The iSy Dental Implant System is a unique concept designed to optimize the implant treatment with digital dentistry while minimizing the complexities of the treatment workflows. Its name, iSy (pronounced, easy), is a play on the words “Intelligent System,” and it is the first system to allow you access to the three main treatment workflows: digital, conventional and flexible, all in a single package.
We know that today’s clinicians are looking to effectively integrate implant dentistry into their digital workflows. The idea of virtual surgery and virtual restoration is a widely accepted concept. In practice, however, treatment complexities become immediately evident. iSy’s seamless digital integration makes it an ideal choice to minimize those complexities. The components of an implant digital workflow, which are intended to improve and accelerate outcomes, are as follows:
- Diagnosis and treatment plan with a cone-beam.
- Intraoral digital impression pre-surgery.
- Guided surgery implant placement and CAD/CAM abutment delivery during the first stage surgery.
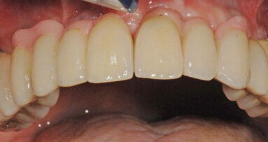
- Optional final crown delivery during the first stage surgery or at a later phase after healing.
These steps require equipment, technology and training to effectively integrate along the treatment workflow. The most complex component is the dental implant because the restorative and surgical components must be adapted and optimized to allow use across a spectrum of technologies. The “Intelligent System,” iSy, has taken the guesswork out of the implant portion of the digital, conventional and flexible workflows.
embedImagecenter("Imagecenter_1_2109",2109, "large");
The comprehensive packaging is at the core of what makes iSy so innovative. The iSy implant system comes packaged with everything a clinician needs to place and restore the implant.
Each iSy package includes the implant, a pre-mounted CAD/CAM final Ti-Base abutment, two scan caps, a protective cap and a final drill. Clinicians can utilize the implant with a full digital workflow or a conventional workflow right from the package. The system is fully integrated in every major CAD/CAM, intraoral scanning and CBCT system.
This article was published in Implant Tribune U.S. Edition, Vol. 10, No. 9, September 2015 issue.
The total edentulism is a serious handicap that in Italy still affects almost 25 percent of the population age 65 and older. The loss of teeth leads to a ...
Many of the world’s greatest literary achievements were created with a pen or typewriter. And then, along came computers and word processing software such...
Single-unit and short-span restorations present clinicians with an excellent opportunity to utilise digital workflows. These high-accuracy appliances ...
In today’s rapidly changing health-care environment, 3-D imaging is becoming an essential tool for diagnosis and treatment in dental and specialty ...
COPENHAGEN, Denmark: On occasion of Scandefa, a major dental fair in Scandinavia, DTI recently visited the 3Shape headquarters in the heart of downtown ...
On occasion of Scandefa, a major dental fair in Scandinavia, DTI recently visited the 3Shape headquarters in the heart of downtown Copenhagen, to learn ...
New York City is constantly changing. For visitors, there are more attractions, more things to see and do, than ever before. Even many of the city’s most ...
OrthoFX, a leading innovator in clear aligners, is redefining clear aligner therapy with a portfolio of products designed to deliver effortless compliance ...
NEW YORK, N.Y., USA: During its Global Symposium at the Waldorf Astoria in New York, Nobel Biocare unveiled a new, fully integrated digital workflow and a...
CHICAGO, Ill., USA: Convergent Dental, developer of Solea, a computer-aided, CO2 all-tissue dental laser system, is announcing the launch of Solea SW 3.1.1 ...
Live webinar
Thu. 14 May 2026
12:00 PM EST (New York)
Live webinar
Thu. 14 May 2026
2:00 PM EST (New York)
Prof. Hani Ounsi DDS PhD FICD
Live webinar
Tue. 19 May 2026
11:00 AM EST (New York)
Live webinar
Tue. 19 May 2026
1:00 PM EST (New York)
Prof. Dr. med. dent. Ivo Krejci
Live webinar
Wed. 20 May 2026
7:00 AM EST (New York)
Dr. Graham Carmichael BDSc (Hons), DClinDent (Pros), FRACDS, Dr. Robert Gottlander DDS
Live webinar
Wed. 20 May 2026
9:00 AM EST (New York)
Live webinar
Wed. 20 May 2026
1:00 PM EST (New York)
Prof. Dr. med. dent. Tim Joda PhD, MSc, eMBA
To post a reply please login or register