Although “metal-free” has become a mantra in some dental circles, even when it comes to indirect restorations, all-ceramics have their limitations. When parafunctional habits, wear of the existing dentition, the need for subgingival margin placement, masking of discolored tooth structure or the necessity of conventional cementability contraindicate the use of these newer dental materials, the traditional porcelain-fused-to metal restoration is called for.
It has, however, fallen out of favor with many practitioners primarily because of its cosmetic shortcomings in the esthetic zone.
embedImagecenter("Imagecenter_1_269",269, "large");
There is an alternative to conventional PFM, which has proven itself as a prime option under these circumstances both functionally and cosmetically. Captek (Precious Chemicals Company, Altamonte Springs, Fla.) is a composite metal, not an alloy, whose optical properties accurately mimic those of enamel’s underlying hard and soft tissues.1
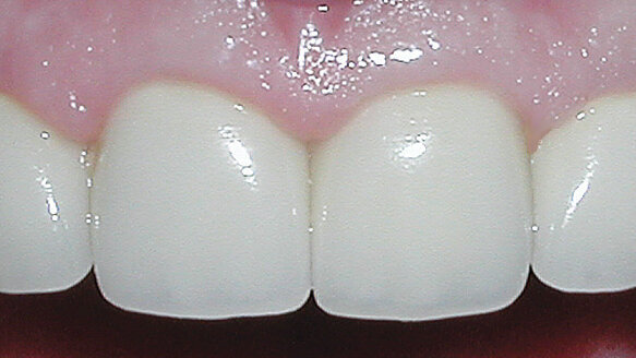
In the hands of master ceramists, such as the Elite porcelain team at Arrowhead Dental Laboratory (Sandy, Utah), ultimate vitality can be obtained by using this system (Figs. 1, 2) and the shade matches attained with this material is remarkable (Fig. 3).
In addition, Captek has demonstrated micromechanical interlocking as its the primary mechanism of porcelain adherence2, which in my experience has resulted in the superior strength and fracture resistance that is often required in specific clinical situations.
Even though the Captek coping is not cast, its extensively documented marginal integrity3 and antibacterial qualities4 make it an ideal restorative where subgingival margins are necessary, and I have found in many cases that these properties may afford the clinician more leeway in relation to the biologic width.
Uses
It is often the case that the location of previous restorations or new carious lesions will mandate the placement of subgingival margins. Due to the moisture inherent in situations such as these, a cementable restoration is essential, and of the new generation in metal-free products, only zirconia will fit that bill.
However, zirconia is among the least esthetic of the ceramics where Captek is clearly superior, both intrinsically and for its influence on gingival appearance.
Captek has been found to outperform any other material in terms of its performance with regard to gingival color.5 Its aforementioned bacteriostatic properties contribute greatly to gingival health where other materials, even including semi-precious metal copings, can be problematic (Figs. 4, 5). Thus, Captek has become my material of choice for indirect restorations in the esthetic zone that demand subgingival margins.
As any dentist knows, endodontically treated teeth often discolor significantly after such procedures. It is also true that there are some implant cases where it is preferable to use a metal abutment, and in these instances, the effect on gingival color can be decidedly negative.6
The translucency of most metal-free restoratives will not allow for the full masking of this tooth discoloration or metal reflection, and cosmetic outcomes will be adversely affected when those materials are used under these circumstances.7
As a PFM restoration, Captek affords ultimate masking qualities, and its excellent esthetic results make it the prime choice in situations where masking abutment discoloration is of prime importance.
The longevity of large restorative cases is of major consequence to the treating dentist. Remakes due to functional failure are costly to the clinician not only economically, but in terms of his or her reputation as well.
The greater strength of PFM restorations over their metal-free counterparts, even including zirconia units, is well documented in the literature.8
In cases where occlusal or parafunctional matters are of a principal concern, ceramo-metal crowns will be the longest lasting. Considering Captek’s advanced cosmetic capabilities, there is no disadvantage to going with PFM restorations in a smile design case that has wear issues that could lead to potential failures if all-ceramics are used.
It is on this last point that I am met with the most skepticism during my lectures around the country. There are many practitioners who simply will not believe that a PFM restorative can match the vitality of an all-ceramic product.
