One of the many difficult decisions you will face on a daily basis is how to achieve long-term retention when the patient is out of your control. Reliance has two excellent options (Retainium and Ortho Flex Tech) when a case calls for a lingual retainer that is bonded on every tooth.
These wires provide a proven retention method that is far better than relying on patient compliance with a removable retainer. However, there’s one drawback: hygiene.
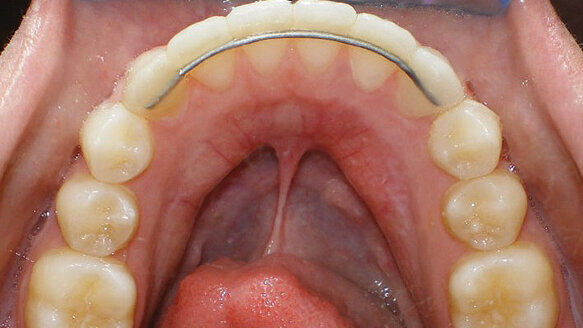
Dentists’ and dental hygienists’ biggest complaint about fixed retainers is neither they — nor the patient — can adequately cleanse around wires bonded to every tooth. They maintain, rightly so, that the wires bonded to every tooth are a catch-point for calculus and debris. The good news is not every case necessitates a retainer to be bonded on every tooth. In fact, a six bonding pad retainer would be overkill in many Class I “minor movement” cases.
Reliance is proud to introduce our newest addition to our lingual retention line: Extend LTR.
We have improved a popular lab-generated retainer wire to allow for chairside wire selection and placement. No lab lead time and no lab costs. The ideal case where Extend will be utilized is in a patient who has little anterior crowding and no facial torqueing.
Extend is fabricated from a nickel-free (.027) TMA wire. A bendable or shapeable super-elastic wire, TMA has some give or flexibility without changing the formed/shaped characteristics. This feature allows Extend a slight amount of flexion without deforming under mastication forces. Ideal for holding cuspid width, Extend is not only flattened at the cuspid segment of the wire but also incorporates 20-degree angulated bonding pads to allow the proper wire-lingual surface adaptation.
For the remaining anteriors, Extend must be adapted to the lingual sides of each tooth. A bird beak plier should be used for slight adaptation bends, while more extensive bends can be achieved with a three-prong plier without work hardening the wire. Available in five sizes: 18, 20, 22, 24 and 26 mm.
The Extend arch measuring device makes chairside size selection accurate and simple. With the numbered-side facing up, seat the contact groove of the measuring device at the midline. The first number to fully clear the distal edge of the lateral will be the number to correspond with the designated wire size.
Chairside steps are as follows: 1) adapt Extend on a study model, 2) prophy the cuspids, 3) sandblast the cuspids, 4) etch the cuspids, 5) apply one coat of Assure and air dry, 6) place a small amount of LCR paste in the middle of the cuspids, place wire and light cure and 7) apply the final coat of LCR to fabricate a custom pad of composite, smooth with a resin-saturated sponge pellet as needed and light cure.
Extend will be available in single size packs of five for $45 or a kit that includes: (12) measuring device, (1) EX18, (2) EX20, (4) EX22, (4) EX24, (1) EX26 at an introductory price of $99.
The SOPRO 717 First is a ‘streamlined’ version of its predecessor, the SOPRO 717 with Sopro Shade Concept. The removal of the Sopro Shade ...
RGP is back leading the way in innovation and design in the dental ergonomic seating sector. Nestled in a quaint New England coastal town in the smallest ...
The American Academy of Implant Dentistry (AAID) named nine dentists from around the world to the coveted status of honored fellow at its recently concluded...
As a manufacturer of different operatory and laboratory resins and products for more than 70 years, and having a specialty in resins specific for All-on-X ...
NEW YORK, N.Y., USA: Conversion from film to digital takes many forms. It’s not just the dental office that is moving from film to digital imaging. ...
WASHINGTON, D.C., USA: The American Dental Association, Children's Dental Health Project and more than 100 stakeholders want federal legislators to know: ...
With the launch of its new XTend ceramic line of turbines and kits last year, ProScore offers dentists the best quality do-it-yourself products for ...
Last year, Microdent Implant System introduced Ektos, its first universal internal connection implant. Recognized worldwide for developing the first bone ...
LAS VEGAS, US/CHARLOTTE, N.C., US/BENSHEIM, Germany: Dentsply Sirona today announced its launch of new products and solutions at Dentsply Sirona (DS) World ...
NEW YORK, N.Y., USA: The anesthetic drug midazolam is in widespread use for brief dental and medical procedures due to its sedative and amnestic properties....
Live webinar
Thu. 14 May 2026
12:00 PM EST (New York)
Live webinar
Thu. 14 May 2026
2:00 PM EST (New York)
Prof. Hani Ounsi DDS PhD FICD
Live webinar
Tue. 19 May 2026
11:00 AM EST (New York)
Live webinar
Tue. 19 May 2026
1:00 PM EST (New York)
Prof. Dr. med. dent. Ivo Krejci
Live webinar
Wed. 20 May 2026
7:00 AM EST (New York)
Dr. Graham Carmichael BDSc (Hons), DClinDent (Pros), FRACDS, Dr. Robert Gottlander DDS
Live webinar
Wed. 20 May 2026
9:00 AM EST (New York)
Live webinar
Wed. 20 May 2026
1:00 PM EST (New York)
Prof. Dr. med. dent. Tim Joda PhD, MSc, eMBA
To post a reply please login or register