Search Dental Tribune

Dental News

Do your homework on amalgam separators

If you haven’t been paying attention, the United States Environmental Protection Agency (EPA) is in the process of preparing a federal rule to ...

save

Tooth movement: Is it health science or unhealthy cosmetics?

Moving teeth with braces has long been considered a permanent cure to crowded teeth. However, we now know this traditional approach is neither permanent nor...

save

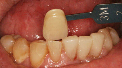
Three-unit, full-contour ceramic bridge in one sitting

In the following case, the CEREC 3D system (software version 3.65) and its one-appointment capabilities played an essential part in the treatment. The ...

save

New clinic will serve needs of developmentally disabled patients

RANCHO MIRAGE, CA, USA: Desert Friends of the Developmentally Disabled will open a dental clinic in mid-July that will provide free dental services to ...

save

Intellifit TE Digital Restoration System

Tue. 28. June 2011

Sensable Dental, a division of Sensable, announced the newest version of its Intellifit™ TE (Touch-Enabled) Digital Restoration System that offers dental labs even more choice, performance and ...

save
advertisement

Scientists use teeth to measure temp of dino blood

NEW YORK, USA: New findings using dinosaur teeth could help to explain how the reptiles were able to regulate their body temperature, researchers from the ...

save

Back to school for dental hygiene?

The bachelor’s of science in dental hygiene degree is becoming more difficult to obtain due to the closing of many traditional four-year programs. ...

save

AMD LASERS aims to lead the world in affordable laser technology

When I launched the Picasso soft-tissue laser, it was like a sonic boom. A small fighter jet is just a dot in the sky, but at supersonic speeds, it produces...

save

Take a cosmetic practice to the next level with facial injectables

Minimally invasive cosmetic facial procedures are quickly becoming the most exciting and controversial topic in cosmetic dentistry. In my mind, there is no ...

save

4th Annual DTSC Symposia to be held at Greater N.Y. Dental Meeting

NEW YORK, NY, USA: The third annual Dental Tribune Study Club (DTSC) Symposia at GNYDM 2010 was a great success, attracting over 2,000 registrants. As the ...

save
advertisement

PerkinElmer buys X-ray detector maker Dexela

NEW YORK, USA/LONDON, UK: Health-technology conglomerate PerkinElmer has finalised its acquisition of Dexela, a UK-based start-up specialising in ...

save

Whose choice is it anyway?

Let’s imagine you went to your doctor for an annual checkup. Nothing was wrong, you just needed to have a once over. While the doctor was checking you...

save

New research could lead to major advances in regenerative dentistry

NEW YORK, NY, USA: Behind the therapeutic promise of the stem cells found in teeth is the work of scientists such as Paul Sharpe, Ph.D., a pioneer in ...

save

Butterfly Discs

Wed. 22. June 2011

New Technology Diamond Cutting, Carving & Contouring Discs for Veneering Materials Dental Ventures of America, Inc. has introduced a new, non-metallic, very flexible diamond disc for cutting, ...

save
advertisement

CareCredit presents its fifth donation to Give Kids A Smile Fund

CHICAGO, IL, USA: CareCredit, the nation’s leading patient payment program, continued its support as founding donor of the American Dental Association...

save

Foreign bodies discovered during routine dental treatment

While numerous medical reports and studies describe foreign bodies embedded in the soft tissue of the oral cavity either by traumatic injury or caused ...

save

PerkinElmer buys X-ray detector maker Dexela

NEW YORK, USA: Health-technology conglomerate PerkinElmer is expanding its current medical imaging portfolio to dental CT with the acquisition of Dexela, a ...

save

New portable chair could aid dental treatment

NEW YORK, NY, USA/LEIPZIG, Germany: Design and Engineering students from Purdue University in West Lafayette in the US have developed a new kind of portable...

save
advertisement

What if the Internet goes down?

Web-based dental software delivers a host of advantages over traditional client-server software. Dental practices that utilize the cloud to manage their ...

save

BIOMET 3i, Cadent announce joint effort to simplify esthetic restorations

Two leaders in the dental marketplace, BIOMET 3i and Cadent, have announced a collaboration to offer digital intraoral impressions through BIOMET 3i’s...

save
advertisement

Safety-first implant therapy

Cone-beam computerized tomography (CBCT) systems number among the most advanced imaging devices that are currently available on the market. The insight into...

save

Hygienist Linda Maciel is honored with ‘Pros in the Profession’ award

NEW YORK, NY, USA: Crest Oral-B recently announced its recognition of RDH Linda Maciel of Hudson, N.H., as the recipient of the fourth Pros in the ...

save

87th GNYDM to present SomnoMed and Invisalign expositions

NEW YORK, NY, USA: Prepare yourself for the largest, most comprehensive dental meeting in the United States. In just six powerful days, you’ll access ...

save

Dental hygiene practice: Is there a new model?

You’ve been learning about all the new products and risk assessment tools in lectures, articles in magazines and on the Internet. Saliva tests have ...

save
advertisement

Alternative treatment options with nanohybrid composites

In the past few years, the economic condition of many of our patients has changed, thus limiting their options when making dental treatment choices. In ...

save

Pacific Northwest Dental Conference to be held June 16-17

SEATTLE, WA, USA: The 2011 Pacific Northwest Dental Conference (PNDC) will be held June 16 and 17 (Thursday and Friday) at the Washington State Convention ...

save

Digital X-ray system: do the math

Money isn’t everything … but in these days of belt tightening and careful budgeting, people are curbing the urge to splurge at both home and ...

save

Penn receives US$7.5 million to support Korean Studies Program

PHILADELPHIA, PA, USA: University of Pennsylvania (Penn) President Amy Gutmann announced a US$7.5 million gift from alumni in support of Penn’s Korean...

save
advertisement
advertisement