Platform switching is a means of achieving better esthetics and more predictable function by using a healing abutment that is narrower than the width of the platform of a root-form endosseous implant. The technique promotes a more predictable regenerative healing at the neck of the inserted implant.
Endosseous implants have been globally appreciated and accepted since the 1980s, although used for several years previously. Better and more predictable implants and their continuing success led to more successful adaptation by dentists and greater acceptance by the public. With improved biological acceptance of implants and improved function being realized by patients, dentists are striving to improve esthetic results.
In this presentation, “esthetics” means an implant appears, functions and is maintained just like one of the patient’s natural teeth. The implant requires biological acceptance and sufficient osseous support. Keratinized attached gingiva protects the implant and natural teeth and enables the patient to maintain good oral hygiene; however, it also serves as an esthetic, symmetrical background for the prosthetic, helping it blend in naturally and be maintained naturally.
Root-form endosseous implants have always tried to emulate the natural tooth. Various shapes, textures, coatings and other variables have been used to achieve function and replicate natural appearance.
Enhancing existing- and keratinized-gingiva regeneration supports healing and regeneration of the implant while also improving esthetics and the patient’s ability to hygienically maintain results.
This case demonstrates how platform switching aids in the healing and regeneration of the area supporting the implant (the sine qua non of success) and enhances keratinized gingival regeneration. Endosseous implants with a narrower abutment neck at the implant occlusal level can provide a pathway to improved esthetics, predictable maintenance and longevity.
Case presentation
For more than 20 years, Mr. B. was repeatedly made aware of his advancing periodontal disease. At every dental appointment (at least four times a year), he was shown his periodontal pockets and presented with treatment plans to arrest progression. But he refused any treatment beyond maintenance through hygienic techniques. His reasons were primarily financial and, to a lesser extent, based on his age and status as a self-supporting, life-long bachelor.
He presented on an emergency appointment at my practice with a large swelling on his upper left bicuspid #12 buccal area (Fig. 1). The #12 was mobile and elicited pain on touch. Years previous to commencing as my patient, Mr. B. had a root canal with post and crown on #12. The crown and post came out in total, leaving only the root. A fracture was seen on the occlusal aspect of the root (Fig. 2). After all options were presented, extraction of the #12 remaining root was recommended. Local anesthetic was administered (HuFriedy Hoexter Mesio-Distal Luxators), and the root was extracted. The root was removed in an m/d movement. A cyst at the apex (Fig. 3) was seen and was removed in total using the same movement. Buccal and lingual osseous walls were preserved.
embedImagecenter("Imagecenter_1_2281",2281, "large");
A bone graft was placed in the voided socket, and a GTR resorbable membrane (Transgraft) was used (Fig. 4). After months of uneventful healing, the area was re-entered surgically, exposing a regenerated osseous ridge (Fig. 5). An ankylose implant with a design compatible with platform switching was inserted. I placed a healing abutment at the time of implant insertion, as is my standard practice. Suturing was followed with an X-ray (Fig 9b). The patient was given antibiotic and analgesic prescriptions and post-operative instructions.
Healing was uneventful and comfortable. Mr. B. resumed good oral hygiene in the area as soon as he was comfortable doing so. After several months, integration was achieved. The patient returned to the referring dentist to complete final prosthetic components. An abutment and a final crown were placed correctly.
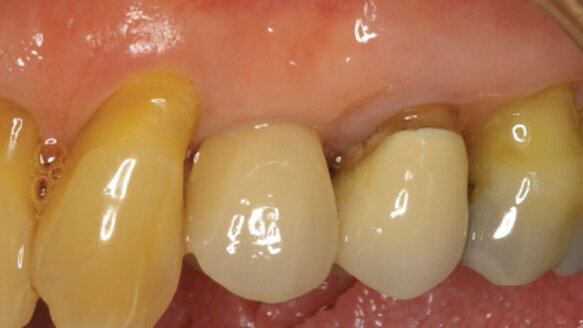
Gingival level and height was symmetrically preserved, enabling oral hygiene to be maintained while creating an esthetic blending with the lateral surrounding area. There was no depression nor any noticeable differences with the adjacent areas. The gingiva on the adjacent teeth, however, had receded, exposing some dentin on the periodontally compromised teeth lateral to the implant. There is no probing depth on the implant. It is and has been the same for nine years since insertion.
Figure 10 shows the gingival tissue and its height being maintained, enabling the pinkish-white keratinized tissue to blend laterally with the gingival tissue of the natural adjacent teeth. The implant has been hygienically maintained. There is no depression nor any defect of the implant-gingival tissue. The implant is a success in esthetic appearance, health and function.
As alluded to earlier, there are different materials, textures and shapes used in healing abutments and permanent abutments. In this case, the platform-switching design of the healing abutment enabled us to predictably achieve a functional implant and maintainable esthetics that compare to natural teeth lateral in the area. Also confirmed is a successful continuing history of nine years in an environment of adjacent chronic periodontal disease.
This article was published in Dental Tribune U.S. Edition, Vol. 11, No. 3, march 2016 issue.
NEW YORK, N.Y., USA: “Esthetic Guided Protocols for Insertion and Rehabilitation with Dental Implants” is the topic that will be discussed by ...
Controversy involving the oral cavity and the effects of using bisphosphonates is causing an obstacle for dentists to help patients achieve optimal health. ...
Did you know that in addition to its advanced dental treatments, the Fotona LightWalker laser can also offer patients facial aesthetic rejuvenation options?...
A medically and periodontally stable 24-year-old woman presented with two failing root canals on teeth #8 and #9. Her dental records indicated both teeth ...
The total edentulism is a serious handicap that in Italy still affects almost 25 percent of the population age 65 and older. The loss of teeth leads to a ...
In the anterior region where esthetics are paramount, certain complications can preclude the use of all-ceramic material. The task then becomes finding a ...
A medically and periodontally stable 37-year-old man presented with coronally fractured tooth #9, which had a history of endodontic treatment (Figs. 1a ...
SureSmile digital orthodontics delivers a comprehensive, integrated solution designed to support diagnostic precision, workflow efficiency and predictable ...
Of the commercially available hard- and soft-tissue lasers, the Fotona Lightwalker dual laser wavelengths of Nd:YAG and Er:YAG have high efficacy and ...
Available from Fotona, the SkyPulse Er:YAG laser platform comes in two variations: SkyPulse Endo Plus and SkyPulse Endo Pro.
Live webinar
Thu. 14 May 2026
12:00 PM EST (New York)
Live webinar
Thu. 14 May 2026
2:00 PM EST (New York)
Prof. Hani Ounsi DDS PhD FICD
Live webinar
Tue. 19 May 2026
11:00 AM EST (New York)
Live webinar
Tue. 19 May 2026
1:00 PM EST (New York)
Prof. Dr. med. dent. Ivo Krejci
Live webinar
Wed. 20 May 2026
7:00 AM EST (New York)
Dr. Graham Carmichael BDSc (Hons), DClinDent (Pros), FRACDS, Dr. Robert Gottlander DDS
Live webinar
Wed. 20 May 2026
9:00 AM EST (New York)
Live webinar
Wed. 20 May 2026
1:00 PM EST (New York)
Prof. Dr. med. dent. Tim Joda PhD, MSc, eMBA
To post a reply please login or register