The total edentulism is a serious handicap that in Italy still affects almost 25 percent of the population age 65 and older. The loss of teeth leads to a severe impairment of quality of life, not only with regard to the ability to chew, but also because of impact on social life and psychological health. A prosthesis for edentulous patients improves chewing efficiency and quality of life.
The denture in the maxilla is often well accepted, but in the lower jaw, the minimum acceptable treatment today is an overdenture anchored by two implants.
Introduction
The latest available data on edentulism in Italy dates to an ISTAT survey of 2005, published in 2008[1]. This work shows that the total absence of teeth affects 22.6 percent of the population between 65 and 69 years of age, jumping to 60 percent after age 80. Only 52.2 percent of the subjects had replaced their missing teeth with implants, probably because edentulism is more prevalent in lower socioeconomic demographics, where financial and societal influences can inhibit ability and/or desire to replace missing teeth.
Often, teeth have been lost due to lack of appropriate dental hygiene (leading to caries and periodontitis);[2,3] iatrogenic damage (sometimes stemming from dental treatments using outdated procedures and/or outmoded supplies and equipment);[4] systemic diseases, such as diabetes and immunosuppression;[5] or unhealthy lifestyle (eating habits, drug use, smoking, etc.)[6]
No prosthesis is able to completely restore chewing ability;[7] but in many cases, the quality of life of an individual with a prosthesis is better than that of an individual going without.[8,9,10]
With the maxilla, a high percentage of patients accept a traditional removable prosthesis, while with the lower arch, this solution can be extremely uncomfortable and not functional. It is widely believed in the scientific community that the minimum functional solution in the lower jaw is to include two implants to stabilize a removable prosthesis.[11-16]
The treatment of edentulism with a fixed-implant-supported prosthesis often seems to be an ideal solution. But, especially in the upper arch, this solution often isn’t feasible because of insufficient remaining bone and weak support of soft tissue (lips and cheeks). Because of these limitations, esthetics and phonetics can be unsatisfactory after treatment. Such challenges often necessitate pre-implant bone reconstruction, which can bring significant increases in time, costs and morbidity (Fig. 1).
embedImagecenter("Imagecenter_1_2297",2297, "large");
The most effective approach often is an overdenture stabilized by a reduced number of implants. In the upper jaw we can sensibly limit the extent of the palate, improving the general comfort of patients by decreasing inflammatory and/or infectious mucositis — often with the added benefit of enhancing sensation of flavors.[17, 18]
As previously stated, with a dentulous mandible, the minimum effective therapy is considered to be an overdenture stabilized by two implants.[11,14] In the upper jaw, however, ideal results in terms of implant-survival and prostheses success are obtained by using at least four implants stabilized by a rigid, metal bar.[19,20] With the mandible, however, there have been no reported differences in implant-survival and patient comfort, whether using two or four implants, when stabilized by a bar or using non-binded implants (ball-attachment or locator).[21]
While many scientific publications confirm the validity of the removable denture stabilized by implants,[22] during the past 10 years total edentulism also has been treated with a fixed prosthesis supported by a reduced number of implants. Since the first publication of Maló et al.,[23] the “all-on-four” protocol has gained the approval of operators and patients. The concept “all-on-four” enables a fixed denture in acrylic resin to be supported by only four implants, with the two distal implants inclined as much as possible to displace distally the prosthetic’s emergence. The prosthesis is screwed to the implants in the hours immediately following placement (within 48 hours). This method has been confirmed safe and reliable.[24,25,26]
However, in cases of severe atrophy of the maxilla, to support soft tissue, it’s often necessary to build vestibular flanges, which can make it difficult for older and less dexterous patients to maintain adequate oral hygiene.
Keep in mind that, as we have noted, edentulous patients are often elderly, and their manual ability may not be sufficient to maintain the hygiene needed to ensure a long-term positive outcome.[27] Therefore the “all-on-four” protocol must be evaluated for function, esthetics — and the patient’s ability to properly maintain hygiene.
Clinical case
A 56-year-old female patient presented with no systemic diseases but had smoked more than 20 cigarettes per day for the past 30 years. For several months she had been experiencing halitosis, TMJ pain and tooth movement with toothache. Oral hygiene was poor, compounded by a fear of losing more teeth during brushing, having already suffered spontaneous loss of three molars in the months prior to the visit (Fig. 2).
Because the patient’s occupation required contact with the public, she wanted a solution that minimized time she would not have prosthetic teeth after extractions. Her phobia contributed to a desire to avoid more-invasive surgery. Because of the presence of vast bone atrophy of the maxilla, loss of vertical dimension and weak lips-support, I proposed an upper overdenture, preceded by use of a removable prosthesis during the months needed for the implants’ osseointegration. For the mandible, I proposed a fixed prosthesis with immediate loading using the “all-on-four” protocol.
Additionally, professional oral hygiene was administered to improve gum health, and the patient was instructed on proper oral hygiene. With the help of a physician, she stopped smoking and corrected eating habits — reducing acidification from certain foods and sweet drinks.
We proceeded with the maxilla tooth extractions and immediate implementation of a full denture. After a few days of adaptation, a surgical and prosthetic operation was planned for the application of the lower denture. After the teeth were extracted and the bone ridge regularized, the mental foramens were highlighted and isolated. We then followed the “all-on-four” protocol by inserting two Camlog Screw Line Promote Plus, inclined distally at 30 degrees and placed as distally as possible, with emergence above the foramen. After alignment was checked with the “Vario SR” aligning device, we introduced the two medial implants and the Vario abutments, which would no longer be removed (Fig. 3). After suturing with absorbable wire, we proceeded with the connection of the impression copings with a resin using a very low ratio of contraction (Fig. 4) and with the polyether impression (occlusal indexes had been identified beforehand). In the late afternoon of the same day, a metal framework was applied to the temporary prosthesis to grant rigidity to the implants; and the prosthesis was extended up to the second premolar, thus achieving a “protection” of the distal extensions.
