Search Dental Tribune

Dental News

Filter

Osteogenics holds 2014 Global Bone Grafting Symposium

SCOTTSDALE, Ariz., USA: Osteogenics 2014 Global Bone Grafting Symposium was held April 3–5 at the Hyatt Regency Resort & Spa at Gainey Ranch in ...

save

FUSION 4 does much more than curing

NEW YORK, N.Y., USA: FUSION 4, manufactured by DentLight, upgrades its award-winning curing light predecessor to a new level of ergonomics, functionality ...

save

Interview: ‘It is a time of unprecedented change in our profession’

NEW YORK, N.Y., USA: Robert S. Roda, DDS, MS, was installed as president of the American Association of Endodontists during AAE’s annual session, held...

save

Onset: Making local anesthetic better

NEW YORK, N.Y., USA: It was approximately 11 years ago when Mic Falkel, DDS, founder of Onpharma, first recognized that the performance and inconsistency of...

save

University at Buffalo to study oral health in postmenopausal women

BUFFALO, N.Y., USA: University at Buffalo researchers have received an interdisciplinary bioinformatics grant of $4 million from the National Institute of ...

save

CareCredit reaches new milestone: 100,000 enrolled dental practices

COSTA MESA, Calif., USA: CareCredit is celebrating a milestone — the 100,000th dental practice has enrolled to accept the CareCredit healthcare credit...

save
advertisement

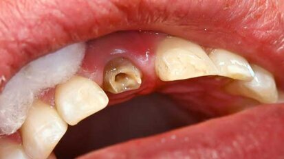
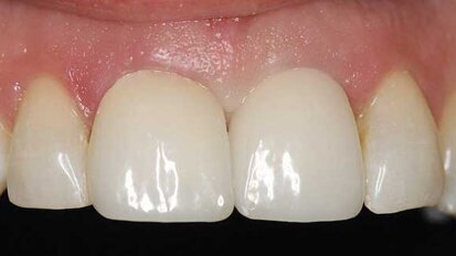
Implant site preservation using a novel post and crown

Implant site preservation is an important component of diagnosis and treatment planning. Through CAD (computer aided design), prosthesis can be designed ...

save

South Carolina dentist is installed as president of AGD

CHICAGO, Ill., USA: W. Carter Brown, DMD, FAGD, of Greenville, S.C., was installed as the president of the Academy of General Dentistry during the ...

save

Showcasing CariVu: A new approach to caries detection

NEW YORK, N.Y., USA: The DEXIS CariVu is creating quite a buzz. The compact, portable caries detection device uses unique, patented transillumination ...

save

Encouraging patients to become social media evangelists for your practice

Let’s face it. Almost every dentist is looking to grow his or her practice, and we’re all looking to bring in as many new patients as we can. ...

save

Henry Schein Dental announces launch of Henry Schein Dental Surgical Solutions

MELVILLE, N.Y., USA: Henry Schein Dental, the global dental business of Henry Schein Inc., has announced the launch of Henry Schein Dental Surgical ...

save

‘Safety first’ crucial for sleep apnea patients, journal says

NEW YORK, N.Y., USA: Despite the dosage recommendations that come with all drug packaging, not all recommendations are safe for everyone. The same is true ...

save
advertisement

Ormco Custom: It’s all about profitability

You might have seen the Ormco Custom debates at the AAO Annual Session. Profitability vs. personalization: That’s the debate. When looking at the ...

save

Implant dentistry’s origins, challenges and discoveries are described in video

CHICAGO, Ill., USA: In celebration of its 30th year, the Academy of Osseointegration (AO) recently released a new video on YouTube in which experts and ...

save

LVI Core I three-day course designed for doctors and their teams to learn together

It is only through excellent education that we individually grow and develop as dental health professionals and, through that, build a practice that is not ...

save

Solea: Forging dread-free dentistry

NEW YORK, N.Y., USA: According to a 2011 Wall Street Journal article, many Americans avoid going to the dentist until absolutely necessary because of fear ...

save
advertisement

National Dental Association to meet July 25-29 in New Orleans

WASHINGTON, D.C., USA: The National Dental Association (NDA) will hold its 101st Annual Convention July 25 to 29 at the Hilton Riverside Hotel in New ...

save

Adding a new service that patients want

There has been a major movement in dentistry to preserve as much tooth structure as possible, and tooth alignment has become the cosmetic treatment of ...

save

Heraeus Kulzer renews its commitment to helping domestic abuse survivors

SOUTH BEND, Ind, USA: Heraeus Kulzer announced recently that its Venus White Brand will extend its role as the official Whitening Challenge Fundraising ...

save

Dr. Leo offers gift of a smile

TUCSON, Ariz., USA: Leo Toureno, DDS, DHSc, known by most as “Dr. Leo,” founded his Smile for a Lifetime chapter to create self-confidence, ...

save
advertisement

A new paradigm in surgical training

In 1985, Dr. Gary Carr introduced microscopes and ultrasonic handpieces to the specialty of endodontics in an effort to improve the quality and outcomes of ...

save

Education, auctions and more at AGD meeting in Detroit

DETROIT, Mich., USA: There is no shortage of things to do here at the AGD Annual Session & Exhibits, be it attending educational programs, networking or...

save
advertisement

Controlling tissue contours with a prosthetically driven approach to implant dentistry

With continual improvements in the design and production of implant systems and restorative components, the consistent results, predictability and long-term...

save

‘The evolution continues’ — AGD meeting gets underway in Detroit

DETROIT, Mich., USA: Dentistry as a profession is always changing, adapting and thriving, and there is no better place to celebrate that nature than here in...

save

Refresh your practice at AGD meeting in Detroit

DETROIT, Mich., USA: There is no better way to see the evolution of dentistry than with leisurely strolls through the exhibit hall, year after year, at the ...

save

New webinar: ‘Your patient database is a cash cow. Trick your staff into milking it’

Any established dental practice has thousands or tens of thousands of patient records. These active and inactive patients are ready and waiting to be ...

save
advertisement

California approves dental director in new state budget

SACRAMENTO, Calif., USA: The California Dental Association is applauding the state legislature’s approval of a new state budget plan that includes ...

save

Guided bone regeneration treats implant lesions

Oral implant surgery is complex and not without complications, one of which is an implant periapical lesion (IPL). If the lesion site becomes infected, it ...

save

ICOI prepares for two big upcoming events

CHICAGO, Ill., USA: This summer and fall will certainly perpetuate the ICOI’s primary mission of dental implant education as the International ...

save

Coalition aims to make care standards easy for patients to understand

OXNARD, Calif., USA: Well-known dentists, hygienists and dental assistants in the U.S. have come together to form a new coalition called Support Clean ...

save
advertisement
advertisement