Search Dental Tribune

Dental News

Alliance benefits AACD members and their patients

BOSTON, MA, USA: American Academy of Cosmetic Dentistry (AACD) members will be interested to know that ChaseHealthAdvance, part of Chase Card Services, a ...

save

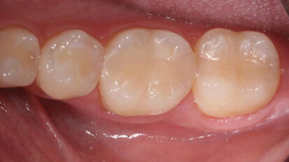
It stacks, sculpts, stays put

ANAHEIM, CA, USA: Dental Tribune recently sat down with Shofu Dental President Brian Melonakos, Director of Marketing Lynne Calliott and Product Manager ...

save

Soft-tissue dental lasers: an engineering perspective on choosing wisely

Putting on my design engineer and marketing hat, I thought this was a good time to take a look at what’s being offered with the new soft-tissue ...

save

Moving the dental world from analog to digital: 3Shape’s success story continues

COPENHAGEN, Denmark: On occasion of Scandefa, a major dental fair in Scandinavia, DTI recently visited the 3Shape headquarters in the heart of downtown ...

save

AMD LASERS is all the buzz at California Dental Association meeting

AMD LASERS, the world’s leading dental laser company, achieved a record number of sales of the Picasso line of dental lasers at the California Dental ...

save

ADA adds Seal of Acceptance area to its website

CHICAGO, IL, USA: The American Dental Association (ADA) has launched its new ADA Seal of Acceptance Web area. “The ADA designed the new ADA Seal of ...

save
advertisement

Zimmer Dental extends renowned implant line with Crestal Options

Mon. 23. May 2011

Zimmer Dental Inc., a leading provider of dental oral rehabilitation products and a subsidiary of Zimmer Holdings Inc., is pleased to introduce the newest member of its renowned Tapered ...

save

Study reveals poor state of US public dental care

NEW YORK, NY, USA: US dentists are more likely to offer emergency dental care to children enrolled in private insurance schemes than those with Medicaid, ...

save

Moving the dental world from analog to digital: 3Shape’s success story continues

On occasion of Scandefa, a major dental fair in Scandinavia, DTI recently visited the 3Shape headquarters in the heart of downtown Copenhagen, to learn ...

save

Cosmetic dentists meet in Boston

BOSTON, MA, USA: Professionals who specialize in cosmetic dentistry found a world of opportunity at “The Rise of Collaboration” — the 27th...

save

Interview: 'There seems to be no limit to what tissue we can regenerate'

Research has proven that dental stem cells hold potential for the successful regeneration of dental and other body tissues. In May, experts from around the ...

save

Number of teeth whitening treatments expected to increase

NEW YORK, NY, USA: Teeth whitening seems to be on everyone’s wish list—and this trend is likely to continue through 2011, according to a quick ...

save
advertisement

Carestream Dental introduces CS 9300-1

Fri. 13. May 2011

Carestream Dental, the exclusive manufacturer of KODAK Dental Systems, introduced the dual-modality CS 9300-1 at the California Dental Association meeting, held May 12-14 at the Anaheim Convention ...

save

AMD LASERS wins 2011 TechPoint Mira Award

AMD LASERS was awarded the prestigious TechPoint Mira Award in the coveted health and life sciences category. The award gala was held on May 7 at the JW ...

save

New products and educational opportunities on tap in sunny Anaheim

ANAHEIM, CA, USA: The spring edition of CDA Presents the Art and Science of Dentistry was held May 12-14 at the Anaheim Convention Center, and with plenty ...

save

Dental devices raise hope for facial rehabilitation

NEW YORK, NY, USA: A facial exercise programme involving devices used by dentists has shown prospects for the rehabilitation of facial nerve damage. ...

save
advertisement

Blood vessel cells aid tissue repair in teeth

NEW YORK, NY, USA/LEIPZIG, Germany: Research presented at the first global symposium for dental stem cell research in New York could mean a new breakthrough...

save

Raven Maria Blanco Foundation strives to raise awareness and prevent more unnecessary deaths

SAN ANTONIO: During the recent Texas Meeting, a very special transaction took place: The Raven Maria Blanco Foundation presented a check to the San Antonio ...

save

The facebow goes digital

Mon. 9. May 2011

Great smile design! Artfully crafted ceramic! Canted results. It’s happened to the best of us. You take the bite impression & the symmetry bite, work with a facebow, send everything off to ...

save

Third party patient financing

Mon. 9. May 2011

ChaseHealthAdvance provides third party patient financing for medical treatments in the dental, vision, cosmetic, audiology and veterinary fields. We help patients overcome the financial barriers ...

save
advertisement

Plenty of new offerings at 2011 Texas Meeting

SAN ANTONIO: It was definitely not the same old thing at the 2011 Texas Meeting, which took place May 5-8. All around the meeting, there were new speakers, ...

save

Align completes acquisition of Cadent

Align Technology announced May 2 that it has completed the acquisition of privately-held Cadent Holdings (Cadent), a leading provider of 3-D digital ...

save
advertisement

Hu-Friedy re-shuffles top management

NEW YORK/LEIPZIG, Germany: Dental instrument manufacturer Hu-Friedy has appointed Executive Vice President and Chief Financial Officer Ken Serota as new ...

save

Coltène/Whaledent announces formation of endodontic business unit

Coltène/Whaledent has a long history of manufacturing and selling endodontic products under the Roeko, Hygenic and Whaledent brands. The ParaPost ...

save

University of Maryland Dental School praised for bringing oral health research home

BALTIMORE, MD: Basic dental science often helps ease health disparities, a panel of leading oral health experts said at the first town hall meeting of the ...

save

‘Technology on the Rocks’

Dr Larry Emmott has more than 30 years of experience as a practicing dentist and has been speaking and writing on high-tech in dentistry for nearly 20 ...

save
advertisement

Nanohybrid composite solutions that patients love

I graduated from dental school in 1977. At that time, adhesive dental options were just beginning to emerge. Caulk Nuvafil was the first light-cured ...

save

New pathogen contributes to ECC

CAMBRIDGE, MA: Researchers at The Forsyth Institute have made a significant discovery about the nature of childhood dental disease. The scientific studies ...

save

Life-changing dentistry

Our 58-year -old patient had a lifetime of periodontal disease and rampant decay. As a young woman, Donna’s dental disease was diagnosed and treatment...

save

Dentists nationwide offer free oral cancer screenings

NEW YORK CITY: April was Oral Cancer Awareness Month, and thanks to the efforts of the American Dental Association (ADA), the Oral Cancer Foundation (OCF) ...

save
advertisement
advertisement