Success of a dental implant can be affected by the width of the alveolar ridge — an indication of the amount of bone available to hold the implant. A variety of methods exist, each with their own advantages, to determine bone loss and subsequent augmentation techniques. The ridge-split graft is highlighted as a strategy for treating horizontally collapsed alveolar ridges.
The Journal of Oral Implantology offers a comparison of two commonly used techniques, the ridge-split and the block bone grafts. The oral surgeon must choose the best technique for bone augmentation based on an assessment of the patient’s condition and the oral surgeon’s own skills and experience.
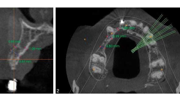
Diagnosis of alveolar bone should first be assessed visually for width and height and the relationships of teeth to one another and to the dental arch. Radiographic images can distinguish two-dimensional versus three-dimensional bone deficiency. A three-dimensional or volumetric bone evaluation with cone-beam computed tomography allows for precise measurement of the ridge and evaluation of both the cortical and medullary portion of the bone, which are imperative for the stability of the implant.
A 10-point comparison of the two graft techniques, ridge-split and block bone, is offered within this article. (Full text of the article, “Classification of the Alveolar Ridge Width: Implant Driven Treatment Considerations for the Horizontally-Deficient Alveolar Ridges,” Journal of Oral Implantology, Vol. 40, Special Issue 1, 2014, is available at www.joionline.org/doi/full/10.1563/AAID-JOI-D-14-00023.) Issues discussed include graft resorption, donor and recipient site morbidity, wound closure, buccal soft tissue flap, immediate or delayed implant insertion, and long-term stability of the graft.
Both methods are used primarily for horizontal alveolar ridge augmentation, or bone widening. Block bone grafting is effective for severe anterior atrophy in the upper and lower jaw. However, morbidity at the donor site and later-term graft resorption can occur with this method.
Some advantages of the split-ridge procedure include the lack of a donor site and that the buccal flap is not compromised but left attached. A post-operative injury while chewing is less likely with the ridge-split method because the graft is positioned more internally, protecting the area.
While the choice of graft technique must ultimately be decided by the experience and comfort level of the operator, the author asserts that the ridge-split treatment has many advantages and produces a stable graft over time.
(Source: Journal of Oral Implantology)
Regeneration of bone tissue could greatly benefit people with jawbone deficiencies due to tooth loss, infection or trauma. While an ideal method of ...
NEW YORK, N.Y., USA: For a successful dental implant, the first step for some patients is reconstructive surgery of the jaw. A bone graft to augment the ...
I invented the Continuous Wave of Obturation Technique (CWOT) in 1986 and used it with the Touch’n Heat (SybronEndo) until the winter season of ...
During the 1960s, when the Begg lightwire and the Tweed edgewise were the mainstream techniques of orthodontic therapy, Dr. Maxwell Fogel and Dr. Jack ...
Zirconia implants have recently been introduced into dental implantology as an alternative to titanium implants. Zirconia is an ideal implant material ...
When Dr. O. Hilt Tatum performed his sinus lift technique in 1975, I wonder if he had any idea of how it would evolve or the controversies that would ...
In today’s new information age, patients want a better quality of life. They want to keep their youthful, brighter-appearing smile more than ever; keep ...
Portland, Maine, USA: University of New England (UNE) envisioned a need for a College of Dental Medicine to serve the northern New England region. To make ...
Dental implants are usually needed when teeth are lost because of gum disease or injury to the soft tissues that support and protect the teeth. These same ...
One of the major goals orthodontists try to achieve with every patient is to obtain ideal angulations and positions of all teeth at the end of active ...
Live webinar
Thu. 14 May 2026
12:00 PM EST (New York)
Live webinar
Thu. 14 May 2026
2:00 PM EST (New York)
Prof. Hani Ounsi DDS PhD FICD
Live webinar
Tue. 19 May 2026
11:00 AM EST (New York)
Live webinar
Tue. 19 May 2026
1:00 PM EST (New York)
Prof. Dr. med. dent. Ivo Krejci
Live webinar
Wed. 20 May 2026
7:00 AM EST (New York)
Dr. Graham Carmichael BDSc (Hons), DClinDent (Pros), FRACDS, Dr. Robert Gottlander DDS
Live webinar
Wed. 20 May 2026
9:00 AM EST (New York)
Live webinar
Wed. 20 May 2026
1:00 PM EST (New York)
Prof. Dr. med. dent. Tim Joda PhD, MSc, eMBA
To post a reply please login or register