In the following case, the CEREC 3D system (software version 3.65) and its one-appointment capabilities played an essential part in the treatment. The patient suffered from facial myalgia and could not handle a repeat visit for a second try in/insert, owing to the potential stress it would cause. She had previously experienced involuntary facial episodes — the drill had been bitten on — causing more trauma.
The patient had broken tooth #31 at the gumline. The rest of the tooth had been removed some time ago, leaving a gap. All treatment options were explained to her.
We offered her a same-day ceramic bridge and informed her that this would be entirely experimental, even though I have made many of these types of full-contour bridges.
Dr Carl Boyko, Welcome Smile Dental (Calgary, Canada), and I created the bridge.
embedImagecenter("Imagecenter_1_337",337, "large");
First, Boyko measured the span of the area that needed to be bridged. Once measured, we discovered that the area could support an I-14 TriLuxe Forte (VITA), which would be used to manufacture the bridge.
Boyko then prepared the teeth #41 and #32 abutments. Next, he created a temporary bridge that would be used by the CEREC system as a temporary reference.
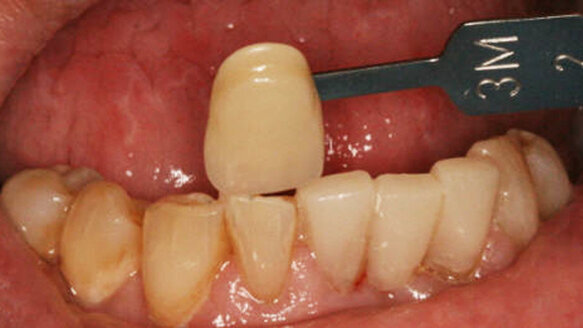
Simultaneously, we measured the shade of the surrounding teeth (Fig. 1). The patient did not wish for her lower teeth to be straightened and, therefore, our goal was to restore her original smile. She felt that this would be a more natural result and did not wish the esthetics to be obvious when she smiled.
Once the temporary bridge had been put in place, the temporaries were coated with titanium-dioxide powder. This creates a reflective surface that allows the CEREC 3D Bluecam to capture the optical impressions of the preoperative (occlusion) images.
Once the temporary reference images had been captured, the temporary was removed and titanium dioxide was sprayed onto the abutments once again. We then used the CEREC Bluecam to capture the abutments (Fig. 2).
The bridge we wanted to copy virtually overlapped the prepared model. The gold color model underneath was the original prepared image and the gray image on top was the correlation model.
It was evident that the model matched from the speckled look to the grey model, as it perfectly overlaps the prepared model. We need this kind of speckled look to occur because there is a 20-degree pitch and roll, yee and yaw of the camera in order to match up the images.
Although the CEREC software merges the images, this does not mean that the images will correlate 100 percent.
The correlation may thus be reduced even though we have a virtual model (Fig. 3).
When using the correlation design technique, one can draw the margin starting with any one of the abutments. Simply start to draw the margin close to the interproximal. As one draws around the preparation, do not close the loop on the preparation on which you started.
Continue to draw the margin out onto the tissue, thus creating a second margin on the imaginary pontic area. Continue on to the next abutment, draw around the next abutment, then continue back onto the tissue to continue the lingual margin of the pontic.
Finally, join the rest of the margin to the original abutment to close the loop. Once the loop has been completed, one can carry on to the next window.
In this way, we fool the CEREC software into thinking this pontic loop is one crown (Fig. 4).
Figure 5 shows our completed bridge that was milled using the VITA Forte block, which is not a plain monochromatic block. The final result will have a natural gradient built into it when completed, as it has four color steps to it (Fig. 5).
In order to achieve the proper shading for our ceramic, I used Quick Match (Hankins Laboratories), which can be used to mimic the stump shade value of the abutments (Fig. 6).
Next, I used the Ivoclar Stump Shade Guide to match the shade tab to the appropriate color on the Quick Match syringe. I injected the fireable stump shade material into the bridge abutments.
Once the Quick Match had been injected, I started applying the glaze. The glaze turned the ceramic into a window showing us the internal core value. This makes staining the ceramics an easy process once firing is completed. The process can be repeated should more stain be required (Fig. 7).
I personally find that using the Quick Match product not only creates the right stump shade value but is also great to use when firing small abutments that will not fit a peg (Fig. 8).
The final result is a bridge that is virtually indistinguishable from the original. This was all completed in a two-hour visit, and the patient was very pleased with the final result.
In this particular scenario, I was not worried about the bridge failing because of the size of the connecters. I know that using a feldspathic ceramic is not the No. 1 choice; however, the amount of load on the anteriors will not be such that the bridge will fail (Fig. 9).
About the author
Chris Leinweber is the owner of Kensington Dental Ceramics, located in Calgary. He is a registered dental technologist, a certified dental technician and an ISCD-certified CEREC trainer.
Editorial note: This article was originally published in Lab Tribune Vol. 2 No. 4, April 2011.
What may appear somewhat paradoxical at first turns out to be rather logical when viewed more closely. In order to enable the practitioner to perform sub- ...
Full-arch implant-supported reconstruction continues to provide viable solutions to restore and improve function, enhance aesthetics and change quality of ...
BOSTON, US: In the US, dental care remains largely excluded from medical insurance and separated from public health initiatives that promote prevention. A ...
“Wow, I can’t believe how cone beam 3-D imaging has changed the way we practice.” That’s a strong statement coming from a ...
DOYLESTOWN, Pa., USA One out of three Americans admits to being nervous about seeing the dentist and nearly half consider dental visits a “necessary ...
LAS VEGAS, NV, USA: “Permanent” and “stable” are words that bring peace of mind to many on a variety of topics. Now, Doxa Dental ...
Three providers. Three paths. Three different destinations each is searching for. Ten years ago, an orthodontist looking to expand their patient base, a DSO...
SILVER SPRING, Md., USA: Bioceramics in implantology are no longer limited to prostheses. Following in the footsteps of orthopedics, dental ...
CHICAGO, Ill., USA: A recent survey of 2,088 U.S. adults conducted online on behalf of Oral Health America (OHA) by Harris Poll shows that two Americas are ...
Dr. Josh Todd is a dual board-certified general dentist and endodontist in Pensacola, Fla. Dental Tribune US sat down with him to get his thoughts on the ...
Live webinar
Thu. 14 May 2026
12:00 PM EST (New York)
Live webinar
Thu. 14 May 2026
2:00 PM EST (New York)
Prof. Hani Ounsi DDS PhD FICD
Live webinar
Tue. 19 May 2026
11:00 AM EST (New York)
Live webinar
Tue. 19 May 2026
1:00 PM EST (New York)
Prof. Dr. med. dent. Ivo Krejci
Live webinar
Wed. 20 May 2026
7:00 AM EST (New York)
Dr. Graham Carmichael BDSc (Hons), DClinDent (Pros), FRACDS, Dr. Robert Gottlander DDS
Live webinar
Wed. 20 May 2026
9:00 AM EST (New York)
Live webinar
Wed. 20 May 2026
1:00 PM EST (New York)
Prof. Dr. med. dent. Tim Joda PhD, MSc, eMBA
To post a reply please login or register