart Dental partners with Straumann to distribute new digital intraoral scanner

TACOMA, Wash., USA: Burkhart Dental Supply, based here, recently announced a strategic partnership with Straumann US in distributing and servicing ...

save
advertisement

Meeting review: AACD 2016

TORONTO, Ontario Canada: AACD 2016, the annual meeting of the American Association of Cosmetic Dentistry, was organized the same way you create a building ...

save

3M expands efficient bonding procedure across bracket lines

Saving time and simplifying procedures is key to maintaining a profitable practice. With the introduction of the APC Flash-Free Adhesive Coated Appliance ...

save

So much to learn at AAO Annual Session

ORLANDO, Fla., USA: Every year at the AAO Annual Session, orthodontists from around the world gather to further their knowledge and expertise. Here in ...

save

It’s smiles all around at AAO meeting in Orlando

ORLANDO, Fla., USA: There’s plenty to smile about here in Orlando this weekend. Great weather. Lots of fun things to do with the whole family. Mickey....

save
advertisement

G&H Orthodontics expands as it enters its fifth decade

G&H Orthodontics, a U.S.-based manufacturer of a full line of orthodontic products, is expanding as it enters its fifth decade in business. “Our ...

save

Adults are seeking orthodontic treatment in record numbers

It’s never too late for a healthy, beautiful smile. A new study shows that adults are seeking orthodontic treatment in record numbers. From 2012 to ...

save

Sonendo receives FDA clearance for next generation of GentleWave

Sonendo announced recently that it has received 510(k) clearance from the U.S. Food and Drug Administration (FDA) for the next generation of its GentleWave ...

save

OSAP to hold conference June 2-5 in San Diego

Infection prevention and the safe delivery of oral healthcare is the goal of every dental practice, and an upcoming conference is designed to empower ...

save
advertisement

Henry Schein announces availability of Dentrix Enterprise 8.0.7

MELVILLE, N.Y., USA: Henry Schein Practice Solutions Inc., the U.S. practice solutions business of Henry Schein Inc. has announced the availability of ...

save

Kerr Endodontics pledges $75,000 to American Association of Endodontists

Kerr Endodontics, a global leader in endodontic equipment and consumables, recently announced a pledge of $75,000 to the American Association of ...

save
advertisement

Henry Schein Special Markets celebrates its 10th National Sales Meeting

MELVILLE, N.Y., USA: Henry Schein Inc. recently hosted its 10th annual Special Markets National Sales Meeting at Sawgrass Marriott Golf Resort & Spa in ...

save

CDA Cares Ventura dental clinic delivers oral health services to 1,884 people


SACRAMENTO, Calif., USA: The California Dental Association Foundation’s volunteer dental clinic, CDA Cares, provided $1.5 million in charitable dental...

save

Salvin announces the acquisition of Exactech’s dental biologics assets

Salvin Dental Specialties, through its Salvin Regenerative subsidiary, recently announced that it has acquired substantially all of the assets of ...

save

Atlanta Dental: Held to a higher standard

ATLANTA, Ga., USA: A new year always brings to mind the things we need or desire to improve in our personal and professional lives. Our company abides in ...

save
advertisement

Newly appointed AO president to lead academy in global initiatives

NEW YORK, N.Y., USA: Alan S. Pollack, DDS, a practicing periodontist in New York City, was appointed president of the Academy of Osseointegration (AO) at ...

save

Meeting review: AAE16 in San Francisco

SAN FRANCISCO, Calif., USA: Dental professionals from across the country and around the world gathered in San Francisco April 6 to 9 for AAE16, the annual ...

save

Carestream renews pledge to support endo research and education

ATLANTA, Ga., USA: Carestream Dental, along with the Foundation for Endodontics, is pleased to announce the recent donation of $125,000 to support education...

save

A digital camera designed just for dentists’ clinical photography, case documentation

A recipient of the Pride Institute’s 2015 “Best of Class” Technology Award, the EyeSpecial C-II is the first digital camera designed ...

save
advertisement
advertisement