Abstract: This case report aims to present a clinical case in which periapical surgery with root-end filling was performed with the use of new bioceramic-based sealers. The ease handle of these materials was verified as well as a fast bone repair in a short period. It was concluded, and, if the results are maintained in the long term, these sealers may be the first choice for these clinical procedures.
Introduction: Failures in endodontic treatments are not uncommon and most of them results from an imperfect root canal decontamination during the first treatment.1 Some endodontic failures cannot be performed by retreatment. As example, we have cases of true cysts, extra radicular bacterial biofilm and fractures not detected during the initial treatment. In these clinical situations, complementation by root-end surgery may be the treatment of choice.
Another situation where we can use the root-end surgery to re-establish periapical health is when the tooth in question was recently rehabilitated and still in adequate aesthetics or due to financial reasons. In these cases, surgery is more useful and quick in resolving the situation.
Currently, the surgical modality indicated for such cases is the removal of the periapical lesion, a root-end resection followed by a root-end treatment and filling.
For the last step (root-end filling), several materials have already been used over the past few decades. Since silver amalgam, zinc oxide eugenol-based sealer to the current bioceramic-based sealers. Such bioceramic-based sealers are derived from MTA and have improved properties when compared to it.
In addition to the excellent biological properties, these new sealers are more user friendly. They are ready-for-use, can be used in a humid environment.
The aim of this case report is to present a clinical case of a root-end surgery in the maxillary cuspid using the association of Bio-C Sealer and Bio-C Repair.
Fig. 1: A cone beam computed tomography was performed for diagnosis and to establish a treatment plan. (Photos/Provided by Renato Interliche, Douglas Giordani Negreiros Cortez and Clauber Romagnoli)
Fig. 2: Irrigation needle previously prepared for surgery.
Fig. 3: Ultrasonic tip for root-end treatment and Bio-C Repair cement at the tip of the surgical plugger.
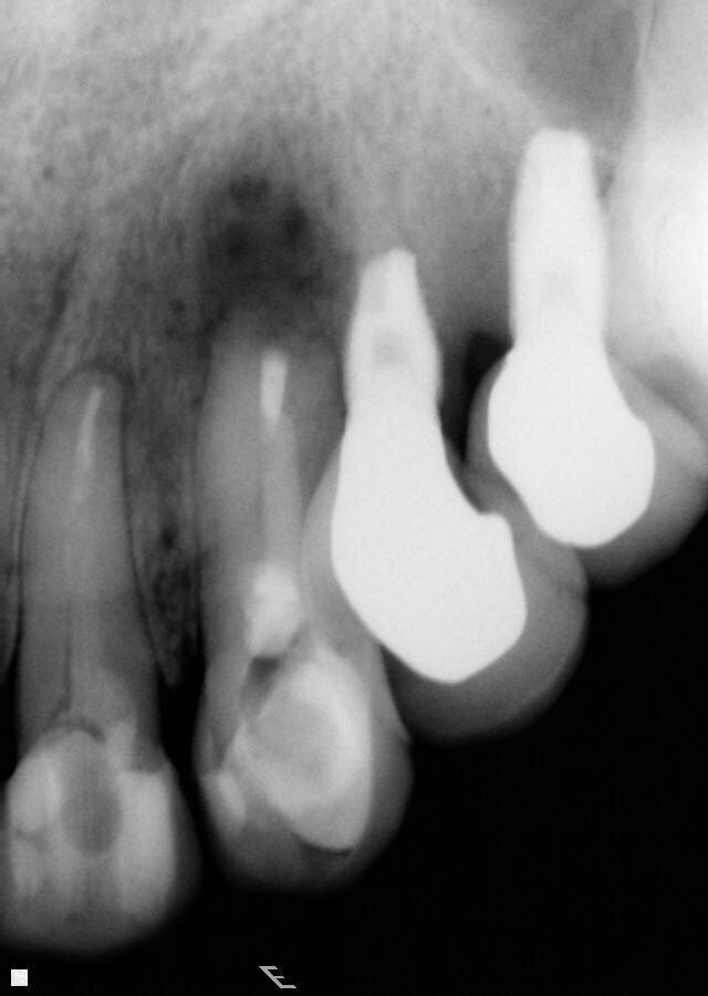
Fig. 4: Periapical radiograph during the root-end surgery verifying the complete root-end filling.
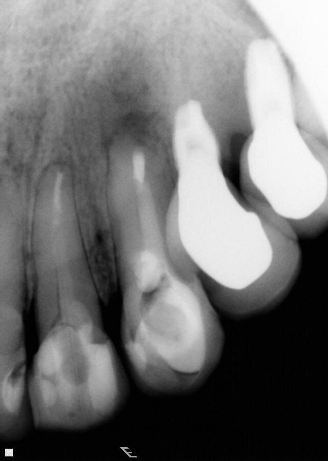
Fig. 5: Periapical radiographic follow-up after 30 and 90 days, showing a fast regression of the periapical lesion and a bone repair.
