Search Dental Tribune

(Image: kksakultap/Shutterstock)

Tue. 19 November 2024

save

In his 1862 monograph, French neurologist Guillaume Duchenne de Bou­logne postulated that facial expressions are directly related to a person’s soul.1 His research led to the discovery that a genuine smile—a smile resulting from true happiness (the Duchenne smile)—involves both perioral and periocular muscles. The presenta­tion of a smile is one of the most expressive actions in which any human being can engage. A smile has been shown to initiate instinctive facial mim­icry that not only expresses feelings, but also allows people to empathise and relate with one another.2 While one’s musculature is responsible for exposing the dentition through the smiling process, the pre­sentation of the dentition plays a major role in how other people perceive and process that relation­ship.3 Current cosmetic dentistry techniques and ma­terials allow dentists to modify or restore the denti­tion to suit the patient’s wishes and to help him or her to put forth a self-confident smile, a Duchenne smile, that effectively broadcasts his or her inner feelings.

Case presentation

Diagnosis

A 24-year-old female patient in excellent medical and good dental health presented stating she had not been to the dentist in some time and wished to improve her oral health and the appearance of her teeth. The pa­tient was unhappy with the shape and shade of her teeth. She was particularly concerned with the im­proper proportions of the width-to-length ratios of her incisors and the diastema present between teeth #11 and 21 (Figs. 1 & 2).4 Several areas of gingival asymmetry were also noted. The patient stated that she had re­ceived orthodontic treatment in the past, and cos­metic bonding (which had already failed at the time of her presentation) to close the diastema between teeth #11 and 21. She expressed her desire to have a beautiful, brighter and natural-looking smile.

Fig. 1: Pre-op full smile.

Fig. 1: Pre-op full smile.

Fig. 2: Pre-op retracted view showing the diastema and improper proportions of the width-to-length ratios.

Fig. 2: Pre-op retracted view showing the diastema and improper proportions of the width-to-length ratios.

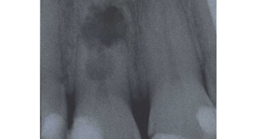
A full-mouth series of periapical radiographs was taken, and several failed composite restorations and a periapical abscess on tooth #16 were noted. Clinical examina­tion revealed a Class I dental relationship and sev­eral significant occlusal interferences. Evidence of moderate wear was found on the patient’s anterior teeth, and the patient presented with some muscular tension during a temporomandibular joint evaluation.5

Treatment plan

After discussion of aesthetic restorative options for her smile, the patient elected to pursue diagnos­tic occlusal analysis with an anterior deprogram­mer, occlusal equilibration as indicated, treatment of tooth #16 with endodontic therapy and a complete porcelain crown, and restoration of teeth #15–25 with full-prepara­tion porcelain veneers. The veneers were to be de­signed to aesthetically enhance the dentition while restoring the several failed composite restorations. The patient stressed that a natural, conser­vative, long-lasting result was her primary goal. Proper care of the future porcelain restorations was discussed, including nightly wearing of a hard protec­tive occlusal splint, and the importance of optimal maintenance, including regular cleaning and exam­inations, was stressed.6

A comprehensive set of records was taken of the patient’s preoperative condition, including a detailed laboratory prescription, to allow for proper communication between the dentist and the ceramist. Honigum Pro polyvi­nylsiloxane (DMG) impressions were taken of both arches, and two sets of study models were fabricated in die stone.7–9 Centric occlusion was recorded with a Futar D poly­vinylsiloxane (Kettenbach) bite registration and a facebow trans­fer. Digital photographs documenting the preopera­tive shade, texture and shape of the surrounding teeth were taken.6, 7, 9, 10 All the records were sent to the laboratory, where one set of models was used to fabricate a Kois deprogrammer for oc­clusal evaluation. The second set of study models was mounted on a semi-adjust­able articulator after occlusal anal­ysis with the Kois deprogrammer, and teeth #16–25 were waxed to full contour. A Sil-Tech poly­vinylsiloxane (Ivoclar) stent was then formed to fabricate an incisal reduction matrix.

Fig. 3: Preparation shade.

Fig. 3: Preparation shade.

Description of treatment

The Kois deprogrammer was delivered to the patient with instructions to wear it continuously for a two-week duration. Endodontic treatment of tooth #16 had been completed at a separate appoint­ment during the time the laboratory was fabri­cating the deprogrammer. At the end of the two-week period, the patient returned to the office for functional occlusal evalu­ation and a second Futar D polyvinylsilox­ane bite registration. Several posterior occlusal interferences were noted and re­solved with occlusal equilibration utilis­ing odontoplasty alone. The new bite record was sent to the laboratory to mount study models for a diagnostic wax-up.

On her next visit, the patient was able to view and approve the diagnostic wax-up presented on mounted study models prior to any preparation of her teeth.6, 7 Under colour-corrected lighting, digital photographs were taken from multiple angles with at least two shade tabs per photograph to assist in shade matching and colour mapping (hue, chroma and value) prior to any dehydration of the teeth.6, 7 The patient again stressed her desire to have her definitive veneers be slightly lighter in shade than her mandibular teeth but to blend in with her natural dentition. This was noted for laboratory communication purposes.

