Dr. Brian B. Nový is the director of clinical innovation at the DentaQuest Institute in Westborough in Massachusetts and a faculty member at the Harvard School of Dental Medicine, Western University and Loma Linda University School of Dentistry, all in the U.S. In this interview, he discusses Curodont Repair Fluoride Plus, a novel technology that stops incipient caries through guided enamel remieralization.
Dr. Nový, what is Curodont Repair Fluoride Plus?
Curodont Repair Fluoride Plus is a remarkable new product that allows us to remineralize early-stage tooth decay and move from the drill-and-fill mindset to a conservative, non-invasive one. It is a new concept of allowing ions from one's own saliva to diffuse within these early lesions rather than just remineralizing the surface zone.
What makes Curodont Repair Fluoride Plus so innovative for the dental industry?
Curodont is innovative for the dental industry because it allows us to respect tooth crystal and preserve it rather than cutting it away and trying to replace it with something inferior. It also takes remineralization far deeper than we ever have taken it before. Curodont treatment actually extends down into the carious lesion.
Dr. Brian B. Nový was the first dentist in the U.S. to try this technology and has since treated many patients with Curodont Repair Fluoride Plus. (Image: vVARDIS)
How do you use Curodont Repair Fluoride Plus?
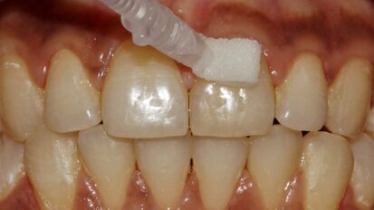
Curodont Repair Fluoride Plus is pretty easy to use. You need to get the tooth squeaky clean first. Then, if you think that some remineralization might have occurred already and that the surface zone is fairly well mineralized, it is necessary to open some pores in that surface zone. You then need to activate the Curodont using a sponge, which is very different from a micro-brush. There are a couple of different ways to use it. For example, I’ll take an instrument and hold down the end of the sponge and start twisting and wringing it out on the tooth. You can also fold it over, depending on where you are in the mouth and what surface you’re trying to get it on. I found that you can usually apply a one-unit dose to three or maybe four teeth, depending on what surfaces you’re trying to apply it to.
What are the benefits of Curodont Repair Fluoride Plus for the dental office?
There are many benefits in using Curodont Repair Fluoride Plus in the dental office. It opens up a whole different dimension of how to treat dental caries, and it takes the treatment of dental caries into the hands of people and allows you to use their skill set. Anyone who can apply fluoride varnish can apply this product, whether he or she is a hygienist or a dentist. The great thing is that you can apply Curodont to the tooth and verify with radiographs and with clinical presentation that the lesions aren’t getting bigger over time. It is a huge win that we can preserve the tooth crystal rather than replace it with an inferior material.
What are the benefits of Curodont Repair Fluoride Plus for patients?
I think there are a lot of benefits from a patient’s perspective. Firstly, there’s no pain involved in using Curodont. The patient only experiences the feeling of liquid being applied to the tooth. Secondly, there’s no staining, like you get with high-dose fluorides or silver diamine fluoride. Finally, there are no side effects.
Who wouldn’t want to have a liquid put on a tooth instead of having an injection and then a drill put in his or her mouth?
What is the difference between Curodont Repair Fluoride Plus and silver diamine fluoride?
Firstly, silver diamine fluoride will always leave a dark stain on the tooth. Even if potassium iodide is applied afterwards, there is always silver phosphate staining on the tooth. That does not occur with Curodont Repair Fluoride Plus because it is a formula which is seeking calcium. Secondly, the taste is very different because the silver diamine fluoride tastes horrible, and anyone who’s ever had a child taste it knows that the moment you use silver diamine fluoride and the child tastes it, the appointment is over. You don’t have that problem with Curodont Repair Fluoride Plus because it has little to no taste.
What is your experience with Curodont Repair Fluoride Plus? I’ve probably been using Curodont Repair Fluoride Plus for longer than anyone else in the U.S. I first started using it in around 2017, and I’ve used it consistently ever since. My first experience using it was when I applied it to the teeth of some patients with a high caries risk. These were patients who had trigeminal neuralgia. They were terrified of the dentist and could not come in for traditional dental care because of their fear, and when we did do clinical dentistry on them, it led to severe pain. These were the first patients that I started using it on, and they immediately accepted the treatment.
