With more than 40 years of clinical evidence, titanium endosseous implants have become an acceptable (evidence-based) form of treatment to replace natural teeth and should be considered as an alternative to either a partial denture or bridge. Immediate implant placement with simultaneous immediate function or immediate loading has been gaining momentum during recent years and can be a very predictable method in providing implant treatment for our patients.
There have been various timeframes used for the definition of immediate implant placement. Hammerle et al. (2004) suggested that immediate implant placement was when an implant was placed following tooth extraction and as part of the same surgical procedure.
In the same paper, the consensus statements say, “implants should not be placed at the time of tooth extraction if the residual tooth morphology precludes attainment of primary stability.”
It also states that, “If buccal plate integrity is lost, implant placement is not recommended at the time of tooth removal. Rather, augmentation therapy is performed.”
The implant is then placed after healing, that being 12 to 16 weeks, or even longer than 16 weeks.
It has also been reported that infection adversely affects immediate implant placement (Rosenquist and Grenthe 1996; Grunder et al. 1999) and is a contraindication for immediate placement of an implant into an extraction socket.
Predicatable treatment concept
Immediate implant placement and provisionalization is a predictable treatment concept (De Rouck et al. 2008). The success rate is at least comparable to data published for single-tooth implant placement using standard protocols in healed sites.
This happens providing careful appropriate patient selection is used and the surgeon is familiar with the techniques that differ from the standard two-stage protocol for implant placement.
For the patient, the main advantage for immediate replacement and provisionalization is fewer surgical visits as well as providing immediate esthetics that are virtually indistinguishable to the original tooth. Sometimes, if the tooth being replaced is discolored due to non-vitality, the esthetics will provide an immediate improvement.
For the clinician, immediate replacement allows for minimal disruption of the soft tissue providing immediate peri-implant support through careful manufacture and design of the provisional restoration. This helps to maintain the stability of the gingival marginal tissues, which is necessary for a successful esthetic outcome.
Root-filling failure
The following is a case study of a 50-year-old female with a history of a failing root-filled, upper-left central incisor. The root filling had been present for approximately 25 years and this had been apicected approximately 13 months before the tooth became problematic (Fig. 1).
The patient did not want another apicectomy and requested that the tooth should be extracted. The various options for restorations were discussed and as the neighboring central incisor was root filled and restored with a post crown, the lateral incisor was restored with a veneer due to microdontia, a bridge was not a viable option. The patient was adamant that she did not want a partial denture.
As the tooth was not infected and investigation had shown that the buccal plate was still intact, it was decided that the tooth could be extracted and immediately replaced with an implant fixture. This was to be utilized to support a Nobel Biocare immediate temporary abutment and a provisional crown.
What the treatment involved
Under local anesthesia, a crevicular incision was used and no flap reflection. The upper left central incisor was extracted using a very careful (atraumatic) technique with a periotome to preserve the buccal plate of bone and careful manipulation of the gingival tissues.
Once the tooth was removed, the socket walls were curetted to remove any remnants of periodontal fibres or granulation tissue. The socket was inspected to ensure that the buccal plate was still intact (Fig. 3).
Using the standard protocol, the bone was first prepared by penetrating the palatal wall at the apical third. Great care needs to be taken in the osteotomy preparation as the palatal wall of the extraction socket is commonly very dense and difficult to prepare, which can cause “run-off” of the drill tip.
To achieve the initial perforation, the drill is held at an angle of approximately 45 degrees to the palatal wall. Once the drill has penetrated the palatal wall, the angle is changed to then run more-or-less parallel to the angle produced by the buccal plate.
In the anterior maxilla, implant placement is typically toward the palatal aspect of the socket. Ideally, there should be a space of 0.5 mm to 1 mm between the buccal plate and the anterior surface of the fixture. The site was further prepared using the standard drill sequence.
A Nobel Speedy Replace regular platform fixture (4 mm x 15 mm) was then placed, which stopped at a torque value of 35 Ncm. It is recommended that if a torque value of 35 Ncm cannot be achieved, the implant should not be brought into immediate function.
A cover screw should be used and the implant submerged; therefore, some other temporary measure such as a Maryland Bridge should be used. In these conditions, the root could even be sectioned from the extracted tooth and the crown bonded to the adjacent tooth.
Primary stability is very important in this procedure as the bone support needs to be strong enough to support the fixture and prevent micromotion from exceeding the threshold above which fibrous encapsulation prevails over osseointegration (Szmukler-Moncler et al. 1998).
An immediate provisional abutment (IPA) (Fig. 4) was fitted to the implant and fastened down to 20 Ncm. The abutment is non-engaging, screw-retained and inserted using a multi-unit abutment driver.
