Zirconia dioxide has a long history of use in orthopedic and dental applications. Zirconium (Zr) is a metal; however, through a chemical reaction with oxygen, zirconium is converted to zirconia or zirconium dioxide (ZR02). Currently, there are several manufacturers of zirconia dioxide dental implants. Z-Systems, a Swiss-manufactured single-piece dental implant, was FDA approved more than four years ago for use in tooth-replacement therapy.
Developed in 2001 by Dr. Ulrich Volz, in collaboration with Metoxit, a world leader in the production of ceramic material, the new implants offered a predictable way to produce strong, dimensionally stable, metal-free implants using the isostatic process.
A key element of success in the process is the quality of the raw materials and the technology of the production.
Not all zirconia is created equal. Currently, worldwide it is estimated that 3 percent of patients may be sensitive to titanium.[1-7]
In addition, the systemic toxicity associated with titanium nanotechnology is still unknown.[8] However, it does appear there is peripheral organ accumulation of metal ions in certain clinical situations.[9-10]
embedImagecenter("Imagecenter_1_552",552, "large");
How this affects overall health is still unknown. With increasing frequency, patients are requesting metal-free biologic implants and restorative solutions. Many holistic and esthetically oriented doctors and patients are looking for a metal-free esthetic option in tooth replacement therapy.
Zirconia biocompatibility has been successfully documented in animal studies and human studies. These studies have found zirconia to be biologically compatible with osseointegration. Specifically, they have reported cellular responses similar to titanium, similar bone-to-implant contact, similar healing times, similar biomechanical strength and similar soft-tissue biologic width, and similar removal torque values.[11-25]
Additionally, several studies have shown less inflammatory infiltrate at the implant abutment junction and less bacterial colonization in this region, which may have clinical significance regarding short- and long-term biofilm accumulation and susceptibility.[26-30]
The only human clinical retrospective study to date in the literature on human success rates of zirconia reported a 92 percent success for smooth surface zirconia and 97 percent for rough surface zirconia over five years and 831 subjects.[31]
The implant
The Z-look Evo is a single-stage threaded implant with a prep-able abutment. It is imperative to use the 49 micron zirconia prep bur for reduction to reduce microcrack propagation. Preparation can be completed at placement. There is no risk of heating of the implant body due to the low thermal conductivity of the material.[32] The apical thread pattern is self-tapping. The current surface is sandblasted to improve surface characteristics. However, a new dual-processed sand blasted and laser-etched surface will be on the market by May 2012.
The single-stage design eliminates the effects of the microgap and micromotion on the crestal Interface of bone and soft tissue (Fig. 1). The current diameters range from 3.3 to 5.5 mm and from 8.5 to 15 mm length (Fig 2).
Diagnosis and treatment planning
The author has been selectively placing zirconium Implants during the last three years. The following considerations should be strictly adhered to when considering diagnosis and placement. Consider guided surgery for optimal alignment from a top(crown)-down approach. The abutment can be prepped up to 20 degrees. Any misalignment beyond 20 degrees will cause restorative complications. Snap Caps and Analogs are available for impressions and lab processes (Figs. 3-5).
Only place the implant in healthy patients with no systemic and local risk factors such as smoking, diabetes, poor bone quality and metabolic deficiencies. Type 1-2 host bone is ideal for successful integration. Zirconia tends to lag four weeks behind in cellular biologic fixation according to animal studies. In sites with native bone, I will allow implants to remain undisturbed for four months on the lower and six months on the upper.
Limiting any micromotion at the bone to implant interface is crucial. An essex appliance is recommended during healing. Because grafted sites still contain areas of devitalized bone longer healing times are important. The following healing times are suggested for grafted sites. Allow grafted bone in extraction sockets on the maxillary arch to heal a minimum of six months, even when using bioactive modifiers; sinus grafts a minimum of eight months; and lateral ridge augmentations on the upper and lower arch eight months prior to implant placement.
Consider undersizing the osteotomy to develop optimal primary stability. Progressive long-term loading in provisionals is highly recommended to begin the accommodative physiologic bone response at the cellular level. There is no replacement for experience and the success of zirconia implant therapy is directly related to the operators’ surgical and prosthetic skills and experience.
The biology
The primary means of surface modification to enhance surface microtexture on zirconia include acid etching, laser etching and sandblasting. These processes will enhance the hosts cellular response and secondary fixation. However, remember zirconia’s secondary fixation occurs about four weeks slower than titanium. Therefore, not only is protected healing required, but longer healing times are beneficial.
