Intraoral welding was developed by Pierluigi Mondani[1] of Genoa, Italy, in the 1970s to permanently connect submerged implants and abutments to a titanium wire or bar by means of an electric current (Fig. 1). The current is used to permanently fuse the titanium to the abutments in milliseconds, so the heat generated does not cause any pathology or patient discomfort.
If possible the implants are placed without flaps. The titanium wire or bar is bent and aligned passively to the contour of the labial and lingual surfaces of the implants before applying the electric current to permanently connect the bar to the implants.
The technique follows a strict surgical and prosthodontic protocol which includes using a number of implants as close as possible to the number of teeth to be replaced, achieving primary stability by engaging both cortical plates (bicorticalism), immediate splinting of the implants utilizing intraoral welding, and immediate insertion of a fixed provisional prosthesis with satisfactory occlusion. The technique provides for immediate loading and does not jeopardize the integration process.[2]
Although intraoral welding has been used successfully in Europe, especially Italy, for many years, it has yet to achieve everyday use in the United States.
Members of the Italian affiliate of the American Academy of Implant Prosthodontics, NuovoGISI, have long and successful experiences with immediate loading of maxillary implants connected together by intraoral welding.[2]
embedImagecenter("Imagecenter_1_1826",1826, "large");
By inserting the prosthesis with adequate retention and stability the same day as the surgery, patient complaints and discomfort can be avoided or substantially reduced. The instantaneous stability that results from the splinting can reduce the risk of failure during the healing period. Intraoral welding can also eliminate errors and distortions caused by unsatisfactory impression making, as the procedure is performed directly in the mouth.
Intraoral welding can fulfill a great need for business and socially active persons, as the surgical and prosthodontic procedures are accomplished on the same day. Patients can leave the dental office with a stable, esthetic, and retentive prosthesis.
The flapless technique, first proposed by Tramonte,[3] can be performed when the bony crest is wide and an adequate amount of attached gingiva is present. The technique allows for uneventful healing, a reduction of postsurgical inflammation, and only moderate inconvenience for the patient, who can eat efficiently the same day.
Provisional prosthesis and tooth arrangement
During the surgical session a temporary resin prosthesis is inserted. Occlusal plane height must be correct. A lingualized (lingual contact) scheme of occlusion is recommended. The upper anterior teeth are best arranged without any vertical overlap. The amount of horizontal overlap is determined by the jaw relationship. A vertical overlap for appearance can be used, provided that an adequate horizontal overlap is included to guard against interference within the functional range.[4]
Lingualized (lingual contact) occlusion
Lingualized (lingual contact) occlusion maintains the esthetic and food penetration advantages of anatomic teeth while maintaining the mechanical freedom of nonanatomic teeth. Among the advantages of a lingualized occlusion are occlusal forces centered over the ridge crest in centric occlusion, masticatory force is effectively transferred more “lingual” to the ridges during working side excursions, the “mortar and pestle” type of occlusion minimizes the occlusal contact area providing for more efficient food bolus penetration, and elimination of the precise intercuspation that can complicate the arrangement of anatomic denture teeth.
Lingualized occlusion also prevents cheek biting by holding the buccal mucosa off the food table by eliminating occlusal contacts on the maxillary buccal cusps, minimizes occlusal disharmonies created from errors in jaw relationships, denture processing changes, and settling of the denture base, and simplifies setting of denture teeth, balancing the occlusion, and any subsequent occlusal adjustment procedures.[5]
Clinical Report
A healthy 50-year-old Caucasian woman presented for treatment at the office of one of the co-authors (LDC) with a mobile, painful, 12-tooth semiprecious alloy-ceramic fixed prosthesis (Fig. 2). The prosthesis was removed and all of the remaining abutment teeth were found to be nonrestorable with extraction indicated (Fig. 3). After removal of the retained teeth, eight titanium one-piece implants were inserted in one session (Fig. 4).
Immediate stabilization of the eight implants and two additional implants that were previously inserted in the posterior regions was achieved by welding (Acerboni Intraoral Welding Unit, Casargo, Italy) each implant to a 1.5 mm supporting titanium bar (Acerboni, Casargo, Italy), which previously had been bent to fit passively on the palatal mucosa (Fig. 5). A provisional resin prosthesis was inserted, which provided an acceptable vertical dimension and lingual contact occlusion. Oral hygiene procedures were demonstrated to the patient and reviewed at all future appointments.
After 90 days a panoramic radiograph suggested complete integration (Fig. 6) and a healthy mucosa was observed (Fig. 7). The definitive full-arch gold-ceramic maxillary prosthesis was inserted which greatly pleased the patient and her family.
In the lower arch, the right first and second bicuspids were extracted and implants placed in the first bicuspid and first molar regions. The implants were welded together intraorally (Fig. 8), followed by the fabrication and cementation of a three-tooth fixed prosthesis (Fig. 9).
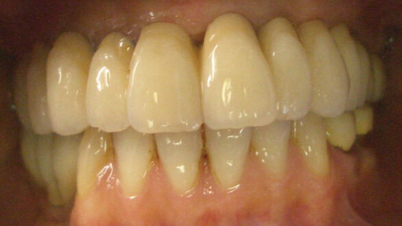
A seven-year follow-up radiograph (Fig. 10) shows satisfactory preservation of bone surrounding all of the implants. An intraoral photograph of the definitive prosthesis shows healthy gingival tissue (Fig. 11).
Note: A complete list of references is available from the publisher.
In his 1862 monograph, French neurologist Guillaume Duchenne de Boulogne postulated that facial expressions are directly related to a person’s soul.1 ...
Technology is one of the biggest investments that a dental practice will make, and intraoral sensors are among one of the first tools dentists invest in ...
As has been stated by Dr Harold M. Shavell, “Occlusion and morphology are the common denominators of all dentistry.”1 A single tooth or restoration can ...
Ever since screw-shape implants were introduced in the 1970s, thousands of different types of implants have been placed in people’s mouths. With ...
Orthodontic therapy has faced three persistent challenges for decades: stability of correction, retention strategy and management of open bites — ...
For decades, case reports and scientific studies have described the condition of internal root resorption. A recent web search related to internal root ...
Abstract: This case report aims to present a clinical case in which periapical surgery with root-end filling was performed with the use of new ...
Clinicians are leveraging their investments in chairside digital impression systems to reduce the time and cost of implant therapy. Dental technicians ...
Thanks to the latest advances in cosmetic tooth alignment, general dentists are now able to provide simple, straightforward treatment for adult patients ...
Approximately one in three Americans will develop a malignancy in their lifetime.1 The chances of developing certain malignancies increase with age and ...
Live webinar
Tue. 19 May 2026
11:00 AM EST (New York)
Live webinar
Tue. 19 May 2026
1:00 PM EST (New York)
Prof. Dr. med. dent. Ivo Krejci
Live webinar
Wed. 20 May 2026
7:00 AM EST (New York)
Dr. Graham Carmichael BDSc (Hons), DClinDent (Pros), FRACDS, Dr. Robert Gottlander DDS
Live webinar
Wed. 20 May 2026
9:00 AM EST (New York)
Live webinar
Wed. 20 May 2026
11:00 AM EST (New York)
Live webinar
Wed. 20 May 2026
1:00 PM EST (New York)
Prof. Dr. med. dent. Tim Joda PhD, MSc, eMBA
Live webinar
Thu. 21 May 2026
12:00 PM EST (New York)
Dr. Leonardo Muniz DDS, MSC
To post a reply please login or register