Search Dental Tribune

Dental News

Filter

Pelton & Crane makes product donation to America’s Toothfairy

CHARLOTTE, N.C., USA: Pelton & Crane, member of the KaVo Kerr Group, donated nearly $155,000 worth of product to National Children’s Oral Health ...

save

Past keynote speakers create ‘hall-of-fame’ panel at AADOM 10th annual meeting

NEW YORK, N.Y., USA: Members and guests of the American Association of Dental Office Managers are invited to tap into the latest education on practice ...

save

Students take dental equipment to a community that needs it most

ATLANTA, Ga., USA: According to the World Health Organization, Honduras has only two dentists per 10,000 people; the United States has eight times that ...

save

It’s never what you think it is

As a practicing endodontist over the past 25 five years, you believe you’ve seen whatever can walk in the door case wise. We are taught to look at ...

save

Lots of options at CDA event in San Francisco

SAN FRANCISCO, Calif., USA: CDA Presents continues to expand its educational offerings, evidenced by the San Francisco event’s packed agenda and large...

save

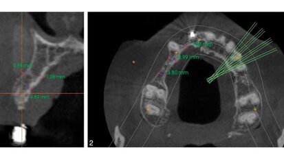
3D imaging: Increasing implant accuracy

Implants are making news on a global scale. According to The Wall Street Journal’s Market Watch, the implant market “is mainly driven by the ...

save
advertisement

Henry Schein to host symposium on digital dentistry

MELVILLE, N.Y., USA: Henry Schein Inc. and Quintessence Publishing Co. will host the 1st International Symposium on Digital Dentistry. The conference, ...

save

CDA unveils educational highlights for San Francisco meeting

SAN FRANCISCO, Calif., USA: CDA Presents The Art and Science of Dentistry, the bi-annual convention of the California Dental Association, is expecting to ...

save

Survey: Tooth fairy is tightening her purse strings

FOSTER CITY, Calif., USA: American children are receiving an average of $3.40 per lost tooth this year, down 8 percent from last year, according to ...

save

AMD LASERS founder buys back company from DENTSPLY

INDIANAPOLIS, Ind., USA: AMD Group LLC and its founder and president, Alan Miller, recently announced the purchase of AMD LASERS from DENTSPLY ...

save

Anatomage celebrates its 10th anniversary

SAN JOSE, Calif., USA: Anatomage is currently celebrating 10 years of bringing innovative technology to the health-care industry. The company’s ...

save

ICOI Summer Symposium opens in Chicago

CHICAGO, Ill., USA: The ICOI Summer Symposium might have just officially begun less than 24 hours ago, but there is no time being wasted at this meeting. ...

save
advertisement

Henry Schein Practice Solutions opens new Utah headquarters

MELVILLE, N.Y., USA: Henry Schein Inc. has announced the grand opening of a new headquarters building for its Practice Solutions business in American Fork, ...

save

Dr. Jane Puskas completes term as Hinman’s first female president

ALTANTA, Ga., USA: One year ago, Dr. Jane Puskas was installed as the Hinman Dental Society’s first female president. This summer, she completes her ...

save

Ultradent holds annual summit

SOUTH JORDAN, Utah, USA: Ultradent Products held its 2014 Ultradent Summit continuing education event Aug. 1–2, at its South Jordan campus. The summit...

save

AAOMS goes to Honolulu

The American Association of Oral and Maxillofacial Surgeons will return to sunny Honolulu at the Hawaiian Convention Center this Sept. 8-13.

save
advertisement

DENTSPLY donates product to America’s Toothfairy

CHARLOTTE, N.C., USA: This year, DENTSPLY International donated over $55,000 in oral care products to National Children’s Oral Health Foundation: ...

save

ADA Foundation accepting applications for Dr. Ray Bowen Student Research Award

CHICAGO, Ill., USA: The ADA Foundation, in cooperation with the Academy of Operative Dentistry, is now accepting applications for the 2015 Dr. Ray Bowen ...

save

Habits that warrant correction prior to age 6

Traditionally in orthodontics, most habits are corrected after 6 years of age when the child starts school. The reason for this philosophy has been that ...

save

Nina Tandon to keynote AAID’s annual educational conference

CHICAGO, Ill., USA: The American Academy of Implant Dentistry has always prided itself on creating the curve in implant dentistry. According to AAID, this ...

save
advertisement

Hu-Friedy creates manufacturing apprentice program

CHICAGO, Ill., USA: Hu-Friedy has developed and launched a two-year apprentice program to allow select employees to master the skills needed to become ...

save

‘Loose Tooth’ mascot highlights need for dental checks

PHILADELPHIA, Pa., USA: Philadelphia Gentle Dental offices and their tooth mascot, Sir Floss A Lot, hit the streets recently to raise awareness about ...

save
advertisement

Carestream Dental to hold Dental Summit

ATLANTA, Ga., USA: Registration is now open for Carestream Dental’s newly revamped Dental Summit. The summit helps doctors and staff elevate their ...

save

National Dental Association honors Kess

NEW ORLEANS, La., USA: Steve W. Kess, vice president of global professional relations at Henry Schein Inc., received the 2014 President’s Corporate ...

save

Journal of the California Dental Association explores TMD philosophies

SACRAMENTO, Calif., USA: In the August issue of the Journal of the California Dental Association, four authors state their differing philosophies on ...

save

Keystone Industries acquires The Harry J. Bosworth Company

CHERRY HILL, N.J., USA: To further its goal of producing the most innovative, high-quality products in the dental industry, Keystone Industries has ...

save
advertisement

Snoring symptoms in a young child

Snoring in a child should be analyzed carefully and is often closely associated with other major heath and behavioral problems. Several important questions ...

save

A comparison of graft techniques for the alveolar ridge prior to oral implant

Success of a dental implant can be affected by the width of the alveolar ridge — an indication of the amount of bone available to hold the implant. A ...

save

OrthoAccel partners with Orthodontext to send patient reminders

NEW YORK, N.Y., USA: OrthoAccel Technologies has announced a partnership with Orthodontext, a service that allows orthodontists to send their patients ...

save

AGD announces 2014-2015 executive committee

CHICAGO, Ill., USA: The Academy of General Dentistry (AGD), a professional association of 38,000 general dentists dedicated to providing quality dental care...

save
advertisement
advertisement