Over time, it has become increasingly clear that teaching K-files is devoid of common sense and makes endodontics more difficult and fraught with procedural mishaps. Such a statement might be met with outrage by those who teach the use of K-files, but I would ask them to ask themselves (if no one else) what has been the greatest impetus for the introduction of rotary NiTi.
Rotary NiTi did not appear out of the blue. It is an answer to a problem that is created by the ineffective use of K-files. If that were not the case, why would there be a need for rotary NiTi in the first place? I don’t believe there is too much wiggle room here. We use K-files. They present problems that are recognized by the dentists using them, and there is a logical quest to find solutions.
What is unique in the implementation of rotary NiTi is its continuing dependence on the very instruments they are at least partially replacing. K-files often do their damage at the beginning of instrumentation with the first few files used mostly through a No. 20.
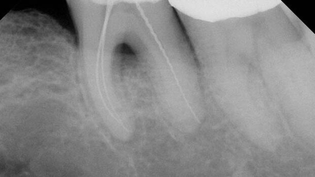
By this time, canals may be transported, blocked or ledged (Figure 1). Yet these are the instruments recommended for glide path creation. It is important to emphasize K-file difficulties don’t start with a 25. Depending upon the canal they are negotiating blockage, ledging or transportation occurs before the canal is instrumented to a 20. Given this situation, the continued use of K-files to shape the canal prior to the use of rotary NiTi is an endodontic absurdity.
A statement as strong as that requires rock solid logic to support it. The rest of this article will provide that logic.
Let’s start with the fact that K-files have a working length of 16 mm with approximately 30 flutes along its working length. The compact array of these flutes forces them to align in a fairly horizontal orientation. Dentists generally employ these instruments with a back-and-forth watch-winding motion with the occasional upstroke to remove the instrument to debride the shank. The predominant motion remains horizontal. This is the basic stroke we use in endodontics to negotiate to the apices of canals.
Combining a horizontal stroke with flutes that are also horizontally inclined leads to a screwing in and a screwing out of the K-file. It does not lead to cutting the dentin along the length of the canal. That only occurs after the instrument engages the canal walls and is pulled up. Or it occurs when the K-file is screwed in clockwise and apical pressure applied as it is then rotated counterclockwise cleaving off the dentin that was initially engaged in the clockwise motion. Neither one truly represents watch-winding that is the motion most often employed when using these instruments.
However, let’s consider the modification of their use as described above. If used with a twist-and-pull motion, dentin will only be cut on the pull stroke with the cutting action occurring selectively to the outer wall in curved canals. This leads to the transportation we wish to avoid. If used with balanced force, the second method described above, the instrument will stay centered, but please realize that it takes three motions to produce a cutting action. A clockwise motion must first be employed. Then apical pressure must be applied to the instrument and finally the instrument is rotated counterclockwise.
Three motions employed for one cutting action, the height of inefficiency and one that cannot effectively be employed with an engine driven system.
With all those flutes engaging the walls of the canals, it is quite difficult to discern what the tip of the instrument is engaging; yet what the tip of the instrument is engaging is the single most important piece of information that must be transmitted to the dentist. If the tip of the instrument is hitting a wall and the dentist does not know it, his only guide is to maintain length. With enough twist-and-pull motions the length will be gained, but often this gain is through distortion of the original canal anatomy at times leading to frank perforations.
As an aside, to bring the perspective of K-files into sharper focus, the flute design is quite similar to a screw. I don’t believe there are many dentists out there who would consider shaping canals with screws. They engage the walls of the canal, but serving the purpose of a screw they don’t cut dentin away. Rather, they cut into dentin maintaining the engagement.
While this action is exactly what you want in a screw, it is exactly what you don’t want in an instrument that is shaping canals. Poor removal of dentin, distorted shaping of canals and inadequate tactile perception of the tip of the instrument are all features of K-files. Despite these inadequacies, the teachers continue to advocate their usage. The only way this can occur is a lack of thoughtful analysis for what they are advocating.
Now let’s look at the problem of K-files from a different vantage point: its comparison to K-reamers both relieved and unrelieved.
Many readers may not know there is really much of a difference between the two. In fact, there are major differences that lead to far more rational approaches to canal shaping.
Perhaps the single most important difference between a K-file and a K-reamer are the number of flutes along their respective 16 mm of working length. K-reamers have about one half the number of flutes. As a result, the flutes have a more vertical orientation compared to those on a K-file. If K-reamers are used with the recommended watch winding motion, the primary movement will immediately cut dentin. There is nothing magical about this.
Any carpenter knows if you plane a piece of wood, the cutting blade is at right angles to the plane of motion. In the same way, the vertically oriented flutes work productively with the horizontal motion of the instrument and the blades cut. K-files tend to screw in and out while K-reamers cut when the same motion is applied.
One could not ask for a more basic difference.
