Implant site preservation is an important component of diagnosis and treatment planning. Through CAD (computer aided design), prosthesis can be designed with ideal characteristics. By utilizing CAM (computer aided manufacturing), the clinician has the ability to mill the designed prosthesis with great accuracy. IPS e.max has been selected as the material for this investigation due to strength and esthetics.
The combination of IPS e.max and in-office CAD/CAM technology allows the clinician the ability to create an esthetic and predictable moderate-term provisional to preserve a site for future implant placement.
Introduction
Implant placement in the esthetic zone is the ideal treatment option when diagnostic criteria are satisfied.[1] Finances, however, can act as a barrier to treatment. A moderate-term, esthetic provisional would allow the patient the opportunity to overcome barriers. In-office CAD/CAM technology would allow for immediate prosthesis fabrication.
embedImagecenter("Imagecenter_1_1290",1290, "large");
CAD/CAM stands for computer-aided design and computer-aided manufacturing, respectively. CAD allows the clinician to digitally capture an image of a preparation and then design an indirect (out of the mouth) restoration by using software.[2]
After the ideal restoration has been produced, the design is then fabricated out of a material by a milling machine. E4D is an in-office dental unit (D4D Technologies). IPS e.max is a metal-free, esthetic dental material used in indirect restorations. IPS e.max is composed of lithium disilicate, and it’s ideal physical and esthetic properties allow it to be the first choice for CAD/CAM restorations.[3] IPS e.max has the ability of detailed CAM production and has strength second only to gold.[3]
Clinical case
Presentation: A 28-year-old male patient presented with a failed post and core and porcelain fused to metal (PFM) crown. His chief complaint was that the ‘fake tooth’ has become dislodged several times and he requested a long-term solution.
Medical history was non-contributory. Clinical and radiographic examination indicated an endodontically treated central incisor with no apical pathology and a failed post and core/crown restoration. The PFM crown was still cemented to the post and core and lacked a ferrule effect. The post and core/crown had been re-cemented several times in the past.
Diagnosis indicated: endodontic treatment, failed post and core and caries on tooth number #11. Treatment options to replace the missing tooth included: an implant supported crown, a bridge, a removable partial denture and no treatment.
The patient had interest in the implant option but requested that the old unit be re-cemented. He had several professional and personal obligations that required an esthetic provisional. Finances were a limiting factor. The existing post and core/crown was deemed poor and could not be used. Based on the situation, an alternative option was presented to the patient: an indirect IPS e.max CAD/CAM post and core/crown moderate-term provisional that would be fabricated using an in-office E4D unit. Treatment-specific informed consent was given, and the patient agreed. It was decided to generate an indirect CAD/CAM prosthesis due to the investigative nature of the clinical case.
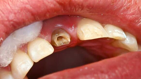
Preparation: Tooth #11: the canal space was cleaned of cement and the remaining tooth structure was prepared as per full porcelain coverage specifications (Fig. 1). A paper clip was inserted into the canal space (Fig. 2).
A final PVS impression (Ivoclar) was taken, utilizing a Q-Trays (Research Driven) segmental tray (Figs. 3–5). A bite registration was taken for the CAD/CAM scan (Fig. 6). The patient was dismissed to the waiting room while the prosthesis was fabricated.
Indirect CAD/CAM component: The impression was poured with stone and then digitized by taking several scans of the area with the E4D scanner (Fig. 7). Utilizing CAD technology, the prosthesis was delineated. The CAD software then presented a rudimentary prosthesis based on the parameters selected. Material thickness was then evaluated.
The prosthetic design was further manipulated using the provided software tools until an acceptable result was achieved (Fig. 8).
The CAD design was executed on an IPS e.max block (Fig. 9) utilizing CAM technology (Fig. 10). The prosthesis was removed from the block and assessed for morphology and fit on the cast.
The prosthesis was then stained and glazed (Fig. 11) and fired in the furnace. After firing, the color of IPS e.max changes from purple to tooth colored (Figs. 12 and 13).