Fig. 6: Periapical radiographic follow-up after 30 and 90 days, showing a fast regression of the periapical lesion and a bone repair.
Douglas Giordani Negreiros Cortez
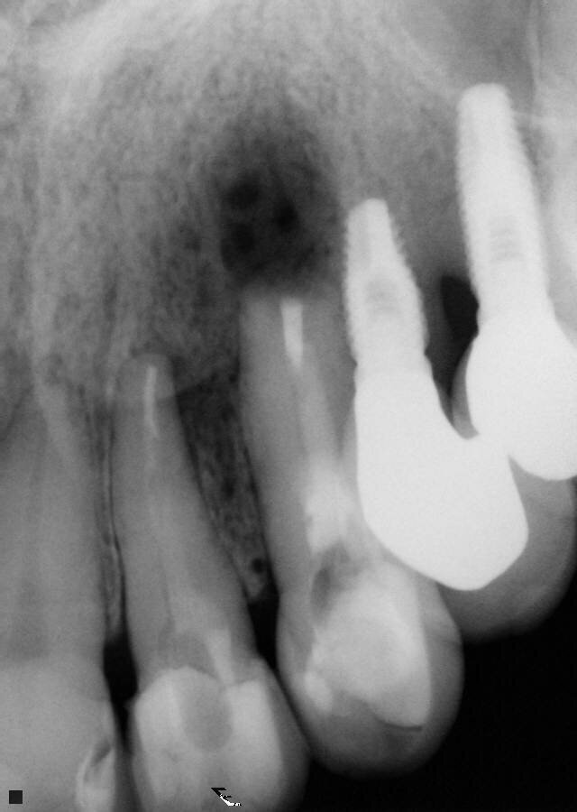
Case report: The patient G. L., female, 56 years old, without any systemic health problems, was referred to the private office for clinical evaluation and management of left maxillary cuspid (tooth 23). It was observed at the periapical x-ray the presence of a radiolucent lesion and a possible perforation in the buccal face resulting from an attempt to access and remove the root canal post.
After clinical and radiographic examination, a cone beam computed tomography was performed for better diagnosis and to establish the treatment plan for the involved tooth (Fig 1).
By observing the perforation and root canal deviation by the previously installed root canal post, it was suggested to perform a root-end surgery to remove the periapical lesion, followed by a root-end resection, treatment and filling. Concomitantly, the root canal perforation would be restored on the buccal surface with photoactivated composite.
After local anesthesia (Articaine, DFL, Rio de Janeiro, Brazil), an intrasulcular gingival incision was made between teeth 24, 23 and 22 on the buccal aspect, followed by a perpendicular relaxing incision in the distal region of tooth 24. The triangular flap was raised, and the lesion was located.
The lesion was removed with curetes, and the root apex was sectioned using an ultrasonic tip (Blade Sonic – Helse Ultrasonic, Santa Rosa do Viterbo, Brazil). The root-end treatment also was made using an ultrasonic tip (E1 – Helse Ultrasonic, Santa Rosa do Viterbo, Brazil) with a depth equal to the active part of the tip.
After the root-end treatment, a sufficient amount of Bio-C Sealer was inserted into the cavity in order to completely fill the cavity preparation. This was achieved with a previously curved irrigation needle following the angles of the ultrasonic tip (Fig. 2).
With the cavity filled with more flowable root canal sealer (Bio-C Sealer), a denser cement plug of Bio-C Repair was accommodated, using a surgical plugger (Fig. 3).
After the complete filling of the cavity is observed, the material excess is removed by washing the cavity with saline solution (Fig. 4).
After the clot formation, interrupted sutures were performed and the patient was medicated with antibiotics and anti-inflammatories for five days. Chlorhexidine mouthwashes were also recommended. The sutures were removed after 10 days. The radiographic follow-up was performed after 30 and 90 days (Figs. 5, 6).
Discussion: The current non-surgical endodontic therapy has a high success rate due to the great advances that have occurred in all treatment steps, as well as the new materials, techniques and equipment available. Even so, there are still unsuccess cases where re-intervention procedures are required.[2]
The first choice for unsuccessful cases is non-surgical retreatment, but there are situations where we cannot rule out the use of surgery to complement the initial treatment and/or retreatment.
In this case report, we were able to observe the fast healing of the periapical lesion resulting from its surgical elimination associated with a material that has an osteogenic potential (bioceramic-based sealers).[3] However, future periodic follow-ups will still be performed for long-term confirmation of the surgical success.
As for the physicochemical characteristics of these materials, we can expect excellent properties, since they are derived from MTA, which has already been extensively researched and its effectiveness is proven for cases like the one presented.[4,5]
The ease of use of these cements should be emphasized. Ready-to-use materials facilitate and speed up care, making the operator spend less time with his patient in the chair. This noticeably improves service.
