Search Dental Tribune

Dental News

Filter

3M ESPE makes product donation to America’s Toothfairy

CHARLOTTE, N.C., USA: 3M ESPE Dental, a provider of dental products and supplies, has made a product donation worth over $150,000 to National ...

save

Endodontic irrigants and irrigant delivery systems

Endodontic treatment is a predictable procedure with high success rates. Success depends on a number of factors, including appropriate instrumentation, ...

save

Ultradent partners with Solutionreach to improve patient communication and outreach

SOUTH JORDAN, Utah, USA: Ultradent Products Inc. has partnered with Solutionreach, a cloud-based platform of solutions for improving the success of health ...

save

Enhanced clinical guide helps dentists save natural teeth

CHICAGO, Ill., USA: Patients’ natural teeth can be saved with the help of a new and improved clinical resource, Treatment Options for the Compromised ...

save

Septodont donates product to benefit America’s Toothfairy

CHARLOTTE, N.C., USA: Septodont has donated over $138,000 in sealant and anesthesia reversal products to National Children’s Oral Health Foundation: ...

save

‘Play with grit. Strive to hit. But never spit!’

CHICAGO, Ill., USA: Oral Health America (OHA) recently announced the winner of its 13th Annual NSTEP (National Spit Tobacco Education Program) Slogan ...

save
advertisement

Changing the game in bonding with APC Flash-Free Adhesive

For almost the entire history of orthodontics, the bonding process has been a “given.” It’s a long and variable-filled process, including ...

save

Obstructive sleep apnea courses offered in D.C., Las Vegas

NEW YORK, N.Y., USA: Henry Schein Orthodontics has announced fall 2014 course dates for obstructive sleep apnea (OSA) courses. According to Henry Schein ...

save

At Taub, new generation brings revitalization

NEW YORK, N.Y, USA: George Taub Products & Fusion Co. Inc., a longtime manufacturer of dental consumable products, has announced a major revitalization ...

save

2014 DOCtalk registration now open

ORANGE, Calif., USA: This September, leading clinicians in orthodontics and related fields will gather in Las Vegas for DOCtalk 2014 — a ...

save

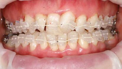
Simple and predictable short-term cosmetic tooth alignment: A case study

Thanks to the latest advances in cosmetic tooth alignment, general dentists are now able to provide simple, straightforward treatment for adult patients ...

save

Study: Custom-made mouthguards out-perform store-bought models

CHICAGO, Ill. USA: When it comes to buying a mouthguard, parents who want to reduce their children’s risk of a sports-related concussion should visit ...

save
advertisement

DENTSPLY Tulsa partners with AAE Foundation to establish Excellence in Research Award

TULSA, Okla., USA: DENTSPLY Tulsa Dental Specialties is partnering with the American Association of Endodontists Foundation to establish the AAE ...

save

Emerging trends, technology and research highlighted at AO meeting

CHICAGO, Ill., USA: Clinicians from Japan and the United Kingdom shared the stage at the Royal Society of Medicine on July 4 for the Academy of ...

save

ADEA offering two meetings in Barcelona

NEW YORK, N.Y., USA: The American Dental Education Association (ADEA) is hosting two meetings for today’s globally minded dental education and ...

save

Popularity of CS OrthoTrac Cloud brings total CS Cloud Users to 2,000

ATLANTA, Ga., USA: Since its launch, Carestream Dental’s CS OrthoTrac Cloud has quickly risen to be its most popular cloud offering. With offices ...

save
advertisement

Control the anatomy; control procedural training

We buy “New Tech” when we perceive that some part of our personal or professional lives could be managed more easily with this new tool. We ...

save

New York officials recognize non-profit for fighting drug abuse

QUEENS, N.Y., USA: Congresswoman Grace Meng, New York City Council Member Paul A. Vallone, Manhattan Borough President Gale A. Brewer, New York State Sen. ...

save

Essential Dental Seminars offers continuing dental education courses

SOUTH HACKENSACK, N.J., USA: Essential Dental Seminars, a division of Essential Dental Systems, has announced the dates for several upcoming course ...

save

IACA conference is July 24-26 in the Bahamas

NEW YORK, N.Y., USA: The International Association of Comprehensive Aesthetics 2014 annual meeting will be at The Atlantis Resort in Paradise Island, ...

save
advertisement

University of New England to hold career exploration camp for high school students

PORTLAND, Maine, USA: Maine’s shortage of dentists, especially in rural areas, is expected to grow over the next 10 years as many dentists retire. To ...

save

Wisdom Tooth Project links up across nation for older adults’ oral health

NEW YORK, N.Y., USA: The Wisdom Tooth Project (WTP) of Oral Health America (OHA) focuses on the importance of oral health for older adults, providing needed...

save
advertisement

Noor Foundation’s dental clinic receives much-needed digital imaging technology

HATFIELD, Pa. USA: DEXIS has donated a DEXIS Platinum intra-oral digital sensor, DEXIS Imaging Suite and related image management software to the Noor ...

save

AGD creates international membership category

CHICAGO, Ill, USA: The Academy of General Dentistry (AGD) House of Delegates (HOD) on June 29 approved two resolutions: one to create an international ...

save

Endodontics made more efficient with the ScanX Swift

Technology has made endodontic treatment faster and more efficient. However, there are still parts of the endodontic protocol that cannot be avoided that ...

save

A no-cost solution to operatory clutter

NEW YORK, N.Y., USA: For many offices, staff members are stocking their operatory drawers with everything and anything needed for all procedures. This makes...

save
advertisement

NYUCD’s Dr. Maureen McAndrew receives ADA Golden Apple Award

NEW YORK, N.Y., USA: Dr. Maureen McAndrew, clinical professor of cariology and comprehensive care and senior director of professional development at New ...

save

Great Lakes Orthodontics named a Top 40 Workplace in Western New York

BUFFALO, N.Y., USA: Great Lakes Orthodontics was recently selected by the Buffalo News as one of the 2014 Top 40 Workplaces in Western New York. Surveys ...

save

The breakthrough science of blocking pain

The International Association for the Study of Pain defines pain as, “an unpleasant sensory and emotional experience associated with actual or ...

save

Webinar: How to leverage your patient database

Any established dental practice has thousands or tens of thousands of patient records. These active and inactive patients are ready and waiting to be ...

save
advertisement
advertisement