Profound anaesthesia of the area from tooth #16 to tooth #25 was ob­tained by application of a topical anaesthetic, followed by injection of Lignospan standard (2% lidocaine hydrochloride with 1:100,000 adrenaline; Septo­dont). The pa­tient’s lips were adequately retracted for the entire procedure using an OptraGate lip retractor (Ivoclar). Tissue sculpting was performed with a Gemini diode laser (Ultradent Products) in order to even the gingi­val margins on teeth #12–21. Careful attention was paid in measuring the tissue to be removed, along with preoperative bone sounding, to avoid invasion of the bio­logic width.6–9, 11

Initial tooth preparation was com­pleted with a 2000.10 Two Striper super-coarse grit diamond bur (Premier Dental) in a high-speed handpiece under copious wa­ter spray. Owing to the diastema and posi­tioning of the patient’s teeth, some sub­gingival tooth reduction was required to develop a proper emergence profile. Ade­quate incisal (1.50 mm) and facial (0.75 mm) porcelain thickness needed to provide room for layering, slight colour change and addition of incisal effects in the por­celain were confirmed with the lingual and incisal polyvinylsiloxane stent.6, 7 A well-defined cervical margin was estab­lished with a 703.8F diamond bur (Pre­mier Dental) to provide a positive veneer stop, ensuring a smooth, cleansable, precise porcelain–tooth interface while allowing for devel­opment of a proper emergence profile.6, 7 Photographs of the preparations were taken, and a preparation shade of ND 2 (Ivoclar) was recorded (Fig. 3). Expasyl gingival re­traction paste (Acteon Group) was expressed around all the gingival margins and allowed to sit for a period of 3 minutes to provide haemostasis and adequate tissue reflection. After 3 minutes had passed, the paste was rinsed away with a copious, forceful water spray. The preparations were lightly dried, and a master impression was taken with Honigum Pro Light and Heavy im­pression material. A Futar D stick bite of the prepared teeth in centric occlusion was taken and photographed.

Fig. 4: Planned tooth shade.

Fig. 4: Planned tooth shade.

Fig. 5: Shade comparison with the opposing dentition.

Fig. 5: Shade comparison with the opposing dentition.

The patient’s teeth were cleaned with Consepsis chlorhexidine (Ultradent Products). A polyvinylsiloxane stent made from the diagnos­tic wax-up was filled with Luxatemp Ultra in the Bleach Light shade (DMG), placed over the prepared teeth and allowed to polymerise. After approximately 1 minute, the stent was gently removed, the provisional res­torations remaining inside. The preparations were cleaned again with chlorhexidine and covered to prevent desiccation. After final polymerisation, the provisional res­torations were removed from the stent, trimmed and then seated with TempoCem ID (DMG). The temporary cement was tack polymerised for 5 seconds on each tooth with the Bluephase LED curing light (Ivoclar). Excess material was removed with a #12 scalpel blade, an additional 15-second polymerising time per tooth was completed and the provisional res­torations were smoothed and finished with abrasive discs and a rubber cup pol­isher (all Cosmedent). The occlusion was verified, and the patient was appointed for a post­operative check 24 hours later.

The 24-hour post­operative check ap­pointment was particularly important because it allowed the patient to express feedback based on self-analysis of the proposed shapes and contours of her new smile. The patient reviewed and ap­proved the shape of her provisional res­torations and the shade tabs selected at the prior appointment. Proper phonetics, occlusion and anterior guidance were confirmed. A few minor adjustments to her occlusion on the lingual aspect of the provisional res­torations were required. Photographs of the approved provisional restorations and shade tabs were taken (Figs. 4–6). Other provisional records were taken, in­cluding a Futar D stick bite in centric occlu­sion and a Honigum Pro im­pression of the approved provisional restorations (Fig. 7). All the records were disinfected and sent to the ceramist, accompanied by a completed laboratory prescription, notes and all the photographs taken to that point. The ceramist was instructed to use the impression of the approved provisional res­torations as a guide for the final shape, size and contour of the porcelain restorations.

Fig. 6: Full-face view of the approved provisional restorations.

Fig. 6: Full-face view of the approved provisional restorations.

Fig. 7: Taking of the stick bite

Fig. 7: Taking of the stick bite

Laboratory phase

During the provisional phase, the pa­tient was able to further re-evaluate the provisional restorations. If she had re­quested any changes, they could have been communicated to the ceramist dur­ing this period; however, no changes were re­quested during this time.

On the ceramist’s receipt of the case, the records were reviewed, and the ma­terial choice on the prescription was confirmed during a telephone conver­sation. Shape, shade and characterisa­tion were discussed again and finalised in the planning stage. Producing the pa­tient’s desired shade choice dictated the use of the lith­ium disilicate Amber Press in the MO 3 shade (HASSBIO) to be pressed as a base shade. Cutback and layering of the pressed veneers were planned to create restorations with the requested moder­ate incisal character and natural gingival staining with a lightly textured, polished gloss finish.

