The minimally invasive (MI) concept was initially introduced in physical medicine and adopted into dental medicine in the early 1970s with the application of diamine silver fluoride to teeth.1 This was followed by the development of preventive resin restorations (sealants) in the 1980s2 and the atraumatic restorative treatment (ART) approach3 with Carisolv (MediTeam) in the 1990s.4 Since its inception, the focus of MI dentistry has been caries detection and treatment.5
It has not yet been comprehensively adopted in other fields of dental medicine; however, the comprehensive concept of minimally invasive cosmetic dentistry (MICD) and its treatment protocol were introduced in 2009 with the basic aim of a clinician effecting optimum clinical therapeutic improvements in smile enhancement, while performing corrective procedures that require as little clinical intervention as possible.6 Additional guidelines for MICD treatment are:
_the adoption of the “Do No Harm” philosophy to maximise possible preservation of healthy oral tissues;
_the proper selection of appropriate dental materials;
_the use of supportive procedure methodologies that offer clinicians an “evidence-based” treatment approach that will reliably improve treatment outcomes.
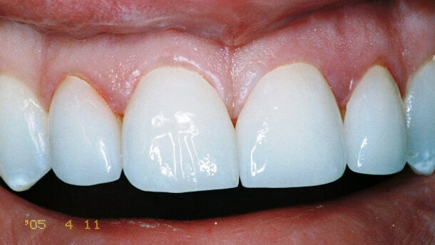
With respect to smile design, the intervention level of a selected MICD treatment will depend on the types of smile defects present, combined with the subjective perception of the patient’s own pre-treatment smile condition (Figs. 1a & b). Some of the more common smile defects are:
_presence of diastemas;
_discoloured teeth;
_worn and flattened incisal edge contours;
_missing teeth;
_rotated and misaligned teeth;
_teeth internally stained by fluoride or through childhood disease;
_gingival absence, leading to visible “black triangles”;
_uneven crestal gingival heights;
_maxillary and/or gingival excesses resulting from altered passive eruption;
_malocclusion according to Angle’s classification; and
_reverse smile curve.
Contemporary aesthetic dentistry can correct most of these defects utilising a simple, comprehensive, MI approach that places equal emphasis on patient psychology, health, function and aesthetics. Each of these aspects of treatment consideration can be best analysed using the decision-making system of the Smile Design Wheel, which includes each individual aspect as a continuum (Fig. 2).6
embedImagecenter("Imagecenter_1_341",341, "large");
Smile design with all-ceramic, partial coverage restorations
All-ceramic, partial coverage adhesive restoration (porcelain veneers, inlays and onlays) is considered one of the MI treatment options in MICD treatment as opposed to placing complete coverage restorations (full crowns) that require significantly more tooth preparation. In certain situations, no-preparation veneers may be placed but only if the final aesthetics will not be compromised by the added thickness of the labio-lingual restorative material that a no-preparation veneer creates.
Adhesive restorations conserve tooth structure because less tooth preparation is required for mechanical retention of the restoration when porcelain-enamel adhesion is employed (Fig. 3). Less mechanical retention preparation is required to stabilise a bonded porcelain restoration in comparison with a non-bonded restoration. The chemical adhesion between etched porcelain and etched enamel provides increased retention. Less tooth preparation can minimise untoward pulpal responses that frequently result when a vital tooth is prepared for full coverage.
Another significant patient benefit of employing adhesive restorations is that treatment time is usually shortened to only two visits:
_first visit: partial coverage preparation, provisionalisation that incorporates the desired smile design improvements, and one inter-occlusal registration;
_second visit: porcelain try-in, enamel adhesion, occlusal adjustments and case finishing.
During the second visit, the clinician cannot perform any insertion occlusal adjustments prior to bonding these very brittle restorations in place, as they cannot safely withstand any occlusal alterations without introducing the possibility of restoration fracture.
Shortened treatment times can introduce occlusal errors
However beneficial these short treatment times may be for the patient, they may have two potentially problematic post-insertion results:
_patient discomfort owing to difficult occlusion initially post-insertion;
_potentially shortened restoration lifespan.
These sequelae result from the lack of repeated inter-occlusal remounts, which conventional prosthodontic cases commonly undergo. Remounting at metal try-in, porcelain bisque try-in and possibly once more prior to prosthesis installation greatly improves the accuracy of the true maxillo-mandibular, inter-arch spatial relationships (Fig. 4). This reduces the number of occlusal adjustments required at insertion, thereby preserving restorative material thickness and restoration strength.