The abutment has a 1.5 mm depth of shoulder and comes with a plastic coating, which can be used with acrylic provisional materials. I find, however, that when using composite materials it is better to discard the coping and cement the composite to the IPA.
A provisional composite crown was pre-manufactured by the laboratory. A small amount of Tetric Flow composite (any flowable composite would also work) was placed in the provisional crown. A sufficient amount was used to engage with the metal of the IPA, but not spill out and touch the tissues. This was then light cured whilst the provisional was supported in the correct position.
The provisional was than removed and placed on another IPA connected to a protection analogue. The voids were then filled with more Tetric Flow.
The margins were then shaped and polished to ensure a smooth shoulder with no ledges or deficiencies against the IPA (Figs. 5, 6). The provisional crown was then cemented to the IPA with a very small amount of Tempbond, ensuring that no cement extruded into the tissues.
Adjusting the provisional crown
It is important at this stage to ensure that the provisional crown is adjusted to ensure that there is no contact with the lower teeth in centric occlusion (Fig. 7) and no contact in any protrusive or excursive movements (for example, not immediate loading).
The patient was advised to try to avoid the provisional crown and not to apply any forces while eating for the first four weeks.
The provisional crown was left in situ for six months (it is recommended that an absolute minimum of three months should be allowed for osseointegration before disturbing the immediately placed implant). The provisional crown was removed and a fixture-head impression taken of the implant.
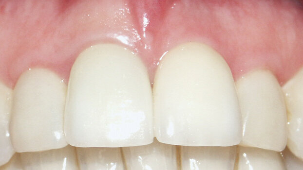
The adjacent post crown (upper right central incisor) was also prepared for a new crown to ensure a good match for both central incisors.
A Procera zirconium abutment was connected to the fixture (Fig. 8). The abutment screw was fastened down at the recommended torque of 35 Ncm. Procera porcelain crowns were fitted to both central incisors (Fig. 9).
The implant-retained crown was cemented with Tempbond. It is recommended that the definitive restorations on implants should be cemented with temporary cement as this allows access to the implant, if necessary.
Immediate implant placement is gaining momentum. Clinicians should be aware, however, that this is a higher-risk procedure and should only be attempted by those surgeons with experience in dental implant surgery particularly when dealing with the esthetic zone.
Editorial note: This article first appeared in Dental Tribune United Kingdom Edition, 7-13 December 2009. A complete list of references is available from the publisher.
Contact
Dr Graham Magee can be contacted at + 44 12 44 340 177.
Anterior tooth loss and restoration in the esthetic zone is a common challenge in dentistry today. The prominent visibility of the area can be especially ...
As has been stated by Dr Harold M. Shavell, “Occlusion and morphology are the common denominators of all dentistry.”1 A single tooth or restoration can ...
A medically and periodontally stable 50-year-old woman presented with failing #8 and #9 teeth that exhibit asymmetry, lack of interdental papilla and a ...
A hallmark of the most successful modern clinicians is the ability to strike a balance between a daily load of 12 to 16 patients and maintaining the same ...
Today’s digital impression technology enables dentists to create a virtual, computer generated replica of the hard and soft tissues in the mouth ...
CASE REPORT: Reduction guide facilitated tooth extractions, bone reduction and guided implant placement with immediate prosthetic loading. In our view, the ...
It was a great honor to be asked to do a live presentation at the Greater New York Dental Meeting. To perform molar endodontics, in a single visit, in front...
ROCHESTER, N.Y., US: In what is thought to be the first study to directly link prenatal stress hormones with primary tooth eruption, researchers in the US ...
CHICAGO, Ill., USA: As the global leaders in advocating the value and quality of endodontics, the American Association of Endodontists (AAE) supports a ...
Scott Bolding, DDS, MS, and Andrew Johnson, DDS, MDS, CDT, FACP, will offer a one-hour webinar on the immediate temporization of the aesthetic zone using ...
Live webinar
Tue. 19 May 2026
11:00 AM EST (New York)
Live webinar
Tue. 19 May 2026
1:00 PM EST (New York)
Prof. Dr. med. dent. Ivo Krejci
Live webinar
Wed. 20 May 2026
7:00 AM EST (New York)
Dr. Graham Carmichael BDSc (Hons), DClinDent (Pros), FRACDS, Dr. Robert Gottlander DDS
Live webinar
Wed. 20 May 2026
9:00 AM EST (New York)
Live webinar
Wed. 20 May 2026
11:00 AM EST (New York)
Live webinar
Wed. 20 May 2026
1:00 PM EST (New York)
Prof. Dr. med. dent. Tim Joda PhD, MSc, eMBA
Live webinar
Thu. 21 May 2026
12:00 PM EST (New York)
Dr. Leonardo Muniz DDS, MSC
To post a reply please login or register