Thanks to the latest advances in cosmetic tooth alignment, general dentists are now able to provide simple, straightforward treatment for adult patients over a relatively short span of time. Treatments such as Six Month Smiles give the general practitioner a powerful new tool with which to straighten anterior teeth.
Kelly had always been concerned about the appearance of her teeth, particularly her crossed-over front teeth and the lateral teeth that she used to call “fangs.” She was also aware that her front teeth at the bottom were fairly crowded as well. This meant she was seriously lacking confidence and really didn’t like the way things looked.
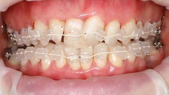
Before she came to our practice, Kelly had been to consultations with specialist orthodontists and declined the long-term treatment option. When she came to see us, we discussed how the ideal situation would be for her to have comprehensive orthodontic treatment, but if she still wasn’t interested in the long-term option, there might be an alternative solution in the form of Six Month Smiles.
embedImagecenter("Imagecenter_1_1318",1318, "large");
This option was extremely appealing to Kelly, who wanted to have a faster and cosmetic solution to her crooked teeth.
After just about six months, her teeth were aligned and the treatment was complete. To finish everything off, we carried out some edge bonding and shaping of the tips of the upper incisors to enhance the final esthetic result.
Kelly was absolutely delighted. There was a noticeable improvement in her smile, and from a hygiene point of view, her teeth are now easier to maintain.
Another pleasing aspect of the result is the regeneration of her papilla between the upper central incisors. This is a particular esthetic benefit of tooth alignment treatment vs. a pure restorative solution, because in a case like this, it’s not just about the shape of the teeth but having them in the right position to give a pleasing cosmetic result by enhancing the pink esthetic frame for the teeth.
One of the great things about the Six Month Smiles system is it takes a lot of the complexity out of providing simple fixed orthodontic treatment for patients whose chief complaint is cosmetically focused and who have already turned down comprehensive orthodontics. It allows us to achieve a fantastic result without having to resort to aggressive veneer preps or other restorative procedures.
With treatments such as Six Month Smiles, there is now a powerful option for patients who have in the past had to opt for comprehensive treatment or just done nothing at all.
Note: This article was published in today, Hinman Dental Meeting edition, Vol. 5, No. 3, March 29, 2014.
For years, orthodontic practices like mine had to rely on different providers for the latest digital technology. One company provided the scanner, another ...
Last year I went up to Nantucket island just off the Massachusetts coast to celebrate the arrival of spring. The daffodil festival is a weekend event ...
NEW YORK, NY and CARLSBAD, CA, USA: Zimmer Dental, a provider of dental oral rehabilitation products and a subsidiary of Zimmer Holdings, recently announced...
Statistically, 70 per cent of all dentists will die without a will, and that number could be higher for dentists who fail to implement tax-saving strategies...
Dentists today are living during exciting times when advancements in materials, techniques and diagnostics allow us to predictably improve the quality of ...
In his 1862 monograph, French neurologist Guillaume Duchenne de Boulogne postulated that facial expressions are directly related to a person’s soul.1 ...
BUFFALO, N.Y., US: Research has shown that smoking cannabis can be detrimental to overall health and can have adverse effects on the lungs, heart and brain....
Malocclusion is a pervasive oral health issue associated with numerous diseases and conditions that may affect a patient’s overall health and quality of ...
The first article I wrote on CAD/CAM 25 years ago was about the three Ps: prep, powder and picture. At that time, all we were worried about was the final ...
Moving teeth with braces has long been considered a permanent cure to crowded teeth. However, we now know this traditional approach is neither permanent nor...
Live webinar
Tue. 19 May 2026
11:00 AM EST (New York)
Live webinar
Tue. 19 May 2026
1:00 PM EST (New York)
Prof. Dr. med. dent. Ivo Krejci
Live webinar
Wed. 20 May 2026
7:00 AM EST (New York)
Dr. Graham Carmichael BDSc (Hons), DClinDent (Pros), FRACDS, Dr. Robert Gottlander DDS
Live webinar
Wed. 20 May 2026
9:00 AM EST (New York)
Live webinar
Wed. 20 May 2026
11:00 AM EST (New York)
Live webinar
Wed. 20 May 2026
1:00 PM EST (New York)
Prof. Dr. med. dent. Tim Joda PhD, MSc, eMBA
Live webinar
Thu. 21 May 2026
12:00 PM EST (New York)
Dr. Leonardo Muniz DDS, MSC
To post a reply please login or register