Adhesive restorations are almost incapable of being reliably remounted. Because of the minimal preparation configuration of partial coverage, non-bonded, all-ceramic restorations, they are unstable on their supporting teeth. Mousses, waxes, silicone putty, injected impression materials and impression tray seating can all easily dislodge the non-bonded restorations from their supporting teeth when taking inter-occlusal records. The movement of non-bonded restorations can also occur during a “pick-up” or transfer impression. The instability of non-bonded restorations complicates all aspects of any remounting procedure greatly.
Without the series of laboratory remounts that a cemented prosthesis often undergoes, the all-ceramic restoration is susceptible to significant spatial misalignment and excessive occlusal force that can go undetected clinically until after the insertion has been started. This lack of proper detection of the location of problematic force is worsened by the fact that articulating paper markings do not measure the occlusal forces or the occlusal contact timing sequence in any quantifiable way, regardless of the false and often-advocated paper marking beliefs (Fig. 5).7–16
Poor maxillo-mandibular spatial relationships and occlusal force detection can be reliably overcome when an MI clinician employs computer-guided occlusal analysis technology at restoration insertion (T-Scan III, Tekscan; Figs. 6a & b). When properly used after the completion of bonding procedures, this digital occlusal technology helps to locate regions of excessive occlusal force accurately within the occlusal surfaces and incisal edges of the newly placed restorations. The clinical reduction of these excessive forces leads to easier post-insertion acceptance of the new occlusion and increases the restoration’s lifespan.
Computer-guided occlusal analysis system
The T-Scan III Computerized Occlusal Analysis System offers precision technology that analyses occlusal contact force and time sequences in 0.003-second increments and graphically displays them in movie form.17,18 The system simplifies occlusal adjustments at aesthetic prosthesis insertion, as it quickly isolates excessive force concentrations and time-premature contacts, so their eradication is predictable and effective (Fig. 7). The preservation and longevity of ceramic restorations are enhanced, as any potentially destructive occlusal forces are isolated at delivery, and then removed prior to the patient’s long-term use of the new smile design prosthesis.
The occlusal force and time-sequence data are relayed to a PC through a high-definition recording sensor that measures contact-varying relative force sequentially as differing tooth contacts interact at the occlusal surfaces (Figs. 8a & b). During a turbo-mode recording, the sensor is scanned 3,000 times per second, resulting in a dynamic movie of changing occlusal forces that can be incrementally viewed in a slow-motion playback.
This dynamic playback separates all the force variances into their contact order, while simultaneously grading their relative occlusal force, so that a clinician can observe them for diagnosis and possible treatment. In two or three dimensions, the contact timing sequence can be played forwards or backwards continuously or in 0.003-second increments, to reveal an occlusal “movie” that describes the occlusal condition.19 In the 3-D playback view, the force columns change both their height and colour designation. In the 2-D contour view, the colour-coded force concentration zones alter size, shape and colour as the occlusal forces change (Fig. 7). Warmer colours indicate forceful contacts, while darker colours indicate lower force contacts (Fig. 9).
Limitations of articulating paper markings
Clinicians routinely employ articulating paper to visualise the presence of occlusal contacts, their force and their time simultaneity. They determine whether contacts are forceful by subjective judgement of the paper markings for their supposed force content.
In dental medicine, it is strongly advocated and strongly believed by many clinicians that the characteristics of the paper markings indicate occlusal forces.10,12–16 The appearance characteristics of the paper markings are based upon:
a) the size of the mark: large marks supposedly indicate higher forces; small, light markings indicate lesser forces;
b) the relative colour depth and intensity of the ink mark: the darker the mark and/or its colour intensity, the higher the force content; the lighter the mark, the less force content present;
c) the presence of doughnut and halo shape(s): these shapes indicate that the contact is forceful because these contacts do not have ink in the middle (Fig. 10).
Despite the persistence of the “clinical beliefs” listed above, there is no published scientific evidence that supports that these appearance characteristics actually indicate the relative force of occlusal contact.7–11 Studies on articulating paper markings demonstrate consistently that occlusal forces cannot be reliably determined based upon their size or colour. Additionally, paper markings have never been shown in any study to be able to describe contact-timing sequences.7–11
Figure 11a clearly illustrates the limitations of the articulating paper in describing force and that the clinical belief that the appearance of paper markings can indicate forceful contacts is flawed. Three large marks are present on tooth #16 and small scratchy marks on the mesial of tooth #17. Note the lightly exposed dentine on tooth #17, where the scratchy red marks are located. Visual inspection of the dark marks on tooth #16 is believed to indicate that high force contacts are present there. The clinician has been indoctrinated to believe that this is the case. Figure 11b shows the counter-arch paper marks with large black marks on tooth #46 and lighter marks on tooth #47.
