Search Dental Tribune

Dental News

AADOM names Robyn Rossetter Office Manager of the Year

NASHVILLE, Tenn., and COSTA MESA, Calif., USA: The American Association of Dental Office Managers (AADOM) named Robyn Rossetter, business administrator for ...

save

Brooklyn, N.Y., student receives gift of a healthy smile

NEW YORK, N.Y., USA: Zeb was a promising Brooklyn high school student, but there was something ultimately holding him back. Enduring the pain and shame ...

save

MI Varnish with RECALDENT (CPP-ACP) Topical fluoride varnish with Calcium and Phosphate

Wed. 18. January 2012

GC America is excited to announce the launch of MI Varnish™, a 5 percent sodium fluoride varnish with RECALDENT™ (CPP-ACP). MI Varnish is unique compared to all the other fluoride ...

save

Osteogenics Biomedical to host Global Bone Grafting Symposium in San Antonio

LUBBOCK, Texas, USA: Osteogenics Biomedical recently announced that its 2012 Global Bone Grafting Symposium, unique for its focus on dental bone grafting ...

save

Charlie Sheen Tweets about visit to Beverly Hills cosmetic dentist

BEVERLY HILLS, Calif., USA: Celebrity personality and actor Charlie Sheen recently visited Beverly Hills cosmetic dentist Dr. Kevin Sands. Following his ...

save

CEREC announces its next anniversary celebration ahead of schedule

CHARLOTTE, N.C., USA: Waiting for the big 3-0 just won’t cut it! That’s why Sirona, the company that pioneered digital dentistry more than 26 ...

save
advertisement

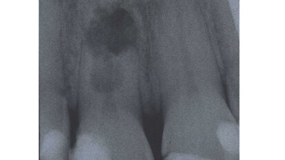
Case report: Internal root resorption rules out restoration

For decades, case reports and scientific studies have described the condition of internal root resorption. A recent web search related to internal root ...

save

HR 101: Tees and tats causing a stir

Amber is an assistant in Dr. D’s office. She’s what you picture when you think “free spirited.” She likes to color her hair a new ...

save

Interview: Most dental practices will encounter fraud

LITTLETON, Colo., USA: The potential for embezzlement and theft is a problem no business is immune to. And research shows that smaller businesses are more ...

save

Examine and Diagnose Your Financial Systems audio CD

Wed. 11. January 2012

 CareCredit is offering a free educational audio CD, Examine and Diagnose Your Financial Systems, featuring Lisa Philp, president, of Transitions Group, an exclusive partner of Benco Dental. ...

save

Gottawatta filtered water bottle

Wed. 11. January 2012

 It’s a truly unique, reusable filtered water bottle that provides consumers with a convenient and affordable, environmentally-friendly way to enjoy clean, healthy drinking water from ...

save

Lab network’s rebate program helps cover cost of your in-practice digital impression system

Wed. 11. January 2012

Sirona Dental Systems has announced that Dental Services Group™ (DSG), a network of 25 North American laboratories, is now providing CEREC® and CEREC® AC Connect users with an attractive...

save
advertisement

New implant institute opens

NEW YORK, N.Y., USA: Dental professionals worldwide can hone their skills, learn about the latest techniques and share information — online or on ...

save

Implant pioneers meet in New York

NEW YORK, N.Y., USA: Old friends and new gathered in Manhattan recently to celebrate the continuing legacy of Park Dental Research Corporation, a leader in ...

save

In California: Botox, dermal filler procedures now treated no differently than getting a filling

NEW YORK, N.Y., USA: California dentists can now perform Botox and dermal filler procedures for dental esthetic and dental therapeutic uses. Dr. Louis ...

save

Let patients test-drive their new smiles

The decision to pursue ceramic dental restorations is a major one for most patients. There may be a concern that the results will turn out to be different ...

save
advertisement

C-Mor Ultra-Bright Front Surface Mirrors

Wed. 11. January 2012

Essential Dental Systems (EDS) recently announced a new product to its line of quality dental devices, C-Mor™ Ultra-Bright Front Surface Mirrors. These mirrors revolutionize the visual field of ...

save

Aribex receives Utah Life Science Incentive for Growth

OREM, UTAH, USA: Aribex, a manufacturer of handheld X-ray technology, has qualified for up to $350,000 in financial incentives from the state of Utah for ...

save

Needle-free anesthetic close to marketability

SILVER SPRING, Md. & FORT COLLINS, Colo., USA: Efficacy trials for a new dental anesthetic that saves patients the pain of injections are continuing ...

save
advertisement

Interview: Dental professionals on front line in fight against diabetes

NEW YORK, N.Y., USA: An as-yet unstoppable increase in the number of people with diabetes or prediabetes in the United States and across the globe makes it ...

save

CDA Foundation honors Dr. Terry T. Tanaka

Sacramento, Calif., USA: Terry T. Tanaka, DDS, was awarded the 2011 California Dental Association Foundation Humanitarian Award for his dedication to ...

save
advertisement

Dried licorice root fights oral bacteria

WASHINGTON, D.C., USA: Scientists from the American Chemical Society and the American Society of Pharmacognosy have identified two substances in licorice ...

save

Esthetics dentistry annual meeting attracts international participants

Amelia Beach, Fla., USA: “The sunshine of your smile” lyrics from Stevie Wonder aptly describe the 35th annual meeting of the American Society ...

save

Life-saving treatment includes complete maxillary and mandibular dentures

Michael Boyd, a 55-year-old male, lived a life of many challenges. By age 52, Michael had a diabetic medical emergency and upon recovery was relieved of his...

save

Understand legal issues when using CBCT scans

As cone-beam computed tomography (CBCT) becomes more prevalent in the dental field, various legal issues are coming to light. When CBCT scans are justified,...

save
advertisement

Plasma brush disinfects and cleans out cavities for fillings

COLUMBIA, Mo., USA: Engineers at the University of Missouri and their research collaborators at Nanova, a corporation that designs, patents and sells ...

save

Global handpiece manufacturer boosts North American presence

LITTLETON, Colo., USA: For years, NSK dental handpieces have had a strong base of devoted users in the United States and Canada who are attracted to the ...

save

Survey: Hispanics face oral health care barriers

NEW YORK, N.Y., USA: The majority of Hispanics in the U.S. believe more information about good oral health habits, access to affordable oral health care, ...

save

Colgate-Palmolive and DT Study Club launch new Oral Health Network

NEW YORK, N.Y., USA: Colgate-Palmolive has announced the launch of the Colgate Oral Health Network for Professional Education and Development — a new ...

save
advertisement