Another advantage of ready-to-use materials is to not allow operator errors to occur during preparation. Powder/liquid ratios, mixing time or preparation do not exist in these kinds of dental materials, so it eliminates the possibility of errors or misuse of the material.
In the described clinical case, we cannot evaluate the postoperative pain produced only by these materials, because we routinely prescribe medications for pain control and this obviously mask an extrapolation of the material’s effect on this issue.
Finally, the results show that bioceramics promote excellent results.[6-8] Through the reported case, we can notice the fast healing process that can be obtained with the use of this materials.
References
- Nair, P. N. R. Pathogenesis of periapical periodontities and the cause of endodontic failures. Critical reviews in oral biology and medicine. V. 15, N. 6, 2004.
- Ruddle, C. Nonsurgical retreatment. JOE, V. 30, N. 12, 2004.
- Giacomino, C. M., Wealleans, J. A., Kubn, N., Diogenes, A. Comparative biocompatibility and osteogenic potential of two bioceramic sealers. JOE, V. 45, N. 1, p. 51-56, 2019.
- Parirokh, M.; Torabinejad, M. Mineral trioxide agregate: a comprehensive literature review – part III: clinical applications, drawbacks, and mechanism of action. JOE. V. 36, N. 3, 2010.
- Nagas E, Uyanik Mo, Eymirli A, Cebreli Zc, Vallittu Pk, Lassila Lvj, Durmaz V. Dentin Moisture Conditions Affect the Adhesion of Root Canal Sealers, JOE, V. 38, N. 2, fevereiro 2012.
- Bueno, C. R. E. et al. Biocompatibility and biomineralization assessment of bioceramic-, epoxy-, and calcium hydroxide-based sealers. Brazilian Oral Research, v. 30, n. 1, 2016.
- Lima, NFF et al. Cimentos biocerâmicos em endodontia: revisão de literatura. Revista da Faculdade de Odontologia-UPF, v. 22, n. 2, 2017.
- Santos, J. L. Cimentos Biocerâmicos: breve revisão bibliográfica e apresentação de casos clínicos. 38 f. Monografia para título de especialista em Endodontia - Uiversidade Norte do Paraná, Londrina, 2018.
About the authors
- Renato Interliche, DDS, MSc, Endodontic Specialist
- Douglas G. N. Cortez, DDS, MSc, PHD, Specialist in Endodontics and Implantology
- Clauber Romagnoli, DDS, MSc, Specialist in Endodontics and Implantology
Tags:
NEW YORK, N.Y., USA: I enjoy attending and speaking at dental conferences as often as my schedule allows. The big, international events are especially ...
OXNARD, Calif., USA: A recent report authored by John A. Molinari, Ph.D., and Peri Nelson, B.S., suggests that there are many advantages of using disposable...
I’m often asked what the next big thing is going to be in dentistry. What new technique or technology is going to change dental practice? We certainly...
NEW YORK, N.Y., USA: Guided bone regeneration is a common treatment before a dental implant procedure, and bio-materials treated with fluoride are ...
In his 1862 monograph, French neurologist Guillaume Duchenne de Boulogne postulated that facial expressions are directly related to a person’s soul.1 ...
Approximately one in three Americans will develop a malignancy in their lifetime.1 The chances of developing certain malignancies increase with age and ...
CHICAGO, Ill., USA: The Pew Center on the States released a report, “Falling Short: Most States Lag on Dental Sealants,” on Jan. 8, claiming ...
Orthodontic therapy has faced three persistent challenges for decades: stability of correction, retention strategy and management of open bites — ...
CHARLOTTE, N.C., USA: Patients may be exposed to dangerous pathogens when an unsterilized bib chain is placed around their neck during dental treatment, new...
BAAR, Switzerland: The vVARDIS online symposium, starting from 4:00 p.m. PT today, will allow dental clinicians to earn valuable continuing education ...
Live webinar
Tue. 19 May 2026
11:00 AM EST (New York)
Live webinar
Tue. 19 May 2026
1:00 PM EST (New York)
Prof. Dr. med. dent. Ivo Krejci
Live webinar
Wed. 20 May 2026
7:00 AM EST (New York)
Dr. Graham Carmichael BDSc (Hons), DClinDent (Pros), FRACDS, Dr. Robert Gottlander DDS
Live webinar
Wed. 20 May 2026
9:00 AM EST (New York)
Live webinar
Wed. 20 May 2026
11:00 AM EST (New York)
Live webinar
Wed. 20 May 2026
1:00 PM EST (New York)
Prof. Dr. med. dent. Tim Joda PhD, MSc, eMBA
Live webinar
Thu. 21 May 2026
12:00 PM EST (New York)
Dr. Leonardo Muniz DDS, MSC
To post a reply please login or register