Search Dental Tribune

Dental News

Filter

Study measures micro motion at implant-abutment interface

Micromotion at the implant-abutment level has been identified as a major determinant of long-term implant success. Technical problems ranging from screw ...

save

DENTSPLY Tulsa Dental Specialties supports free dental clinic

TULSA, Okla., USA: DENTSPLY Tulsa Dental Specialties sponsored the sixth annual Oklahoma Mission of Mercy dental clinic, which was held Feb. 6 and 7 in ...

save

Mortenson and wife donate $5 million to University of Louisville School of Dentistry

LOUISVILLE, Ky., USA: A firm belief in the value of education is one reason alumnus Wayne Mortenson, DMD, and his wife, Sue, recently committed to a planned...

save

Dr. Daniel Alam will offer keynote at AO’s 2015 annual meeting

NEW YORK, N.Y., USA: In the instant the blood drained from the donor face, Daniel Alam, MD, endured the most humbling moment of his career. The first facial...

save

Planmeca Romexis 4.0: A completely renewed all-in-one software solution

COLOGNE, Germany: Planmeca Romexis from Finnish dental equipment manufacturer Planmeca is the first dental software in the world to combine 2-D and 3-D ...

save

Americans say, ‘I would rather have a root canal than the flu’

CHICAGO, Ill., USA: According to a recent survey by the American Association of Endodontists (AAE), 78 percent of respondents say they would rather avoid ...

save
advertisement

New lineup of speakers expands scope of Carestream Dental’s Orthodontic Summit

ATLANTA, Ga., USA: The new format of the Orthodontic Summit, previously the Orthodontic Users’ Conference, includes an array of expert speakers ...

save

Final comments submitted on proposed standards for dental therapy education

NEW YORK, N.Y., USA: The American Dental Hygienists’ Association (ADHA) recently submitted its comments to the Commission on Dental Accreditation ...

save

Solea CO2 dental laser is four times faster with new cutting spot size

CHICAGO, Ill., USA: At the Convergent Dental booth at the recent Midwinter Meeting, attendees could try out the new extra-coarse cutting 1.25 mm-XC spot ...

save

Dentists who pledge to help underserved get loan repayments, thanks to CDA Foundation

SACRAMENTO, Calif., USA: The California Dental Association Foundation recently awarded Aisha Amin, DMD, with its Student Loan Repayment Grant and selected ...

save

Meeting review: 150th Midwinter Meeting in Chicago

CHICAGO, Ill., USA: “A Midwinter Celebration” was the theme for the Chicago Dental Society’s sesquicentennial Midwinter Meeting, which ...

save

Planmeca launches smaller intraoral scanner tips at Midwinter Meeting

CHICAGO, Ill., USA: Among the products making their debut at the 2015 Midwinter Meeting exhibit hall were new, smaller scanner tips for the Planmeca ...

save
advertisement

Midwinter Meeting is warmed by ‘Celebration of Smiles’

CHICAGO, Ill., USA: Supporters, principals and beneficiaries of National Children’s Oral Health Foundation: America’s ToothFairy (NCOHF) ...

save

AGD to hold ‘Golden Opportunity’ meeting in San Francisco

CHICAGO, Ill., USA: Registration is now open for AGD 2015 San Francisco, to be held June 18 to 21 at Moscone West Convention Center in San Francisco. The ...

save

California Implant Institute to present live patient courses in Mexico

The California Implant Institute is presenting four-day, Level I and Level II comprehensive live patient surgical externship courses in Baja California, ...

save

Webinar: Expert presents first purely ceramic-based restorative material

LEIPZIG, Germany: Restorative treatment has undergone rapid development over the last few years and now boasts high-quality materials with very advanced ...

save
advertisement

Barriers of success: Cosmetic periodontal surgery (Part 4B)

This is a continuation of the fourth article in a series of Dental Tribune clinical articles dealing with cosmetic periodontal surgery. As a follow-up to ...

save

Studies will address role of preventive care in improving children’s oral health

NEW YORK, N.Y., USA: Western Dental, one of the nation’s leaders in accessible, affordable oral health care, recently announced a first-of-its-kind ...

save

Midwinter Meeting offers lectures, hands-on courses and exhibit hall

NEW YORK, N.Y., USA: The numbers confirm it: The Chicago Dental Society Midwinter Meeting attracts dental professionals from far beyond the borders of ...

save

At your fingertips: Every detail about owning a dental practice

NEW YORK, N.Y., USA: Through its partnership with Wiley Publishing — a publisher of academic materials for professionals — Aspen Dental is ...

save
advertisement

Survey shows 75 percent of parents miss bringing children to dentist by age one

POMONA, Calif., USA: A new survey from the Western University of Health Sciences College of Dental Medicine indicates that 75 percent of parents are not ...

save

Meet the Austin Powers impersonator

NEW YORK, N.Y., USA: If you’ve been to any major dental meeting over the past few years, you’ve no doubt run into him in the exhibit hall. No, ...

save
advertisement

Antibiotics not recommended prior to dental treatment for most patients with prosthetic joints

CHICAGO, Ill. USA: An updated ADA clinical practice guideline, last evaluated in 2012, finds that in general, for patients with prosthetic joint implants, ...

save

Henry Schein aims to enhance quality of life of Holocaust survivors

MELVILLE, N.Y., USA: Henry Schein Cares, the global corporate social responsibility program of Henry Schein Inc., and Alpha Omega International Dental ...

save

Seeing teeth everywhere (while trying not to)

I can always tell when I’m in great need of a vacation: I start to dream about teeth. There are more subtle signs that often escape me. The first of ...

save

Shock and sadness follow killings of students in North Carolina

NEW YORK, N.Y., USA: A dental student at the University of North Carolina School of Dentistry was killed along with his wife and his wife’s sister at ...

save
advertisement

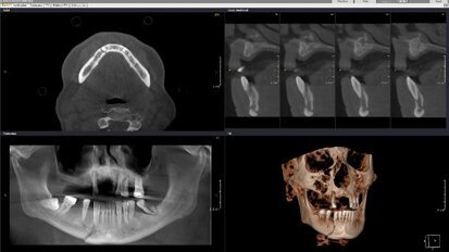
Webinar: Expert gives insights into CBCT-based diagnosis of trauma cases

LEIPZIG, Germany: Cone-beam computed tomography (CBCT) has taken on greater significance over the past few years and has improved the standard of dental ...

save

Webinar introduces new option for dental photography

LEIPZIG, Germany: Dental photography can no longer be considered a luxury. It has become an essential tool for dental documentation, communication with the ...

save

103rd Hinman meeting to feature education, exhibits and entertainment

ATLANTA, Ga., USA: The Thomas P. Hinman Dental Meeting will provide a “Foundation for the Future.” The 103rd Hinman, to be held in Atlanta March...

save

Academy of Osseointegration hosts scientific meeting in India

CHICAGO, Ill., USA: The Academy of Osseointegration (AO) recently hosted its first-ever AO Indian Outreach Meeting (AOIOM), in collaboration with Dr. D. Y. ...

save
advertisement
advertisement