The T-Scan data shows that the small contacts present on the mesial aspect of tooth #17 are actually a region of extreme occlusal force and the neighbouring three large dark marks on tooth #3 are actually three regions of very low occlusal force (Fig. 12). Notice that tooth #17 makes up 48 % of the patient’s right arch, half of the total occlusal forces. This explains why there is visible exposed dentine. Years of unseen occlusal overload on this tooth (and the opposing tooth #47) have worn the enamel, whereas tooth #16 with its very big, dark marks has intact enamel.
Compared with the results of the T-Scan III, it becomes clear that the characteristics of paper markings do not in any way describe the occlusal forces. Computer-guided occlusal analysis illustrates the true nature of the occlusal contact force patterns. This offers clinical insight about the degree of occlusal force demonstrated by articulating paper markings.
Lastly, had the advocated “beliefs” about the characteristics of paper markings been used as a guide for the clinician who, in this case, was attempting to make decisions regarding occlusal adjustment to control force, the clinician would have clearly chosen the wrong teeth to adjust, despite seeking to diminish the occlusal overload. This example illustrates that clinicians’ eyes and the articulating paper markings do not illustrate occlusal forces reliably. Computer-guided occlusal analysis clarifies which articulating paper markings should be treated so that the operator makes appropriate treatment decisions as to which tooth contacts truly require force lessening.
Therefore, T-Scan III technology represents the essence of MI dentistry with respect to dental occlusion. A clinician treats only what needs to be treated and should not perform random occlusal adjustments judged with the naked eye according to paper markings. This method of judging force is so prone to error that it will always have more invasive results than when properly performed computer-guided occlusal adjustment is employed.
embedImagecenter("Imagecenter_1_341",341, "large");
Computer-guided occlusal analysis for a case of six anterior veneers
Improved force and timing of all tooth contacts, both static and functional, can be precisely adjusted when corrections to the paper labelling are guided by computer analysis. The following case illustrates the utilisation of computer-guided occlusal analysis to refine the protrusive movement on six anterior veneers.
A 21-year-old female patient presented for replacement of six anterior veneers owing to visible material fractures (Fig. 13). The old veneers were removed, the teeth were slightly re-prepared, and six new Empress II veneers (Ivoclar Vivadent) were placed (Fig. 14).
After the veneers had been cured and the excess bonding material trimmed, gross occlusal adjustments were performed to return the patient to the pre-treatment vertical dimension of occlusion. Although the lingual veneer margins were incisal to the original vertical stops on the anterior teeth, some excess bonding cement required removal to maintain the vertical dimension.
Next, protrusion and laterotrusive excursions were analysed with the T-Scan III system to determine whether extreme forces were present at the incisal edges or on the lingual functional inclines of the veneers. The maxillary anterior lingual surfaces provide tooth-borne ramps for the lower anterior teeth to glide over during mandibular excursions. Controlling any extreme forces on the lingual veneer ramps will aid in ceramic material longevity.
Dynamic excursive functions are recorded by instructing the patient to occlude through the T-Scan III sensor into his/her maximum inter-cuspal position (MIP), holding the teeth together for one to two seconds, then commencing an excursive movement across the guiding teeth.20–22 Right–left and protrusive excursions can be recorded for force analysis. Only the protrusive excursion will be discussed here. Figure 15a illustrates the first articulating paper labelling of the protrusive movement made as the mandibular incisors leave the MIP and travel towards the incisal edge. Note that there is a dark long protrusive track line on the distal-incisal aspect of tooth #12, a shorter line on the distal of tooth #11 and a horizontal line on the incisal edge of tooth #11. Despite the appearance of these ink representations, the paper labelling offers no indication as to whether any high force region even exists.
Figures 15b and c describe the movement as recorded by the T-Scan III. As the excursion progresses after the patient leaves the MIP position (Fig. 15b) and transitions onto the anterior teeth, tooth #11 becomes very forceful near the incisal edge (tall pink force column) as the protrusive movement advances to include only the incisors (Fig. 15c). If left untreated, possible fracture of the distal incisal edge of this veneer could result from the extreme force applied each time the mandible protrudes.
To correct this excessive protrusive force, adjustments guided by the recorded force data were employed. The disto-incisal paper track line was occlusally adjusted with a medium coarse diamond bur with water spray. Following this first adjustment sequence, a new recording was made to ascertain new force and time changes resultant from the previous adjustment. These new force and time aberrations were isolated, labelled and adjusted. This was repeated until no extreme occlusal forces were present throughout the duration of the protrusive excursion and moderate to low forces were shared between the guiding inclines and incisal edges.