The full-contour pressed veneers were then tried on the physical die mod­els to confirm marginal accuracy. Cut­back of each full-contour veneer was performed as needed to allow for hand layering of porcelain to develop real­istic translucency, depth and charac­ter. After layering and firing, each veneer was hand finished and polished.

The ceramist meticulously confirmed fit and aesthetics for the entire case. The intaglio of each veneer was lightly sand­blasted and then acid etched for 1 min­ute with 9.5% hydrochloric acid (Keystone Industries). The veneers were then steam-cleaned and carefully packaged for sending to the dentist ready for the seating appointment.

Fig. 8: Post-op full smile.

Fig. 8: Post-op full smile.

 Fig. 9: Post-op retracted view.

Fig. 9: Post-op retracted view.

Cementation

On receipt from the ceramist, the porce­lain restorations were reinspected on the dies for marginal fit and on solid models for proper interproximal contacts. Pro­found anaesthesia was obtained through the use of Lignospan standard during the seating appointment. An OptraGate lip retractor was placed to assist in isolation. The pro­visional veneers were removed, and the preparations were cleaned to remove any residual temporary cementation material or de­bris. The veneers were then tried in the patient’s mouth and evaluated for fit and aesthetics (first individually, then col­lectively). The patient was then asked to view and approve the aesthetics of her smile in a hand mirror.

The approved veneers were removed from the patient’s mouth and carefully cleaned with IvoClean cleaning paste (Ivoclar) to re­move any possible contamination. They were rinsed and dried, and Monobond si­lane coupling agent (Ivoclar) was applied to the intaglio of the veneers.12 After 1 minute, they were air-dried, and a thin coating of All-Bond Universal bonding agent (BISCO) was ap­plied to the intaglio of the veneers and air thinned. Vitique clear veneer cement (DMG) was then applied to the veneers, and they were immediately placed into a Resin­Keeper light-safe box (Cosmedent) to prevent polymerisation of the resin.6, 7

The preparations were acid etched for 15 seconds with the Uni-Etch 32% phos­phoric acid gel etchant (BISCO), followed by rinsing with a copious air and water spray.6, 7 All the prepa­rations were lightly dried but not dessi­cated.6, 7 Two coats of All-Bond Univer­sal were applied to each preparation and agitated for 20 seconds prior to air thin­ning to evaporate the solvents. After air thinning, each tooth was polymerised for 20 seconds with a Bluephase LED curing light. The veneers were then removed from the light-safe box and seated on their respec­tive preparations. Excess cement was re­moved with a regular micro-brush (Mi­crobrush International), and the veneers were tacked into place for 5 sec­onds each with the curing light.13 Addi­tional excess was removed gently with a scaler, dental floss was passed through the con­tacts in the apical direction only and the veneers were then polymerised fully for an ad­ditional 30 seconds each.13 The margins were then inspected, and any excess polymerised cement was removed with a #12 scalpel blade.13 The interproximal areas were cleaned with Epitex finishing strips (GC). DeOx oxygen inhibit­ing gel (Ultradent) was expressed around all the margins, and the restorations were polymerised for an ad­ditional 10 seconds to finalise polymer­isation.6, 7, 12 The lingual aspect was then polished with diamond paste and Flex­iBuff polishers (Cosmedent) in a slow-speed handpiece, and the isolation was removed.

The patient’s occlusion was checked, and smooth, proper contacts were verified with floss. Postoperative home care instructions were given, and the patient was scheduled for a follow-up appointment for radiographic and photographic documentation, as well as a follow-up check for function and aesthetic evaluation.

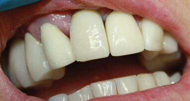
The patient returned the following day. Her functional oc­clusion was evaluated, and her teeth were inspected for any re­sidual cement. Postoperative radiographs were taken to con­firm positive seating of the margins and the absence of any residual interproximal cement. Maxillary and mandibular alginate im­pressions were taken along with a polyvinylsiloxane bite reg­istration for fabrication of a maxillary full-arch bite guard for night-time wear.6 Postoperative home care instructions were given, and the patient was scheduled for a follow-up appoint­ment for additional photographic documentation, a final check for function and aesthetic evaluation, and delivery of the bite guard (Figs. 8 & 9).6

Fig. 10: Pre-op full-face views.

Fig. 10: Pre-op full-face views.

Fig. 11: Post-op full-face views.

Fig. 11: Post-op full-face views.

Conclusion

Porcelain veneers can be employed to provide beautiful, nat­ural and long-lasting functional cosmetic results. While the procedure, materials and skill involved are highly technical and quite meticulous, the result achieved often evokes a very emotional response. It is difficult to look at a genuine smile and not feel the emotion in the picture. Scientifically, a Duch­enne smile can initiate facial mimicry, and emotionally, it cer­tainly can be a window to the soul (Figs. 10 & 11).

Editorial note:

This article originally appeared in Oral Health Magazine, and an edited version is provided here with permission from Newcom Media. The article also appeared in cosmetic dentistry—beauty & science vol. 18, issue 1/2024. A complete list of references can be found here.

Topics:
Tags:
To post a reply please login or register
advertisement
advertisement