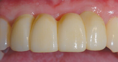
Clinicians are leveraging their investments in chairside digital impression systems to reduce the time and cost of implant therapy. Dental technicians produce custom abutments and crowns directly from digital impressions taken with these systems, eliminating the need for physical models. Dentists and patients alike can benefit from this simple, convenient and affordable restorative process.
From a chairside digital impression, Glidewell Laboratories will digitally design and fabricate a custom abutment or crown in two days or less. Dentists save on the cost of impression materials, shipping to the lab and model work, and they benefit from lower lab prices on restorations. The process for taking the digital implant impression and sending it to the lab is straightforward.
Chairside procedure is as follows:
- Remove the healing abutment and attach an Inclusive Scanning Abutment (available through Glidewell Direct) to the implant. For Bellatek Encode Impression System (Biomet 3i; Warsaw, Ind.) digital impressions, it is not necessary to remove the healing abutment.
- Take buccal, lingual and occlusal scans of the implant site.
- Scan the opposing dentition.
- Remove the scanning abutment and scan the bite.
- Electronically submit the digital implant impression to the lab.
For system-specific information on how to send digital implant impressions to Glidewell Laboratories, intraoral workflow guides are available by visiting the “Digital Impression Systems” page under Dentist, then Services, at www.glidewelldental.com.
Note: This article was published in Dental Tribune U.S. Edition, Vol. 8 No. 8, August 2013 issue.
This case demonstrates the optical scanning of Inclusive Scanning Abutments (Glidewell Laboratories; Newport Beach, Calif.) utilizing the iTero digital ...
According to the American Association of Oral and Maxillofacial Surgeons, 69 percent of adults ages 35 to 44 have lost at least one permanent tooth to an ...
Nobel Biocare recently announced the expansion of its popular Snappy abutment product portfolio with the addition of taller options. Starting immediately, ...
“The trend in dentistry today is clearly toward more esthetic and less invasive. Indirect resin and ceramic inlays and onlays are not only compatible ...
CHICAGO, IL, USA: The aloe vera plant has a long history of healing power. Its ability to heal burns and cuts and soothe pain has been documented as far ...
Before a practitioner performs surgery, he/she should be equipped with up-to-date knowledge regarding the possible conditions located under soft tissue ...
NEW YORK, NY and CARLSBAD, CA, USA: Zimmer Dental, a provider of dental oral rehabilitation products and a subsidiary of Zimmer Holdings, recently announced...
Technology is one of the biggest investments that a dental practice will make, and intraoral sensors are among one of the first tools dentists invest in ...
NEW YORK and ROCHESTER, NY, USA: Some companies are always looking for new ways to improve their products. Among them are KODAK and Carestream Health, which...
A smile that is perceived as unattractive mars confidence, sociability and self-regard. For some patients, the lack of visual appeal stems in large part ...
Live webinar
Thu. 23 April 2026
11:00 AM EST (New York)
Live webinar
Thu. 23 April 2026
12:30 PM EST (New York)
Live webinar
Thu. 23 April 2026
1:00 PM EST (New York)
Live webinar
Wed. 29 April 2026
7:00 PM EST (New York)
Dr. Renato Leonardo D.M.D.
Live webinar
Thu. 30 April 2026
1:00 PM EST (New York)
Live webinar
Sun. 3 May 2026
12:00 PM EST (New York)
Dr. Rickard Brånemark MSc, MD, PhD, Dr. Robert Gottlander DDS
Live webinar
Sun. 3 May 2026
8:00 PM EST (New York)
To post a reply please login or register