In addition, K-reamers provide the dentist with a superior tactile perception, a result of reduced engagement along length, more efficient cutting of dentin and greater flexibility of the shaft. The dentist can now make the all-important distinction between hitting a canal wall and being in a tight canal. The former will provide no immediate tugback while the latter produces tugback immediately. The ability to make the distinction tells the dentist when to remove the instrument, bend it at the tip and negotiate around the blockage, otherwise known as the solid wall.
The vertical flutes along length make the instrument an effective cutting instrument along length when used with a watch winding motion, but a poor cutting instrument when used with the pull stroke and this is exactly what we want. Instruments that cut effectively with a pull stroke in curved canals will always tend to distort to the outer wall. For years K-files have been cutting dentin in ways that are detrimental to our final results and not cutting dentin well where it would be most effective.
Less engagement, more flexibility, superior cutting ability, enhanced tactile perception, are all desirable qualities and every one of them is enhanced if we now modify the K-reamer, by placing a flat along its entire length. The result is an instrument that engages far less, is significantly more flexible, cuts perceptibly better because of the incorporation of two columns of blades (where the flat meets the flutes) and produces superior better tactile perception. Furthermore, the flat transforms the K-reamer into an asymmetrical instrument that can differentiate between a round and oval canal, information that the dentist can use in determining the degree of shaping that a canal must attain to remove as much debris as possible. Please note, what might appear as a small change in design has produced a dramatically more effective instrument without compromising its complete safety1 (Fig 3).
I believe I have made a strong case for the use of relieved reamers over K-files. If dentists appreciate these profound differences they will immediately improve in their ability to create an excellent glide path. As important as the differences between K-files and relieved reamers are, the incorporation of relieved reamers has greater implications than more effective glide path creation. Used either manually with a tight watch-winding motion or in a 30-degree reciprocating handpiece, relieved reamers do away with the insecurities of rotary NiTi breakage while shaping curved canals in an undistorted fashion2 to dimensions that those using rotary NiTi would not attempt out of fear of breakage.
For those using rotary NiTi, this is a giant step in faith and one you might not be inclined to take. It is not necessary for you to take that step.
Take the first step: replacing K-files with relieved reamers and determine for yourself if glide path creation is more predictably and efficiently produced. Only after you have convinced yourself that they are indeed much more effective, think about the extension of their usage for complete canal shaping.
As major motivators, they are virtually free of breakage, can be used six to seven times before replacement, reducing the cost of these instruments compared to rotary NiTi by about 90 per cent on a per-use basis.
One definition of progress is the incorporation of equally or more effective techniques that are simpler and safer to use while costing far less. Relieved reamers fulfill that definition.
Editorial note: References are available upon request.
About the author
Barry Lee Musikant, DMD, is the co-director of dental research and co-founder of Essential Dental Systems (EDS). The company’s roots stem from the desire for product improvements to the items of focus in lectures and daily practice. His research and business partner is Allan S. Deutsch, DMD. Musikant and Deutsch have combined 60-plus years of experience as leading lecturers and practicing endodontists in New York City. Contact them at info@edsdental.com.
There is an important distinction to be made between systems that involve 360 -degree rotations, be they interrupted or continuous, and systems that ...
CHARLOTTE, N.C., US: With a heritage of more than 150 years in dentistry, Dentsply Sirona is highlighting trust as a central theme in its endodontic ...
Endodontic treatment is a predictable procedure with high success rates. Success depends on a number of factors, including appropriate instrumentation, ...
Four thousand years ago, a number of Babylonian legal decisions were compiled in what came to be known as the Code of Hammurabi. The one referencing the ...
Over the years, endodontics has diminished itself by enabling the presumption that it is comprised of a narrowly defined service mix; root canal therapy ...
In an interview, L. Stephen Buchanan, DDS, FICD, FACD, of Dental Education Laboratories discusses his new TrueTooth replicas and how they can be used by all...
How fortunate we are, to be members of such an incredible profession. In spite of the pandemic, the opportunities to learn new and better techniques are ...
KOMET USA can now offer practitioners ‘peace of mind’ here in the United States with the introduction of its first broken endodontic file ...
CHICAGO, US: New data from the American Association of Endodontists indicates that more patients in the US are being referred to endodontists for complex ...
Live webinar
Thu. 14 May 2026
12:00 PM EST (New York)
Live webinar
Thu. 14 May 2026
2:00 PM EST (New York)
Prof. Hani Ounsi DDS PhD FICD
Live webinar
Tue. 19 May 2026
11:00 AM EST (New York)
Live webinar
Tue. 19 May 2026
1:00 PM EST (New York)
Prof. Dr. med. dent. Ivo Krejci
Live webinar
Wed. 20 May 2026
7:00 AM EST (New York)
Dr. Graham Carmichael BDSc (Hons), DClinDent (Pros), FRACDS, Dr. Robert Gottlander DDS
Live webinar
Wed. 20 May 2026
9:00 AM EST (New York)
Live webinar
Wed. 20 May 2026
1:00 PM EST (New York)
Prof. Dr. med. dent. Tim Joda PhD, MSc, eMBA
To post a reply please login or register