As a practicing endodontist over the past 25 five years, you believe you’ve seen whatever can walk in the door case wise. We are taught to look at digital imaging, listen to the patient’s history and symptoms and then offer a qualified diagnosis. We then present that to the patient, and after that patient is informed and consented we begin treatment.
This case is all about the story from the patient, my preconceived notions about treatment and then what happens when it all goes wrong.
Clinical story
This patient was abroad shooting a movie. In the course of working, an occlusal restoration fell out. The patient reported a great deal of pain and sensitivity to thermal stimuli, particularly cold (Fig. 1).
The proximity of the restoration to the mesial pulp horn accounted for the thermal sensitivity. The patient elected not to seek treatment in China, opting to patch the area with Fixodent to cover the “hole.” Upon returning to the States, he sought treatment from his general dentist, who in turn referred him to our practice.
The patient presented with no thermal sensitivity. His chief complaint was that “food kept getting caught in the hole.”
Radiographic impressions
The tooth had a slightly widened periodontal ligament space (pdl), and there was some minor furcation involvement. The decay was within 1-2 mm of the mesial pulp horn. The mesial root had ambiguous anatomy. I was not able to follow the canals to the apex. In addition, it appeared that there might be three canals on the mesial root.
Clinical impressions
This is where I made my first mistake. The patient reported that when the filling first came out, he had a great deal of thermal sensitivity, but now there was absolutely no hot or cold pain, nor was the patient favoring this side in biting or chewing or drinking. In addition, digital imaging showed me a widened pdl along with furcation involvement. I came to the clinical conclusion that the tooth was non-vital. I did not feel it was necessary to pulp test the tooth. My diagnosis was based on patient report and radiographic findings.
Treatment
The patient was consented and agreed to treatment. The patient was anesthetized using the single-tooth anesthetic protocol (Milestone Scientific) (Fig. 2). The rubber dam was placed, and access was made. Once I uncovered the roof of the pulp chamber, I found that the tooth was vital.
The patient was given an intrapulpal injection with Septocaine, and the procedure was initiated. Once I extirpated the pulp, I noticed bleeding emanating from between the mesiobuccal and mesiolingual canals. I placed an 0.02 taper hand file into the opening and was able to negotiate the canal. I “flicked” the file to confirm that it was a canal, and once confirmed I proceeded to clean and shape the canal.
Because I had a good pretreatment image, I measured the canals with a digital apex locator. In addition, the patient had a very severe gag reflex that was exacerbated when we placed a sensor in his mouth to take a digital image. Clinically, it is imperative to have both a digital image and results via apex locators. Due to his gag reflex, I opted to go with only an apex locator reading.
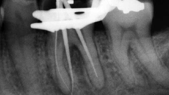
Once I was able to quantify the canal lengths, I shaped all five canals with TF rotary nickel titanium instruments (Sybron Dental Specialties) (Fig. 3). Once I finished shaping, I took a trial cone image and was surprised to see that I perforated a mesial root where I suspected there to be a middle mesial canal (Fig. 4).
Once I saw this, I realized that I’d made a myriad of mistakes in this case.
First, I did not do any clinical pulp testing; instead, I choose to believe my eyes and the patient’s report.
Second, I deferred to my digital apex locator to verify canal lengths instead of taking a digital image to verify all of the canals and to verify that I had indeed found a middle mesial canal. Had I done that, I would have realized that I had a minor perforation and would have easily been able to repair the minimal invasion of the furcation area. Instead I relied on my “file flick” test to confirm that I was in the canal. Ironically, the perforation did not bleed very much at all through my entire sequence of shaping with RNT files.
Third, I now had to explain the sequence of events to the patient and rectify the situation clinically.
Repair
I sealed the four canals with gutta-percha and tubliseal. Then I placed Colla-Cote (Zimmer Dental) into the perforation using the surgical operating microscope. The use of CollaCote in this case was to create a barrier for mineral trioxide aggregate material (MTA) to repair the defect (Figs. 5,6).
Once I had the CollaCote in place, I repaired the defect with the MTA. In addition, I lined the entire pulpal floor with the material.
Results
IRM was used to seal the coronal access. The patient was shown the result and given a copy of the final image. I contacted the referring dentist and informed him of the situation. The patient was asked to return for recall examination in six months.
He failed to appear but did return 14 months later, complaining of food getting stuck on the distal of the tooth. Imaging showed that there was an open margin on the distal of the crown. In addition, imaging showed that the MTA repair had succeeded (Fig. 7).
Conclusions
This case was a great example of what can transpire when things go wrong and procedures and protocols are not followed. I should have pulp tested the tooth to verify the diagnosis. Next, taking a digital image instead of using a digital apex locator to verify my working lengths was indicated, especially when an ectopic situation presented itself.
Once the iatrogenic damage was done, sound clinical protocols were followed to repair the defect, and follow-up over time showed good clinical healing and patient satisfaction.
Note: This article was published in Endo Tribune U.S. Edition, Vol. 9, No. 7, August/September 2014 issue.
Digital dentistry and the digital workflow have become a critical part of our practice. One of the main reasons for this is the ability for us to better ...
“It all comes down to communication.” Those immortal words have been used to describe success or failure in business, on the playing field and ...
As you can imagine, it’s not easy to change. Even though we might really know deep inside that things could be better, for some reason we resist and ...
Let’s be honest: There are times when your laboratory technician simply doesn’t deliver what you envisioned so clearly in your mind. A bit more ...
A dilemma. We now have so many dental groups that we have almost run out of letters of the alphabet. As group after group abbreviates its name, we are at a ...
There are two types of consistency: action and motivation. Consistency in action is just what it sounds like. Do the same thing every time, no matter what ...
Oral probiotics are making some news. As probiotics go, oral probiotics are in a class all of their own. Most probiotics are for the lower part of the human...
As my last two editorials concentrated on research, it would be fitting to present another research matter known as pragmatic research, which is certainly ...
The clock is ticking. In 2025, your website is your front desk, your waiting room and your first impression. If your site is more than four years old — ...
In an interview with Dental Tribune conducted during the recent Yankee Dental Congress, Ben Waldman, a sales manager with DEXIS, discussed the ...
Live webinar
Thu. 23 April 2026
11:00 AM EST (New York)
Live webinar
Thu. 23 April 2026
12:30 PM EST (New York)
Live webinar
Thu. 23 April 2026
1:00 PM EST (New York)
Live webinar
Wed. 29 April 2026
7:00 PM EST (New York)
Dr. Renato Leonardo D.M.D.
Live webinar
Thu. 30 April 2026
1:00 PM EST (New York)
Live webinar
Sun. 3 May 2026
12:00 PM EST (New York)
Dr. Rickard Brånemark MSc, MD, PhD, Dr. Robert Gottlander DDS
Live webinar
Sun. 3 May 2026
8:00 PM EST (New York)
To post a reply please login or register