The patient returned for prosthetic delivery. The post and crown prosthesis underwent intraoral assessment (Fig. 14). The patient approved the esthetics. The prosthesis was cemented with Multilink (Ivoclar); occlusion was refined and the restoration was cleaned and polished (Fig. 15).
Discussion
This report represented a clinical investigation; as IPS e.max blocks supplied for in-office CAD/CAM dentistry have not been recommended for posts or post and core/crown combinations. This was due to the fact that block application for posts has been unexplored and that the strength of IPS e.max for posts had yet to be determined.
The CAD software was quite limited and did not have the capability to generate an intra-canal projection. The optical scanner also had limitations, as the angle of acquisition had to be manipulated to acquire digitized data. Finally, the CAM unit’s ability to generate a complex crown unit with a canal projection (post) had yet to be determined.
Several factors were evident that allowed for the completion of this case. The patient requested a “temporary,” highly esthetic procedure until financials permitted the ideal treatment. The inability to use his existing restoration opened up the opportunity for this investigative trial.
The patient’s occlusion exhibited mild overlap and overjet; therefore, occlusal forces would be minimized. The patient was committed to wearing his occlusal appliance. That the adjacent teeth had no other restorations present reinforced the necessity for minimally invasive dentistry.
Conclusions
CAD/CAM technology has been harnessed utilizing IPS e.max to provide for an investigative moderate-term, predictable and esthetic anterior provisional. Further studies are required to: quantify the strength of IPS e.max, assess its role as an intra-canal projection (post) and develop the technology for CAD/CAM procedures.
The potential seems to exist for IPS e.max to act as a predictable, moderate-term and esthetic canal-retained prosthesis. This novel approach will enable site preservation and optimize clinical condition for future implant placement.
Disclosure: Dr. Les Kalman is the co-owner of Research Driven and the developer of the Q-Tray.
Note: This article was published in implants, the international C.E. magazine of oral implantology, North America Edition, Vol. 2, Issue 2, 2013. A complete list of references is available from the publisher.
Nassau, Bahamas-based Paradise Dental Institute formally launches this July with a live-surgery implant training course followed by a working conference. ...
Nuventus, a privately held Swiss dental implant company, has announced the official commercial launch of the Nuventus NV.C Implant System in the United ...
In this ever-evolving age of dental technology, the practice area of implant site development has benefitted from a technologic innovation and a new era of ...
The use and acceptability of implants today is considered both routine and highly predictable. With that, people more than ever before are considering the ...
The role of dental restorations used for provisional and indirect restorative procedures has changed dramatically in the past several years. These ...
Single-unit and short-span restorations present clinicians with an excellent opportunity to utilise digital workflows. These high-accuracy appliances ...
Having used DrQuickLook SD for some time now, I see how its range gets larger each and every day. By that I mean I find more and more uses for it. I can ...
The introduction of zirconia to the dental field opened the design and application limits of all-ceramic restorations. Thanks to its high strength and ...
Geometry of the bone present can make implant placement challenging. This can be especially true in the anterior, where the angle of the ridge requires a ...
Since placing his first implant nearly 45 years ago, Dr. Jack Hahn has spent much of his career as a clinician and innovator thinking of ways to make ...
Live webinar
Thu. 14 May 2026
12:00 PM EST (New York)
Live webinar
Thu. 14 May 2026
2:00 PM EST (New York)
Prof. Hani Ounsi DDS PhD FICD
Live webinar
Tue. 19 May 2026
11:00 AM EST (New York)
Live webinar
Tue. 19 May 2026
1:00 PM EST (New York)
Prof. Dr. med. dent. Ivo Krejci
Live webinar
Wed. 20 May 2026
7:00 AM EST (New York)
Dr. Graham Carmichael BDSc (Hons), DClinDent (Pros), FRACDS, Dr. Robert Gottlander DDS
Live webinar
Wed. 20 May 2026
9:00 AM EST (New York)
Live webinar
Wed. 20 May 2026
1:00 PM EST (New York)
Prof. Dr. med. dent. Tim Joda PhD, MSc, eMBA
To post a reply please login or register