It was a great honor to be asked to do a live presentation at the Greater New York Dental Meeting. To perform molar endodontics, in a single visit, in front of 300 dentists was both exciting and challenging. Everything that I saw through my Zeiss surgical operating microscope (Zeiss) was being simultaneously broadcast on large screen monitors throughout the auditorium.
It takes great confidence in your instruments and in your techniques to be able to achieve a high level of treatment in this type of environment.
embedImagecenter("Imagecenter_1_249",249, "large");
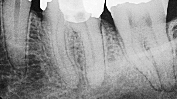
To secure the proper patient, I turned to the referral base of my private practice. A long standing colleague sent me a radiograph and a case history of a patient requiring root canal therapy for tooth # 19 (Figure 1). This was a tooth with an apparently complex root canal anatomy for which a pulpotomy had been done. After meeting with my patient, my assistant and I packed all of the instruments that we would need for the procedure. The two most important pieces of the armamentaria were LightSpeedLSX nickel titanium rotary files (Discus Dental, Culver City, Calif.) and the EndoVac irrigation system (Discus Dental, Culver City, Calif.).
On the day of the live presentation, after anesthetizing my patient, preparing proper access, and creating a glide path, I began instrumentation with LightSpeedLSX. LightSpeed files allow me to create root canal preparations that thoroughly clean the critical apical third without unnecessarily removing root structure coronally. The mesial canals were finished to a size #45 and the distal canal to a size #50. Those sizes might sound large, but because of LightSpeed’s unique, non-tapered design (Figure 2), I know the canals had been properly instrumented, and I had actually removed less overall dentin due to a more conservative coronal preparation.
With instrumentation complete, I began final irrigation with EndoVac. EndoVac irrigation is a ground-breaking, true apical negative-pressure irrigation system. Studies have shown that current irrigation techniques are effective at cleaning root canals coronally, but significantly less effective apically. EndoVac is the only system that can safely deliver full strength sodium hypochlorite to full working length, allowing hydrolysis of tissue and complete canal disinfection. Three unique components of the EndoVac system make this all possible (Figure 3). During irrigation, 17 percent EDTA is also used to remove the smear layer, creating clean canal walls, ready for obturation. After obturating using warm vertical compaction of gutta-percha, the case was complete (Figure 4).
The combination of the LightSpeed technique for apical enlargement facilitates effective irrigation with EndoVac. Safety and efficacy are the key elements of both of these products, and studies have shown that patients treated with LSX and EndoVac experience significantly less post-operative pain than those treaded with traditional methods. These safe, evidence-based technologies allow me to confidently treat both vital and non-vital cases in one visit. If you are presently performing one visit endodontics or would like to begin doing so, I strongly suggest considering both what is presented here and in the literature.
Learn more at IDS
Learn more about "Safe, Effective & Proven Endodontic Irrigation: The Final Frontier" at the IDS on Wednesday, March 24, at 11:30 am to noon. Discus Dental will offer a lecture with Dr. Garry Bey at the Speaker's Corner, which is free for IDS visitors to attend and can be found in Hall 3.1 at the bottom of the staircase that leads to hall 11. See you there!
CHICAGO, Ill., USA: As the global leaders in advocating the value and quality of endodontics, the American Association of Endodontists (AAE) supports a ...
WOBURN, Mass., USA/DARMSTADT, Germany: Dental CAD/CAM software provider exocad, an Align Technology company, has announced the availability of ChairsideCAD ...
KOBLACH, Austria/COLOGNE, Germany: “Connect To The (Work-)Flow” is Amann Girrbach’s motto for presenting modern digital processes in the world of ...
With more than 40 years of clinical evidence, titanium endosseous implants have become an acceptable (evidence-based) form of treatment to replace natural ...
Many people think the sale and transition of a dental practice is a small and simple process. After all, how difficult can it be for a Mom and Pop-sized ...
CHARLOTTE, N.C., US: With a heritage of more than 150 years in dentistry, Dentsply Sirona is highlighting trust as a central theme in its endodontic ...
Would you be surprised if you could be offering your patients a single-tooth replacement option in full function at the time of their very first visit to ...
When it comes to tactile perception, most dentists doing root-canal therapy would agree more is better. But what exactly do we mean when we talk about ...
In an interview, L. Stephen Buchanan, DDS, FICD, FACD, of Dental Education Laboratories discusses his new TrueTooth replicas and how they can be used by all...
Over time, it has become increasingly clear that teaching K-files is devoid of common sense and makes endodontics more difficult and fraught with procedural...
Live webinar
Tue. 19 May 2026
11:00 AM EST (New York)
Live webinar
Tue. 19 May 2026
1:00 PM EST (New York)
Prof. Dr. med. dent. Ivo Krejci
Live webinar
Wed. 20 May 2026
7:00 AM EST (New York)
Dr. Graham Carmichael BDSc (Hons), DClinDent (Pros), FRACDS, Dr. Robert Gottlander DDS
Live webinar
Wed. 20 May 2026
9:00 AM EST (New York)
Live webinar
Wed. 20 May 2026
11:00 AM EST (New York)
Live webinar
Wed. 20 May 2026
1:00 PM EST (New York)
Prof. Dr. med. dent. Tim Joda PhD, MSc, eMBA
Live webinar
Thu. 21 May 2026
12:00 PM EST (New York)
Dr. Leonardo Muniz DDS, MSC
To post a reply please login or register