Orthodontic therapy has faced three persistent challenges for decades: stability of correction, retention strategy and management of open bites — particularly in non-growing patients. This case study addresses all three, demonstrating effective and efficient management using updated protocols, remote monitoring and an advanced system for aligner therapy.
Introduction
Research shows that the first arch to relapse in retention is usually the lower, with cases exhibiting crowding or deep bite malocclusions. In our office, we refer to this as “late maturational changes of the face,” in which the balance between the lips and cheeks externally and the tongue internally create the equilibrium that determines tooth position. As the patient ages, the tongue recedes, the influence of the lips and cheeks becomes dominant, and dental crowding can re-emerge.
But what about cases where the tongue (even in adults) is dominant, creating challenges in both space closure and long-term stability?
This case report is representative of how our approach to these clinical challenges has changed over the years. We treated the patient for an open bite almost 15 years ago with fixed appliances, reflecting the clinical thinking of that time. As seen in many open bite cases, relapse occurred.
Our standard retainer protocol has now evolved over time and is tailored to case type. For retreatment, we used FXClear aligner therapy, achieving an excellent result in six months, with stability of the correction now observed three years later.
Case background
The patient’s initial diagnosis was generalized spacing with an open bite and lack of anterior guidance. Our prior treatment involved, as you would expect, braces and elastics. Once spaces were closed, we used anterior vertical elastics to address her open bite and create anterior guidance. Treatment was completed in 11 months, achieving a very good result.
The patient declined fixed retainers, and upper and lower Essix retainers were provided to help discourage posterior eruption. Unfortunately, she was only compliant with retainer wear during the first year of retention.
When she returned years later, we observed relapse of both spacing and her open bite. Her chief complaint was “I hate my smile!” However, she had hesitated to come back since, now at age 65, she did not want braces. Her return to our office is a testament to her satisfaction with her prior smile results.
Advancements in aligner therapy
The good news is that aligner treatment has advanced so much in recent years that, when she finally came in, we were confident we could correct her malocclusion better and faster. After using traditional aligners for thousands of patients over the years, we switched to a new generation of clear aligners, FXClear from OrthoFX. By the time of her re-examination, we had already successfully treated more than 1,000 cases with FXClear, seeing substantial improvements such as fewer refinements, shorter treatment times and superior finishes.
Diagnosis
Cephalometrically, the patient demonstrated a brachycephalic facial pattern, without an open bite skeletal pattern. Facially, she exhibited the retruded lips and inadequate smile display commonly seen in a 65-year-old woman.
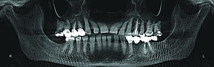
Her dental spacing was worse than her initial presentation. I feared tomographic evidence would yield condylar resorption, but her tomograms showed remarkably good condylar position with minimal lipping for an older adult patient with no anterior guidance.
Periodontal health was excellent, with no evidence of additional bone loss or resorption.
Treatment plan
Our objective was to close spaces as well as create a functional overbite and overjet. Of course, stability was a primary concern. Our plan:
- Correct the overbite via posterior tooth depression using FXClear aligners. We did not want anterior eruption via anterior elastics because of risk of relapse.
- Space closure minimizing anterior retraction to prevent further reduction of her smile and profile. FXClear aligners are really effective in allowing us to position anterior teeth in the optimum position anterior-posteriorly, for the sake of smile and profile.
Details
- # aligners: 22
- # refinements: 0
- Treatment time: 6 months
- Remote monitoring: no office visits between aligner delivery and retention
This motivated patient achieved remarkable results in just six months of active treatment, with periodontal health maintained and no refinements required despite the extent of planned movement. We have found FXClear aligner treatment for open bite cases to be highly stable.
In the past, patients often reported pain with aligner changes. Since adopting FXClear, patients — including this one — consistently report a comfortable aligner experience.
Retention protocol
Based on 50 years of clinical experience, ongoing research at the University of Illinois Chicago, and 36 years as co-clinical director in their Department of Orthodontics, we have adopted the following retention protocols:
- Always use a fixed lower bonded retainer 3=3. If the patient refuses a fixed retainer, we have them sign a release form.
- Essix retainers worn 10 hours at night are perfect for most retention:
- Initial overbite: Upper Essix 4–4 or 5–5, depending on rotations, overbite severity and skeletal pattern, to maintain overbite and overjet.
- Initial open bite: Full-coverage upper Essix worn ≥10 hours/day; add lower Essix as needed to prevent posterior eruption and improve stability.
- TMD: Essix worn only during sleep to allow for free mandibular movement. Forward mandibular positioning during sleep unloads the condyles, which is beneficial in managing TMD-related issues such as nocturnal bruxism or clenching.
- Open bite and spacing: In this patient’s case, retention with upper/lower bonded retainers plus upper Essix worn 10+ hours/day to prevent posterior eruption.
Post-Retention Stability
All of our cases, including retention, are monitored remotely with Dental Monitoring. Retention patients scan every three months, enabling early intervention and reducing in-office visits.
Retention photos taken one year later show stability of overbite and anterior space closure. The patient has been somewhat inconsistent with upper Essix retainer wear, resulting in a small space distal to #11. We most recently saw her for a new upper Essix retainer. At 68 years of age, the patient is delighted with the stability of her FXClear aligner treatment — and so are we.
About the author
Dr. Terry Sellke has been in private practice at three locations in Illinois for 50 years. He was co-director at the orthodontic clinic at the University of Illinois, Chicago, for 36 years, and he remains active in research and publications. He is passionate about his profession and using the latest technology to enhance care.
Topics:
Tags:
FREMONT, Calif., US: For many orthodontists, obtaining optimal tooth alignment and managing final detailing are persistent challenges in aligner therapy. ...
Clear aligner treatment has evolved beyond simply straightening teeth. Today’s patients want comfort, convenience and confidence that their results will ...
Live webinar
Wed. 3 June 2026
1:00 PM EST (New York)
Live webinar
Thu. 4 June 2026
2:00 PM EST (New York)
Live webinar
Mon. 8 June 2026
12:00 PM EST (New York)
Live webinar
Mon. 8 June 2026
1:00 PM EST (New York)
Dr. Anthony Mak B.D.S, Prof. Marleen Peumans
Live webinar
Mon. 8 June 2026
2:00 PM EST (New York)
Live webinar
Wed. 10 June 2026
11:00 AM EST (New York)
Live webinar
Wed. 10 June 2026
2:00 PM EST (New York)
Nacho Fernández-Baca DDS, MSc
To post a reply please login or register