Part 4A of this series on cosmetic periodontal surgery deals with various barriers that have historically been used to aid periodontal regeneration. This article is limited to the use of barriers to achieve predictable regenerative coverage of unesthetic root recession using the guided tissue regeneration (GTR) technique with resorbable barriers. It also includes a case study on the use of a polylactic acid membrane to regenerate gingival root coverage where root recession is clinically noted.
Periodontal disease leads to destruction that causes a void in which undesired cells have diminished the supportive periodontia. Proper periodontal surgery to correct this hinges on proper regeneration of the lost tissue.
Restoration of the lost periodontia involves regenerating the lost supporting structures, including alveolar bone, connective tissue, keratinized epithelium, periodontal ligament and cementum. By placing a barrier to inhibit the undesired cells — and enabling the desired progenitor cells to procreate — we can selectively guide the desired restoration of the lost periodontia.
For the past 50 years or so, regeneration of the periodontia, including both osseous and soft tissue, has been achieved successfully by the use of barriers. The most popular barrier to date is a membrane, although there have been several other barriers used as the technique has developed.
A barrier should create and maintain a sufficient space where an adequate blood supply can form to enable regeneration to occur. The space must be preserved for a certain period of time, and the barrier should be immobile for that same time period. The barrier needs to preserve this space while preventing epithelial cells and connective tissue cells from migrating into it. But the barrier also must be porous, so that metabolites can penetrate through it to keep the underlying developing regrowth alive.
embedImagecenter("Imagecenter_1_990",990, "large");
With the GTR technique, popularized by Dr. Nieman, we can inhibit the causal factors of the periodontal disease, thus preventing reoccurrence and enabling proper cellular regeneration.
This technique involves forming a porous barrier membrane that excludes the undesired cells, yet allows nutriment through its porous membrane to aid the selective population by undifferentiated mesenchymal — advancing the regenerative goal.
Historically, different materials were developed to act as barriers for use in the GTR technique. Initially, nonresorbable membranes were used. A Teflon barrier expanded polytetrafluoroethylene (ePTFE) membrane that was porous was popularized by Gore. This ePTFE, like its more economical equal, Sartorius, as well as other nonresorbable barriers, such as Millipore filters, worked well. However, because they are nonresorbable, they required a second surgical procedure after the healing process was complete, usually months later, to remove the nonresorbable membranes. This second procedure required another round of local anesthetic and another uncomfortable healing period.
Other Teflon membranes, which were nonporous and nonresorbable, also were available, but they were not recommended for GTR because their lack of porosity inhibited essential nutrition from passing through, thus blocking newly forming blood supply from regenerating. These Teflon membranes have, in fact, the same regenerative properties as a rubber dam and should not be used or contemplated for GTR.
The limitations of these early barriers prompted companies to develop resorbable barrier membranes that eliminated the necessity of a second surgical procedure, much to the appreciation of patient and practitioner alike. These membranes have all the desired qualities of the nonresorbable group but do not need a second surgical procedure to be removed. Different materials lead to different rates of absorption time, resulting in different times of inhibition of epithelium and/or connective tissue invagination. Different materials may result in different consistency of results.
The resorbable membrane barriers used most frequently in cosmetic root recession coverage are divided into three main groups, based on the materials: 1) polyglactin acid, 2) polylactic acid, and 3) collagen.
The polyglactin and polylactic membranes are similar except that polylactic acid membranes contain a citric acid ester that enables them to be malleable.
Resorbable polylactic barrier membranes were the first popular resorbable membranes approved by the FDA. Produced under the commercial name of Guidor, the product was developed for GTR procedures, and its malleability made clinical handling easier. The resorbsion of this material is through hydrolysis. Results show no soft-tissue reactions during healing, and yet, there are reduced probing depths during healing, and a definite gain of clinical attachments. This article is limited to the use of GTR specifically in recession-coverage regeneration.
Membrane barriers of polyglactin acid were still used after Guidor received approval from the FDA. However, one of the principles of a regenerative membrane is its period of longevity. It is accepted that the barrier should be stable and present in the desired position for at least six to eight weeks. The polyglactin barriers of the era resorbed inconsistently. Reports of resorbsion varied in ranges of time. The barriers were not present long enough to consistently meet the time required for success. Therefore, this article limits its focus to the use of polylactic membrane, which consistently meets the required time period for retention.
Case presentation
The patient, a 31-year-old male, presented at my office with gingival recession. His chief complaint was his gingival recession in his upper left cuspid (#11). There was no sensitivity to temperature change. He was aggressive in his oral hygiene, especially with his brushing. Noted was the abrasion of the #11 at the recessed root exposed area. He was concerned with the appearance of looking older than he was and with the probability of living with the longer-appearing tooth (#11).
The upper left first bicuspid (#12) also had recession and root exposure, although it was not noticeable to the patient. Both the #11 and #12 were asymptomatic, but only the more noticeable #11 bothered the patient visually (see Fig. 1: Recession of the upper left cuspid #11 is of primary concern to the patient. Also present is the recession of the #12, which is of no esthetic concern to the patient. After discussion about treatment options, the patient opts not to use a membrane barrier in the treatment of the #12.).
