This is a continuation of the fourth article in a series of Dental Tribune clinical articles dealing with cosmetic periodontal surgery. As a follow-up to Part 4A, Part 4B in this series focuses on barriers used in cosmetic periodontal surgery. It also presents and deals with the predictable regenerative coverage of unesthetic root recession through cosmetic periodontal surgery, using the guided tissue regeneration (GTR) technique with resorbable barriers.
In Part 4A, I concentrated solely on the use of polylactic and polygalactic membranes used to regenerate gingival root coverage where root recession is clinically noted. While I presented clinical results using the Guidor polylactic barrier to aid in achieving excellent results when covering recessed area of teeth for up to 10 years, it should be noted that a 10-year study published in the Journal of Periodontology concluded that after 10 years, Guidor used for gingival recession coverage, the same GTR technique as described in Part 4A, resulted in a larger recessed area than originally presented.
The “pin-hole technique” treatment to cover recession — recently popularized via the Internet — is not new. This technique was used as early as 1953 and, as was true then, still does not use barriers to help regenerate a blood supply on the previously exposed recessed tooth, as this series of articles emphasizes.
Without the newly regenerated connective tissue, the tissue covering the exposed root appears to be held in place by an adherence of a long junctional epithelium (not a regenerative attachment) and is thus doomed to repeated recession in the future.
Barrier enables selective guidance of restoration of lost periodontia
Periodontal disease leads to destruction that causes a void in which undesired cells have diminished the supportive periodontia. Periodontal surgery to correct this ideally hinges on proper sequential regeneration of the lost tissue. Restoration of the lost periodontia involves regenerating the lost supporting structures, including alveolar bone, connective tissue, keratinized epithelium, periodontal ligament and cementum. By placing a barrier to inhibit the undesired cells and to enable the desired progenitor cells to procreate, we can selectively guide the desired restoration of the lost periodontia.
For the past 40 or so years, regeneration of the periodontia — including osseous as well as soft tissue — has been achieved successfully by the use of barriers. The most popular barrier used to date is a membrane, although there have been several others used throughout the history of this type of treatment.
embedImagecenter("Imagecenter_1_1607",1607, "large");
A barrier should create and maintain a sufficient space where an adequate blood supply may form to enable regeneration to occur. The space must be preserved for a certain period of time, and the barrier should be immobile during that time period. It needs to preserve this space while preventing epithelial cells and connective tissue cells from migrating into it. The barrier also must be porous so that metabolites can penetrate through to keep the underlying developing regrowth alive.
By using the GTR technique popularized by Dr. S. Nieman, we can inhibit the causal factors of this periodontal disease and support proper cellular regeneration. This technique involves forming a porous barrier membrane that excludes the undesired cells, yet allows nutriment through its porous membrane to aid the selective population by undifferentiated mesenchymal cells toward the regenerative goal.
Nonresorbable membranes require second surgical procedure
Historically, different materials were developed to act as barriers for the GTR technique. Initially, nonresorbable membranes were utilized. A porous Teflon barrier membrane, expanded polytetra-fluoroethylene (e-PTFE), was popularized by Gore.
This e-PTFE and its more economical equal, Sartorious, along with other nonresorbable barriers, such as Millipore filters, worked well. However, being nonresorbable, they required a second surgical procedure after the healing process was complete (usually months later) to remove the nonresorbable membranes. This second procedure required the patient to receive another local anesthetic and go through another uncomfortable healing process.
Other Teflon membranes that were nonporous and nonresorbable also were made available, but were not recommended for GTR because the lack of porosity inhibited essential nutrition from passing through — thus stopping newly forming blood supply from regenerating. Such membranes have, in fact, the same regenerative properties as a rubber dam and should not be used or considered for GTR.
These various challenges ultimately led to the development of resorbable barrier membranes that eliminated the necessity of a second surgical procedure — appreciated by patient and practitioner alike.
The resorbable membrane barriers that companies started to develop had all of the desired qualities of the nonresorbable group but did not need a second surgical procedure to be removed. Different materials led to different rates of absorbtion time, resulting in different amounts of time for inhibition of epithelium and/or connective tissue invagination. Therefore, different materials may result in different consistency of results.
The resorbable membrane barriers that are used most often in cosmetic root recession coverage are divided into three main groups, based on the type of material: 1) polylactic acid, 2) polygalactic acid and 3) collagen.
The polylactic and polygalactic membranes are similar except that polylactic acid membrane contains a citric acid, ester, which enables it to be malleable.
Resorbable polygalactic barrier membranes were the first popular resorbable membranes approved by the FDA. Produced under the commercial name of Guidor, and developed for GTR procedures, they were made of polylactic acid with a citric-acid ester to enable malleability and easier clinical handling. The resorption of this material is through hydrolysis. Results show no soft-tissue reactions during healing. Yet, there are reduced probing depths during healing and a definite gain of clinical attachments.