I have found it true in my practical experience that all other things being equal (skill of the laboratory technician involved, quality of the clinical records provided, etc.), it is easier to fabricate a really life-like restoration from a metal-free material, but in the hands of a master ceramist, Captek restorations can achieve an organic realism that is virtually indistinguishable from nature.
In fact, complex restorative cases blending Captek and all-ceramic units have been documented to realize a harmonious result.9
Conclusion
Although all-ceramic restorations have been en vogue when in comes to transformational restorative cases in the esthetic zone for some time, even being taught as state of the art in dental schools,10 they are not the be all or end all when it comes to these situations.
The placement of all-ceramic restorations is much more technique sensitive than its ceramo-metal counterpart, and their long-term function, especially when all occlusal considerations have not been carefully accounted for, is questionable at best in comparison.11
There is a porcelain-fused-to-metal alternative that is stronger than the all-ceramic choices available, kinder to gingival tissues, more esthetic when seen through those tissues, and every bit as natural looking when fabricated by a talented ceramist. These attributes come from the design of Captek’s unique composite metal coping12, whose properties set it apart from all other PFMs.
If there are cases for which you hesitate to use a metal-free restorative due to occlusal questions or where periodontal and gingival factors are paramount, consider Captek.
It will perform flawlessly under all these conditions while delivering cosmetic results that are unsurpassed by any other material when in the hands of a gifted laboratory technician. What more could you ask for?
The author would like to thank the Elite porcelain team at Arrowhead Dental Laboratory for its expertise in fabricating the Captek restorations shown in this article.
About the author
Barry McArdle, DMD graduated from Tufts in 1985 and maintains a private practice in Portsmouth, N.H. An expert reviewer for JADA, he has authored numerous articles in the peer-reviewed literature. McArdle is also an alumnus of The Pankey Institute. He co-founded the Seacoast Esthetic Dentistry Association in 2000 and his lecture series, Seacoast Dental Seminars, in 2005.
Editorial note: This article was originally published in Cosmetic Tribune Vol. 4 No. 1, January/February 2011. A complete list of references is available from the publisher.
Have you ever considered the possibility that one day there might exist a flowable indicated for Class 1 through 6? Well, this reality is not as far in the ...
While the demand for esthetically pleasing composite restorations that also mimic the natural dentition is rising, there is a similar growth in the desire ...
Single-unit and short-span restorations present clinicians with an excellent opportunity to utilise digital workflows. These high-accuracy appliances ...
SOUTH BEND, Ind., USA: As reported by the dental manufacturer Heraeus USA, its composite Venus Diamond and Tetric EvoCeram (Ivoclar Vivadent) have achieved ...
Zimmer Biomet has released a clinical compendium demonstrating evidence of the BioBoost Effect, a novel reproducible biological effect following placement ...
CHICAGO, Ill., USA: Here at the Midwinter Meeting, Henry Schein Practice Solutions, the U.S. practice solutions business of Henry Schein Inc., is announcing...
MIAMI, FL, USA: The principal oral care researcher worldwide for Procter&Gamble, Dr Robert Gerlach, gave a conference at the IADR 87th Session in Miami ...
A recipient of the Pride Institute’s 2015 “Best of Class” Technology Award, the EyeSpecial C-II is the first digital camera designed ...
Zirconia dioxide has a long history of use in orthopedic and dental applications. Zirconium (Zr) is a metal; however, through a chemical reaction with ...
The scientific evidence demonstrates that endodontically treated teeth fail more often due to restorative errors. In a live webinar, Alan Atlas, DMD, will ...
Live webinar
Thu. 14 May 2026
12:00 PM EST (New York)
Live webinar
Thu. 14 May 2026
2:00 PM EST (New York)
Prof. Hani Ounsi DDS PhD FICD
Live webinar
Tue. 19 May 2026
11:00 AM EST (New York)
Live webinar
Tue. 19 May 2026
1:00 PM EST (New York)
Prof. Dr. med. dent. Ivo Krejci
Live webinar
Wed. 20 May 2026
7:00 AM EST (New York)
Dr. Graham Carmichael BDSc (Hons), DClinDent (Pros), FRACDS, Dr. Robert Gottlander DDS
Live webinar
Wed. 20 May 2026
9:00 AM EST (New York)
Live webinar
Wed. 20 May 2026
1:00 PM EST (New York)
Prof. Dr. med. dent. Tim Joda PhD, MSc, eMBA
To post a reply please login or register