Four months after the implant placement in the upper arch, we took an optical impression for the milling of the bar; after that we took the conventional impression to achieve a good mucous adaptation of the removable prosthesis (Fig. 5). Four OT Equator attachments were screwed into the bar for retention of the prosthesis without the palate.
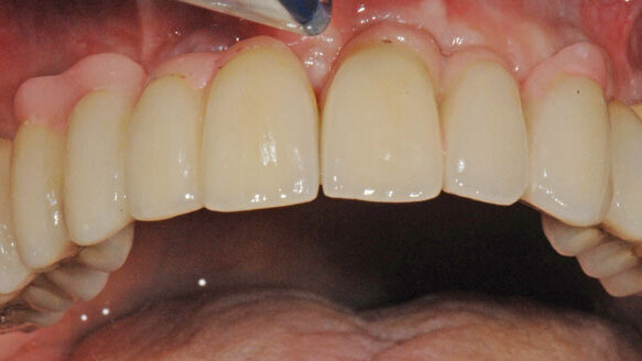
Seven months after insertion of the mandibular implants, we proceeded with the definitive impression with the face bow. The technician proceeded with the construction of the bar and of the acrylic prosthesis, achieving a good hygienic mucous (Fig. 6). The provisional prosthesis was then replaced by the permanent one with the occlusal extended to the first molar (Fig. 7). The support of soft tissues, provided by the vestibular flange of the upper prosthesis, corrected vertical dimension and rectified the cheilitis that affected the patient before treatment — achieving natural protrusion of the lips and a mechanical lifting of facial wrinkles (Fig. 8). The orthopantomography after six months of treatment confirmed stability of the implant restoration (Fig. 9).
Conclusions
Total or partial edentulism is a serious handicap. Typically, responsibility for the edentulism rests directly with the sufferer. But responsibility also lies with dental professionals who need to educate young people as early as possible (with family involvement) on how to achieve a healthy lifestyle through correct personal hygiene, nutrition, physical activity and regular dental check-ups.
If a person does become edentulous, it is our duty to try to improve the quality of his or her life by restoring proper chewing function (to arrest further decline in health) and improving social life (to boost psychological health).
For many patients, replacing missing teeth in the maxilla with a full denture may be an appropriate solution. But a full denture in the lower arch is absolutely incongruous: It does not allow sufficient chewing efficiency; it does not address instability due to poor tissue support; it results in movement of the tongue and cheeks that often creates soreness and contributes to stress in social settings. Therefore it is necessary to inform people facing mandibular edentulism that they can regain comfort and masticatory function with insertion of two implants to stabilize the prosthesis.
A big step forward in treatment of edentulism has been achieved with acceptance of the “all-on-four” protocol, which is fast, minimally invasive and financially less burdensome for the patient. This solution, however, is not appropriate in all cases because patients must have adequate manual dexterity to maintain proper oral hygiene. The protocol also can have functional and esthetical limitations. In such cases, the best therapy is often an overdenture stabilized by four implants, especially in the maxilla and/or when the patient is unlikely to accept the time, expense and surgical invasiveness of regenerative therapies.
Editor’s note: A list of references is available from the publisher on request.
The iSy Dental Implant System is a unique concept designed to optimize the implant treatment with digital dentistry while minimizing the complexities of the...
Improvements in digital technologies in recent years have transformed several industries, including implant dentistry. These novel methodologies have ...
Platform switching is a means of achieving better esthetics and more predictable function by using a healing abutment that is narrower than the width of the...
Fixed hybrid dentures have been used to successfully restore fully edentulous patients for decades. Their durability, however, leaves room for improvement. ...
The removable prosthesis for many years has been considered as an alternative prosthetic project less important than the fixed prosthesis but today with the...
Craniofacial reconstruction has been recorded throughout recorded history. Human beings have found the need to reconstruct missing or defective ...
BOSTON: A significant majority of dental implant patients are older with facial aging and their dentists may need to consider the benefits of rejuvenation ...
Controversy involving the oral cavity and the effects of using bisphosphonates is causing an obstacle for dentists to help patients achieve optimal health. ...
In 28 years of placing and restoring implants, I have seen that three key factors need to be present to achieve esthetic implant restorations: good implant ...
Fixed hybrid dentures have been used to successfully restore fully edentulous patients for decades. Their durability, however, leaves room for improvement. ...
Live webinar
Thu. 14 May 2026
12:00 PM EST (New York)
Live webinar
Thu. 14 May 2026
2:00 PM EST (New York)
Prof. Hani Ounsi DDS PhD FICD
Live webinar
Tue. 19 May 2026
11:00 AM EST (New York)
Live webinar
Tue. 19 May 2026
1:00 PM EST (New York)
Prof. Dr. med. dent. Ivo Krejci
Live webinar
Wed. 20 May 2026
7:00 AM EST (New York)
Dr. Graham Carmichael BDSc (Hons), DClinDent (Pros), FRACDS, Dr. Robert Gottlander DDS
Live webinar
Wed. 20 May 2026
9:00 AM EST (New York)
Live webinar
Wed. 20 May 2026
1:00 PM EST (New York)
Prof. Dr. med. dent. Tim Joda PhD, MSc, eMBA
To post a reply please login or register