Options: Human, bovine or porcine
This article concentrates on collagen resorbable membrane barriers, which are made from three sources: human, bovine and porcine. While all three are adequate, my personal preference is human. Bovine has been used quite successfully, but it and porcine are xenografts (from different species). Additionally, I do not use porcine in my private practice out of respect for the religious preferences of many of my patients.
The specific acellular barrier that is used in these presentations is distributed through TBI (Tissue Banks International) under the brand name TranZgraft® ACD. There are several popular companies, but this company’s product is a sterilized graft, compared with Alloderm, which is not.
Once again, it must be emphasized that before commencing any surgical correction, the practitioner must relieve the initiating factors that led to the recession.
Case No. 1
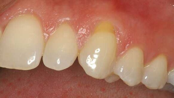
The patient presented with an obvious singular defect of recession at the gingival area of tooth #11 (Fig. 1).
Using a collagen barrier with the coronal repositioned flap technique enabled regeneration of the attached gingiva with a pinkish white color blending naturally with the healthy lateral tissue of the area.
In follow-up 10 years later, it was observed that the complete covering of the previous recessed root was natural and healthy appearing and would continue to be able to be maintained with good oral hygiene.
Case No. 2
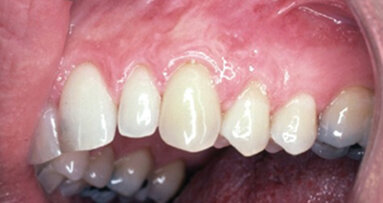
This case describes two areas of recession in a single mouth, thus influenced by identical saliva and oral habits. I used the same cosmetic surgery technique on both areas but used a barrier on only one of the areas (Figs. 3–6).
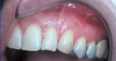
The 10-plus year outcome (Fig. 7) shows complete root coverage of gingiva on tooth #11, where the barrier collagen TranZgraft was used. The adjacent bicuspid #12 had the same coronal repositioned gingival flap procedure at the same time but without use of the connective tissue barrier.
The results clinically demonstrate that use of a barrier helped achieve complete restoration of gingiva tissue on previously recessed root. The same technique in this case, without the use of a barrier membrane, results in no root coverage (Fig. 7).
This particular case would appear to confirm that barriers aid in predictability of root coverage when using this cosmetic surgery technique.
Editorial Note: Part 1 in this series appeared in the Dental Tribune U.S. Edition, Vol. 4, No. 13/14; Part 2 ran in Vol. 6, No. 17; Part 3 ran in Vol. 7, No. 11; and Part 4A ran in Vol. 8, No. 11. These editions can be accessed as e-papers or PDF files through the “E-Paper” link in the top navigation menu on www.dental-tribune.com.
This article was published in Dental Tribune U.S. Edition, Vol. 10, No. 2, February 2015 issue.
Part 4A of this series on cosmetic periodontal surgery deals with various barriers that have historically been used to aid periodontal regeneration. This ...
In today’s new information age, patients want a better quality of life. They want to keep their youthful, brighter-appearing smile more than ever; keep ...
LEIPZIG, Germany: A clinical overview of the use of the Er,Cr:YSGG laser in the management and treatment of advanced chronic periodontitis and aggressive ...
BOSTON: A significant majority of dental implant patients are older with facial aging and their dentists may need to consider the benefits of rejuvenation ...
While placental tissues have been used in medical procedures for more than 100 years,[1,2] Snoasis Medical pioneered their use in dentoalveolar applications...
What defines a successful relationship between an implant practice and a referring office? That’s simple — interdisciplinary teamwork! A strong ...
NEW YORK, N.Y., USA: This year’s Greater New York Dental Meeting marks a first anniversary for NSK Dental, which launched its expanded presence in the...
SAN FRANCISCO, US: The need for increased interdisciplinarity between dentistry and medicine to the benefit of patients has been proved again and again. A ...
A periodontist is a specialist that many patients know very little about — until the day they are referred to one. Periodontists specialize in the ...
Dentium recently announced the results of its long-term clinical case study. The study, conducted for more than 10 years, has successfully shown Dentium ...
Live webinar
Thu. 14 May 2026
12:00 PM EST (New York)
Live webinar
Thu. 14 May 2026
2:00 PM EST (New York)
Prof. Hani Ounsi DDS PhD FICD
Live webinar
Tue. 19 May 2026
11:00 AM EST (New York)
Live webinar
Tue. 19 May 2026
1:00 PM EST (New York)
Prof. Dr. med. dent. Ivo Krejci
Live webinar
Wed. 20 May 2026
7:00 AM EST (New York)
Dr. Graham Carmichael BDSc (Hons), DClinDent (Pros), FRACDS, Dr. Robert Gottlander DDS
Live webinar
Wed. 20 May 2026
9:00 AM EST (New York)
Live webinar
Wed. 20 May 2026
1:00 PM EST (New York)
Prof. Dr. med. dent. Tim Joda PhD, MSc, eMBA
To post a reply please login or register