I’ve tracked some of those carious lesions over time using the Canary System laser. In my initial analysis, what I saw was that lesions typically became half the size they were, meaning they picked up 50% more calcium and phosphate than they would have if we had done nothing to them. Once I started seeing remineralization occurring, I realized that the laser was picking up on this. I continue to observe the lesions that I first treated almost six years ago, and they still have not progressed.
I’ve also used it on some very extreme caries patients, such as college-age diabetic patients who have uncontrolled diabetes. They are away from home for the first time, their oral hygiene tends to fall away and flossing stops. I’ve found Curodont has not produced the same type of remineralization in this group. I remember one lesion that appeared to progress instead of arresting. I decided to enter the tooth surgically to place a Class II restoration, but when I drilled into the tooth, there was no actual infected dentine inside it. Instead, what I found was hard, clean dentine that was the same color that it normally is. I realized that it had been unnecessary for me to cut into that tooth.
Most patients come in now just assuming I am going to put the liquid on their tooth or asking me about the status of a cavity after having had the liquid put on it a couple of years before. I’m pleased to say that it seems that it is working. Every time we reapply it to a tooth and show that we’ve stopped the restorative cycle, we’re adding to the volume of evidence that pushes the envelope towards what we’re all trying to do in dentistry, which is to make patients healthier.
Curodont Repair Fluoride Plus offers a biomimetic system for the noninvasive treatment of early-stage caries through guided enamel remineralization. (Image: vVARDIS)
How do you explain Curodont Repair Fluoride Plus to your patients?
I usually introduce it to patients who have an incipient or interproximal lesion and use it on those radiographically apparent small lesions. I tell my patients that many dentists would probably say it does not need a filling yet. I give the patient some options. I ask whether they would prefer me to wait and do nothing and just see the cavity get bigger, or whether they would rather I cut into the tooth and place a filling. Of course, the other option is for them to stop eating sweets and brush their teeth non-stop. That may work as well. Or would they rather have me apply a liquid that can help the tooth crystal remineralize and reform and make the tooth harder? It can help them get over that hump and jump-start the healing process.
How do you see Curodont Repair Fluoride Plus becoming a part of future oral care protocols?
I see Curodont creating a whole new paradigm for the way dentists are viewed. I think of dentistry as moving towards oral health, especially when you consider value-based reimbursement and value-based care in which the patients are learning. They don’t have to have a restoration placed in their mouth; they can reverse their cavities through liquid therapeutics in the office and go home with new preventive products that they can use.
It is going to further the adoption of developments like artificial technology to monitor carious lesions over time. We’re able to put technology into the patients’ hands, and they can monitor their cavities at home in their bathrooms and find out whether their lesions are reversing or progressing. Curodont is just a perfect puzzle piece in this whole new vision of a system of oral healthcare instead of a system of only restorative dentistry.
According to the World Health Organization, dental caries is the most common health condition worldwide. Even though the importance of management of ...
Applications of AI in dentistry have shown promise in assisting clinicians to identify dental caries on routine bitewing radiographs. This technology ...
According to the National Institutes of Health’s Oral Health in America: Advances and Challenges report, dental caries is the most prevalent dental ...
Despite improvements in detection and prevention, dental caries remains the most prevalent chronic disease worldwide, with the majority of cases untreated. ...
Studies indicate that a significant number of dental patients present with initial carious lesions, particularly on interproximal surfaces. However, many ...
Dr. Gavin J. Miller, originally from South Africa, graduated from the University of the Witwatersrand in 1986 and spent over a decade in private practice ...
ZUG, Switzerland: Swiss manufacturer vVARDIS has raised an additional US$50 million (€43 million*) in funding from global healthcare investor OrbiMed, ...
The National Institutes of Health report titled Oral Health in America: Advances and Challenges states that dental caries is still the most prevalent oral ...
Education
Live webinar Tue. 19 May 2026 1:00 PM EST (New York)
ZUG, Switzerland: Swiss dental manufacturer vVARDIS has announced a strategic minority investment from funds managed by Apollo, a global alternative asset ...
ZUG, Switzerland: Late last year, the World Health Organization released a guideline on preventing and managing caries. The document forms part of the ...
MELVILLE, N.Y., US: Henry Schein has announced the expansion of its agreement with Swiss company vVARDIS, granting the company exclusive US distribution ...
To post a reply please login or register