Crestal biologic bone response will always include accommodative bone resorption to the first thread. As a result of the implant design, 2mm of bone loss will occur upon placement to provide room for biologic width (Fig 6).
A two-piece design with a medialized offset will eventually provide the opportunity to preserve crestal bone, while providing optimal restorative interface options. Immediate loading and implants placed into extraction sockets is not recommended at this time, as there is not enough clinical information or literature to support this approach.
Soft tissue response is remarkable with crestal creeping soft tissue attachment over time (Fig. 7). It has been shown fibroblasts migrate extremely well on zirconia surfaces.[35,36] As well, biofilm development is retarding as result of the surface biodynamics.[37]
To date, I have not reported any biomechanical failures including fracture, nor have any been reported in the literature.
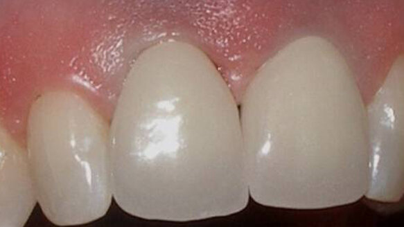
It appears from the literature that at the 12-week point in animal studies, the bone to implant contact and removal torque analysis for zirconium and titanium is the same (Fig 8). Stress distribution for zirconia and titanium is the same. The esthetic benefits of zirconia prevent the grey show-through associated with many titanium implants, particularly in the thin biotypes (Fig. 9).
A case study
A 55-year-old man with remarkable health had lost #8 five years prior. The area was never grafted. Zirconia success is optimal in host bone (Fig. 10). A 4.0 by 13 Z–Look was secured under 50 ncm of torque (Fig. 11). An essex appliance was placed for the duration of the four-month healing interval (Fig. 12). A four-week post-op revealed dynamic soft-tissue health and composition. A provisional was placed at four months and progressively loaded over the next two months (Fig. 13). A final all-zirconium crown was placed at six months. X-ray and cone beam at one-year-mark reveal crestal bone loss to the first thread. However, they also show excellent tissue stability and esthetics (Figs. 14-18).
Note: This article appeared in Implant Tribune U.S. Edition, Vol. 7, No. 2, February 2012. A complete list of references is available from the publisher.
The desire of patients to complete any dental treatment in a timely fashion is universal. This is no different where dental implants are concerned. The ...
Dr. Lee Ann Brady is a nationally recognized dentist and dental educator who says her goal is to partner with patients to assist them in making the best ...
This case involved a simple placement of an implant in a site with adequate bone in an overall healthy patient. The case is significant in that it was the ...
NEW YORK, USA/LEIPZIG, Germany: A newly developed metal foam that mimics the natural structure of bones could help to prevent the rejection of biomedical ...
The use and acceptability of implants today is considered both routine and highly predictable. With that, people more than ever before are considering the ...
CHARLOTTE, N.C., US: Dentsply Sirona is inviting clinicians from around the world to Gothenburg in Sweden on 25–27 June for Implant Solutions World ...
SILVER SPRING, Md., USA: Bioceramics in implantology are no longer limited to prostheses. Following in the footsteps of orthopedics, dental ...
Calcinase is an acid-free EDTA solution that is ideal in finding and widening root canals since it breaks down calcium deposits. It is also ideal for ...
Although “metal-free” has become a mantra in some dental circles, even when it comes to indirect restorations, all-ceramics have their ...
Zimmer Biomet has released a clinical compendium demonstrating evidence of the BioBoost Effect, a novel reproducible biological effect following placement ...
Live webinar
Thu. 14 May 2026
12:00 PM EST (New York)
Live webinar
Thu. 14 May 2026
2:00 PM EST (New York)
Prof. Hani Ounsi DDS PhD FICD
Live webinar
Tue. 19 May 2026
11:00 AM EST (New York)
Live webinar
Tue. 19 May 2026
1:00 PM EST (New York)
Prof. Dr. med. dent. Ivo Krejci
Live webinar
Wed. 20 May 2026
7:00 AM EST (New York)
Dr. Graham Carmichael BDSc (Hons), DClinDent (Pros), FRACDS, Dr. Robert Gottlander DDS
Live webinar
Wed. 20 May 2026
9:00 AM EST (New York)
Live webinar
Wed. 20 May 2026
1:00 PM EST (New York)
Prof. Dr. med. dent. Tim Joda PhD, MSc, eMBA
To post a reply please login or register