Figures 16 and 17a show the mid-treatment and final articulating paper markings of protrusive movement. Note that in Figures 15a, 16 and 17a, the paper markings offer no quantifiable force or time information to guide corrective adjustments. Figures 17b to d illustrate that in the corrected final protrusive movement there are shared force transitions between teeth #11 and 21 all through the movement. The computer-guided result has protrusive contacts that never reach the potentially damaging force levels seen preoperatively (Fig. 15b).
This case illustrates the use of computer-guided occlusal analysis with adhesive restorations to minimise excessive occlusal forces that result from the all-ceramic restoration placement, where the bonding process must precede all occlusal adjustments. This reversal of the conventional placement process (absent of inter-occlusal remounts) can introduce significant occlusal errors that are poorly discerned with articulating paper. Computer-guided occlusal analysis affords the operator precision, occlusal force isolation and predictable control of restorative occlusal error, which aids in prolonging the longevity of the all-ceramic restorations.
Conclusion
For MICD, computer-guided occlusal analysis systems offer data on quantifiable pressure, force and contact time sequence that can be employed to guide the occlusal adjustment of the restoration to precise measurable endpoints.2,3 These endpoints establish uniform force distribution, bilateral simultaneity and measurable immediate disclusion, and minimise the damaging effect of concentrated, excessive, isolated occlusal force. Avoiding potentially destructive intra-oral use, the overall prosthetic occlusal scheme preserves the ceramic materials utilised in the procedure, ensuring long-term survival.
Lastly, occlusal adjustments that are guided by T-Scan III technology represent the essence of MICD because a clinician treats only what needs to be treated and does not perform random subjective occlusal adjustment based on mere judgement of paper markings with the naked eye. Measured occlusal force and timing data direct the MI clinician to adjust only the locations of excessive force, while leaving the areas of measured low occlusal force untouched. Cosmetic restorations and tooth structure are therefore preserved and overtreatment is minimised. The clinical implementation of this technology mirrors the core message of the “Do No Harm” philosophy.
About the author
Dr. Robert Kerstein works in private practice in Boston, Massachusetts. He was Assistant Clinical Professor at the Department of Restorative Dentistry, Tufts University School of Dental Medicine from 1983 to 1998.
Editorial note: This article was originally published in cosmetic dentistry Vol. 5 No. 2, 2011. A complete list of references is available from the publisher.
All known published research on articulating paper consistently shows that articulating paper marks do not predictably measure the force or time-sequence of...
As dental professionals, we have all had that gut-wrenching moment when a cancer patient walks through our door mid-treatment. Their mouths are full of ...
DALLAS, US: An increased burden of cerebrovascular disease could be connected to a genetic predisposition for poor oral health, according to a new study ...
NEW YORK, N.Y., USA: The added precision of computer guidance to oral implant surgery provides another leap forward in restorative dentistry, according to ...
PHILADELPHIA, Pa., USA: A two-day “Take a Loved One to the Doctor Health Festival” is planned for Oct. 19 and 20 in Philadelphia. The festival ...
Dr Elizabeth Himel’s path in dentistry is shaped by heritage and guided by a strong sense of purpose. From taking over her father’s private practice to ...
CHICAGO, IL, USA: Cardiovascular disease (CVD), the leading killer in the United States, is a major public health issue contributing to 2,400 deaths each ...
In Parts 1 and 2, I discussed the preparation of the patient, the incision and atraumatic flap elevation. These are the first three steps necessary to ...
NEW YORK, US: At the 80th session of the UN General Assembly, member states adopted a landmark political declaration on non-communicable diseases (NCDs) and...
As many dental offices know, no matter what you spend for IT support for your computers, it’s usually nothing compared to what it costs if your ...
Live webinar
Thu. 14 May 2026
12:00 PM EST (New York)
Live webinar
Thu. 14 May 2026
2:00 PM EST (New York)
Prof. Hani Ounsi DDS PhD FICD
Live webinar
Tue. 19 May 2026
11:00 AM EST (New York)
Live webinar
Tue. 19 May 2026
1:00 PM EST (New York)
Prof. Dr. med. dent. Ivo Krejci
Live webinar
Wed. 20 May 2026
7:00 AM EST (New York)
Dr. Graham Carmichael BDSc (Hons), DClinDent (Pros), FRACDS, Dr. Robert Gottlander DDS
Live webinar
Wed. 20 May 2026
9:00 AM EST (New York)
Live webinar
Wed. 20 May 2026
1:00 PM EST (New York)
Prof. Dr. med. dent. Tim Joda PhD, MSc, eMBA
To post a reply please login or register