Local anesthetic was administered. Then, using a #15 blade, the sulcular incision was performed from the gingiva to the osseous crest (see Fig. 3: Reflected buccal tissue of the surgical site. The sulcular incision is performed from the gingiva to the osseous crest. Notice the equal amount of exposed root on both #11 and #12.). This is done to preserve the keratinized gingiva necessary for our final goal.
Buccal flap reflection, using the Hoexter periosteal elevator by Hu-Friedy, revealed the extent of the recession of both the cuspid and the bicuspid buccally. Most important is the preservation of the interproximal tissue. Keeping the interproximal gingiva is paramount for the blood supply of the interproximal tissue. This avoids loss of interproximal tissue, which would result in dark-appearing interproximal voids, referred to as “black diamonds.”
Placement of the Guidor membrane covering the recessed labial root of #11 is done next (see Fig. 4: The polylactic membrane is placed on #11, and, as discussed with the patient, no barrier is placed on #12.). The labial recession of #12 was left without a membrane. No scaling was done nor chemicals applied to either root.
Next, the coronal repositioned flap technique was performed. This coronally repositions the gingival tissue, especially the preserved keratinized gingiva. The tissue was then sutured in the desired position. The tissue now will cover all the recession as well as the membrane (see Fig. 5: The coronally repositioned flap, sutured in the desired position to cover the previously recessed area on both #11 and #12.).
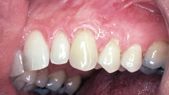
Figure 6 shows how the color of the newly attached keratinized gingiva achieved on the previous recessed root of #11 blends in with the symmetrical background tissue, giving the esthetic appearance desired while restoring health. Note also that #12, without using the barrier GTR, does not regenerate gingival coverage and returns to the original recession level. (See Fig. 6: Gingival coverage is achieved on the previous recessed root of #11. The color of the newly attached keratinized gingiva blends in with the symmetrical background tissue, giving the esthetic appearance desired — while restoring health. Note also that #12 without using the barrier GTR does not predictably regenerate gingival coverage and results in a recession once again.)
The patient was thrilled with the results and continued to maintain his oral hygiene with our professional help. The results remained consistent for more than 11 years before the patient changed locations.
Conclusion
Root recession coverage using the GTR technique (with a polylactic barrier by Guidor in this case study), resulted in regeneration of the gingival coverage of the recessed root. In the same patient on an adjacent tooth, using the same technique but without the barrier utilized on the first tooth, the technique resulted in the recession returning to its original level.
It should be noted that, before doing any root coverage technique, the cause of the recession, such as toothbrush abrasion or other oral-hygiene habits (especially occlusal trauma), or any local causes that might have led to the recession, should first be addressed. In this case, with cosmetic periodontal surgery, the patient was thrilled with the results.
Note: This article was published in Dental Tribune U.S. Edition, Vol. 8, No. 11, November 2013 issue. Part 1 in this series appeared in the Dental Tribune U.S. Edition, Vol. 4, No. 13/14; Part 2 in Vol. 6, No. 17; and Part 3 in Vol. 7, No. 11.
This is a continuation of the fourth article in a series of Dental Tribune clinical articles dealing with cosmetic periodontal surgery. As a follow-up to ...
In today’s new information age, patients want a better quality of life. They want to keep their youthful, brighter-appearing smile more than ever; keep ...
LEIPZIG, Germany: A clinical overview of the use of the Er,Cr:YSGG laser in the management and treatment of advanced chronic periodontitis and aggressive ...
BOSTON: A significant majority of dental implant patients are older with facial aging and their dentists may need to consider the benefits of rejuvenation ...
While placental tissues have been used in medical procedures for more than 100 years,[1,2] Snoasis Medical pioneered their use in dentoalveolar applications...
What defines a successful relationship between an implant practice and a referring office? That’s simple — interdisciplinary teamwork! A strong ...
NEW YORK, N.Y., USA: This year’s Greater New York Dental Meeting marks a first anniversary for NSK Dental, which launched its expanded presence in the...
SAN FRANCISCO, US: The need for increased interdisciplinarity between dentistry and medicine to the benefit of patients has been proved again and again. A ...
A periodontist is a specialist that many patients know very little about — until the day they are referred to one. Periodontists specialize in the ...
Dentium recently announced the results of its long-term clinical case study. The study, conducted for more than 10 years, has successfully shown Dentium ...
Live webinar
Thu. 14 May 2026
12:00 PM EST (New York)
Live webinar
Thu. 14 May 2026
2:00 PM EST (New York)
Prof. Hani Ounsi DDS PhD FICD
Live webinar
Tue. 19 May 2026
11:00 AM EST (New York)
Live webinar
Tue. 19 May 2026
1:00 PM EST (New York)
Prof. Dr. med. dent. Ivo Krejci
Live webinar
Wed. 20 May 2026
7:00 AM EST (New York)
Dr. Graham Carmichael BDSc (Hons), DClinDent (Pros), FRACDS, Dr. Robert Gottlander DDS
Live webinar
Wed. 20 May 2026
9:00 AM EST (New York)
Live webinar
Wed. 20 May 2026
1:00 PM EST (New York)
Prof. Dr. med. dent. Tim Joda PhD, MSc, eMBA
To post a reply please login or register