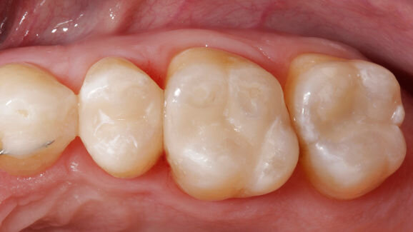
SOUTH BEND, Ind., USA: As reported by the dental manufacturer Heraeus USA, its composite Venus Diamond and Tetric EvoCeram (Ivoclar Vivadent) have achieved equally satisfying results in a new study conducted by German researchers. In the study, almost 98 percent of the tooth restorations done with these composite materials were rated as either excellent or acceptable by independent dentists.
The 18-month in vivo clinical study was conducted by researchers at the Dental School of the Ludwig Maximilians University of Munich, Germany. They compared the clinical efficacy of Heraeus' Venus Diamond composite (VD) in posterior direct composite restorations with that of Ivoclar Vivadent's Tetric EvoCeram composite (TE).
In the study, three dentists placed 48 VD and 50 TE restorations in Class I and II cavities in 71 patients.
Two independent dentists conducted a clinical assessment before and one and a half years after treatment in terms of 12 criteria, such as surface texture, color match, restoration integrity, occlusion, sensitivity, postoperative symptoms and patient compliance.
According to Heraeus, 97.8 percent of the VD and 97.1 percent of the TE restorations were rated as clinically excellent or acceptable.
The dentists rated 46 VD and 34 TE restorations according to each criterion on a scale ranging from "Alpha" (excellent) to "Delta." According to Heraeus, VD achieved mainly Alpha scores and no Charlie or Delta scores.
Statistical tests revealed no significant difference between VD and TE concerning failure rates. One VD and one TE restoration had to be replaced before the 18-month recall. All teeth were sensitive and none of the patients reported postoperative symptoms. VD displayed a significantly better surface texture compared with TE.
"Up to 18 months, the clinical performance of Venus Diamond and Tetric EvoCeram exhibit excellent results," said Professor Jürgen Manhart, who is a restorative material expert and who presented the clinical findings in September 2011 to the 45th congress of the Continental European Division of the International Association for Dental Research in Hungary.
According to the manufacturer, VD is a nano-hybrid universal composite that has low shrinkage stress and strength properties and can adapt easily to the color of the tooth. The material is produced using a special diamond formula, which is based upon silica nanoparticles. Several in vitro and in vivo studies have been conducted on VD in recent years in North America, Asia and Europe, with satisfying results overall.
Heraeus is a precious metals and technology group with its headquarters in Hanau, Germany. The global private company produces biomaterials and medical products, among others.
CHICAGO, Ill., USA: Dentists were named No. 5 for their honesty and ethical standards in Gallup Poll released this month. In previous years’ polls, ...
PITTSBURGH, US: Prescribing high-risk medicines in children’s dentistry remains uncommon but, carries significant safety implications when it does occur. ...
Although “metal-free” has become a mantra in some dental circles, even when it comes to indirect restorations, all-ceramics have their ...
Now available in more than 3,000 orthodontic locations in North America, AcceleDent is being integrated into orthodontic practices in the United States and ...
The prevailing implant designs carry the textured surface and threads, grooves or laser lines to the top of the implant, often requiring sub-crestal ...
Sonendo Inc. — the Laguna Hills, Calif.-based developer of a breakthrough technology that offers an alternative to conventional root canal therapy ...
NEW YORK, NY, USA/LEIPZIG, Germany: The emergence of antibiotic resistant bacteria is becoming a major problem in the fight against hospital-related ...
BOSTON, US: During the pandemic, the majority of dental professionals had to cease their dental activities in order to slow down the spread of COVID-19. The...
Over the past two decades, several studies have demonstrated that mandibular retrusion is a common skeletal feature in patients with Class II ...
SOUTH JORDAN, UTAH, USA: Ultradent Products recently announced its total food and dollar collection for the Utah Food Bank. In a competition with its South ...
Live webinar
Tue. 12 May 2026
1:00 PM EST (New York)
Live webinar
Thu. 14 May 2026
12:00 PM EST (New York)
Live webinar
Thu. 14 May 2026
2:00 PM EST (New York)
Prof. Hani Ounsi DDS PhD FICD
Live webinar
Tue. 19 May 2026
11:00 AM EST (New York)
Live webinar
Tue. 19 May 2026
1:00 PM EST (New York)
Prof. Dr. med. dent. Ivo Krejci
Live webinar
Wed. 20 May 2026
7:00 AM EST (New York)
Dr. Graham Carmichael BDSc (Hons), DClinDent (Pros), FRACDS, Dr. Robert Gottlander DDS
Live webinar
Wed. 20 May 2026
9:00 AM EST (New York)
To post a reply please login or register