Ever since screw-shape implants were introduced in the 1970s, thousands of different types of implants have been placed in people’s mouths. With growing frequency, implant patients change dentists for various reasons, especially in countries with high immigration, such as Canada and the United States. Patients present in our offices with implants that were placed in different countries and sometimes are very difficult to identify.
Often there is no representation of the implant company in our geographic area, and ordering parts is simply unrealistic. One of these cases is presented here.
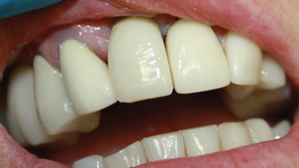
A patient presented in our office after losing the old crown on tooth #11 (Fig. 1). The patient could not find the crown, which was placed in Italy in the early 1990s. The patient previously visited other offices that could not offer her any solution except the replacing of the implant. We tried to identify the system by going on the Internet and searching forums and websites; but, we had no success (Fig. 2).
We decided to use the [Stomatotech] G-Cuff system for this case, which we usually use for implant bridges. The abutment was unscrewed, and we measured the size of the abutment with the special G-Cuff measuring tool. After determining the size of the cuff, we chose the correct one from the kit. The G-Cuff was placed, and the abutment was screwed back (Fig. 3). The gold screw was fastened to the torque of 20 Ncm. A direct PVS impression was taken and sent to the lab (Fig. 4). A Zirconium coping was milled, following a porcelain esthetic finishing. The crown was placed, and only minor occlusion adjustments were needed. A control X-ray was taken (Figs. 5 and 6).
embedImagecenter("Imagecenter_1_661",661, "large");
Conclusion
In spite of our difficulty in attempting to identify the implant, our patient was completely rehabilitated in less than a week. The G-Cuff kit is a must in every dental office because it is the only solution for UDI (unidentified dental implants), which recently have become more and more frequent. The patient was extremely satisfied with the result and the timespan of the treatment; and the reputation of our office was significantly raised.
Note: This article appeared in Dental Tribune U.S., Vol. 7, No. 9, September 2012 issue. A complete list of references is available from the publisher.
For decades, case reports and scientific studies have described the condition of internal root resorption. A recent web search related to internal root ...
According to industry experts in a new report, the worldwide dental implant market was valued at $2.728 billion in 2019 and is anticipated to record ...
In his 1862 monograph, French neurologist Guillaume Duchenne de Boulogne postulated that facial expressions are directly related to a person’s soul.1 ...
This case demonstrates the optical scanning of Inclusive Scanning Abutments (Glidewell Laboratories; Newport Beach, Calif.) utilizing the iTero digital ...
Should a person’s teeth be saved at all costs? During the last decade, the answer has shifted from yes to no in favor of replacing diseased and ...
The esthetic rehabilitation of patients with a functionally compromised dentition frequently involves a multidisciplinary approach incorporating several ...
Intraoral welding was developed by Pierluigi Mondani[1] of Genoa, Italy, in the 1970s to permanently connect submerged implants and abutments to a titanium ...
World renowned oral surgeon and educator Michael A. Pikos, DDS, has chosen the highly acclaimed Safety Harbor Resort and Spa as the new home for The Pikos ...
Implant dentistry is an expanding field. Ensure your skills are strengthened and that you can manage every appropriate phase of your implant care through a ...
FORT LAUDERDALE, Fla., US: Swiss dental implant specialist Patent Medical has been named “Dental Implants Manufacturer of the Year in Europe” by MedTech...
Live webinar
Mon. 23 February 2026
3:00 AM EST (New York)
Ass. Prof. Elizabeth Shick, Dr. Zehra Yonel
Live webinar
Tue. 24 February 2026
1:00 PM EST (New York)
Prof. Dr. Markus B. Hürzeler
Live webinar
Tue. 24 February 2026
3:00 PM EST (New York)
Prof. Dr. Marcel A. Wainwright DDS, PhD
Live webinar
Wed. 25 February 2026
11:00 AM EST (New York)
Prof. Dr. Daniel Edelhoff
Live webinar
Wed. 25 February 2026
1:00 PM EST (New York)
Live webinar
Wed. 25 February 2026
8:00 PM EST (New York)
Live webinar
Tue. 3 March 2026
11:00 AM EST (New York)
Dr. Omar Lugo Cirujano Maxilofacial
To post a reply please login or register