A smile that is perceived as unattractive mars confidence, sociability and self-regard. For some patients, the lack of visual appeal stems in large part from a “gummy smile,” which a layperson begins to consider disharmonious when there is 3 to 4 mm of gingiva displayed.[1] Management of such a complaint often entails both periodontal and restorative therapy, if not also orthognathic surgery and facial plastic procedures.
The following report showcases two-stage esthetic crown lengthening and prosthetic rehabilitation for the treatment of a gummy smile.
Patient history
A medically and periodontally stable 40-year-old female presented with excessive, asymmetric gingival display of 5 to 7 mm upon smiling, short clinical crowns and incisal wear from tooth #4 to #13 (Figs. 1, 2).
embedImagecenter("Imagecenter_1_308",308, "large");
Due to attrition and the relationship between the dentition and periodontal drape, the anterior teeth appear square-shaped and “masculine.”
Diagnoses included (1) Coslet Type IA altered passive eruption, evidenced by a wider-than-customary dimension of keratinized gingiva and an alveolar crest at least 1.5 apical to the cementoenamel junction (CEJ); and (2) vertical maxillary excess.[2,3] The patient also shows a thick tissue biotype.
Treatment plan
- Consult with oral and maxillofacial surgeon regarding orthognathic surgery
- Consult with facial plastic surgeon regarding lip lowering therapy
- Consult with restorative dentist regarding ideal tooth shape set-up and fabrication of surgical guide
- Two-stage esthetic crown lengthening from tooth #4 to #13
- First stage: osseous recontouring
- 6-week healing period
- Second stage: gingivectomy
- 3-month healing period
- Final porcelain veneer restorations for teeth #4 through #13
- Delivery of maxillary occlusal bite guard
Treatment plan rationale
Ideal treatment for the patient with vertical maxillary excess embraces a host of dental and medical specialties.
In such a case as this, in which the patient demonstrates up to 7 mm of gingival display, LeFort I maxillary impaction may further refine results if conventional crown lengthening insufficiently elevates the periodontal margin, creates an unacceptable crown-to-root ratio or precludes achievement of a natural-seeming emergence profile due to exposure of excessive radicular structure.[3]
Likewise, neuromuscular relaxation of the upper lip by botulinum toxin type A (BTX-A) depresses the lip, and thus masks any mucosal surplus left after periodontal surgery.[4]
As the patient declined orthognathic and facial plastic therapy, the treatment rendered to alleviate her gummy smile and reestablish tissue and dental symmetry included a two-stage crown lengthening procedure followed by delivery of porcelain veneers from tooth #4 to #13.
A biphasic crown lengthening approach minimizes the 1 to 3 mm coronal gingival shifts common after one-stage procedures detected especially in patients with thick soft-tissue biotypes (such as the patient featured in this report).[5]
By first reshaping only the osseous crest and letting healing commence, it is possible to correct any coronal rebound of the soft tissue seen after healing at the second, gingivectomy-only, surgery. Once the attachment apparatus fully remodels post-gingivectomy, which takes roughly three months, final restorations may be cemented.
Restorative consult
From the diagnostic models, the patient’s prosthodontist created an ideal dental wax-up, upon which a vacuform matrix was applied to generate a surgical guide (Figs. 3, 4).
Osseous recontouring (first stage)
The first stage of biphasic crown lengthening of teeth #4 through #13 involved only osseous resection. The patient took 0.25 mg oral triazolam and 600 mg ibuprofen one hour before surgery.
Anesthesia with 2 percent lidocaine with 1:100,000 epinephrine and 0.5 percent bupivicaine with 1:200,000 epinephrine was given via local infiltration.
A buccal sulcular incison was made extending from tooth #4 to #13, and vertical incisions were dropped at the mesio-buccal and disto-buccal line angles of teeth #4 and #13. A full-thickness flap was elevated (Fig. 5).
Ostectomy was performed using an Ochsenbein chisel, carbide finishing bur and Neumeyer bur to position the alveolar crest at least 3 mm from the anticipated restorative margin at each site, as verified by the surgical guide (Fig. 6).
The bone was gradualized such that no sharp edges or bulbous areas existed, and positive architecture was preserved. The flaps were replaced and sutured in sling fashion with 4-0 expanded polytetrafluoroethylene (ePTFE) (Fig. 7). The gingival height and shape post-surgery appeared similar to that found before surgery, even 10 days after intervention (Fig. 8).
Gingivectomy (second stage)
Once the soft tissue resettled six weeks post-ostectomy (Fig. 9), the second stage of biphasic crown lengthening of teeth #4 through #13 was executed. The patient was sedated and anesthetized as above.
A definitive external bevel gingivectomy of teeth #4 through #13 was performed with a #15 scalpel utilizing the surgical template to delineate the desired tooth contours (Fig. 10).
The papillae were left intact and no sutures were required. Healing four weeks after the gingivectomy revealed a harmonious gingival drape (Fig. 11).
Final prosthetics
Placement of final veneers on teeth #4 through #13 occurred three months post-gingivectomy (Fig. 12). An occlusal bite guard was delivered to protect the restorations.
In order to correct lip line asymmetry and further diminish gingival display, neuromuscular lip correction (lowering) with BTX-A was reconsidered, but the patient did not pursue treatment.
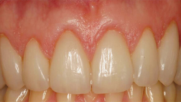
Six years after veneer placement, the patient remained satisfied with the functional and esthetic result achieved solely through periodontal surgery and prosthetic rehabilitation (Figs. 13, 14).
Postoperative instructions
After each surgical procedure, the patient was instructed to take 600 mg of ibuprofen every 4–6 hours, hydrocodone 7.5 mg/acetaminophen 750 mg every 4–6 hours as needed for pain and 100 mg of doxycycline a day for 10 days.
The patient was instructed not to brush at or near the surgical site but instead to rinse with 0.12 percent chlorhexidine or warm saline twice daily. The patient was also directed not to chew in the affected area for at least two weeks.
Suture removal occurred at 10 to 14 days post-surgery.
Editorial note: This article was originally published in Cosmetic Tribune Vol. 4, No. 4, April 2011. A complete list of references is available from the publisher.
Dr. Robert A. Lowe will present a live webinar, “Laser Assisted Crown Lengthening – Gingival and Bony Corrections for Better Restorative Outcomes,” on...
In the anterior region where esthetics are paramount, certain complications can preclude the use of all-ceramic material. The task then becomes finding a ...
CHICAGO, USA: NuSmile offers practitioners easy placement of esthetic stainless-steel crowns for children, said Diane Johnson Krueger, CEO and president of ...
Alberta dentist Michael Zuk, aka “The Tooth Collector,” is at it again, coming in as top bidder on a porcelain crown made for a front tooth of ...
A medically and periodontally stable 24-year-old woman presented with two failing root canals on teeth #8 and #9. Her dental records indicated both teeth ...
Single-unit and short-span restorations present clinicians with an excellent opportunity to utilise digital workflows. These high-accuracy appliances ...
BruxZir Solid Zirconia crowns and bridges were originally designed by Glidewell Laboratories as an esthetic alternative to posterior cast gold or metal ...
“The trend in dentistry today is clearly toward more esthetic and less invasive. Indirect resin and ceramic inlays and onlays are not only compatible ...
Clinicians are leveraging their investments in chairside digital impression systems to reduce the time and cost of implant therapy. Dental technicians ...
The removable denture may seem an outdated rehabilitation. However, it is the foundation on which all prosthetic procedures are based; therefore, it is ...
Live webinar
Thu. 14 May 2026
12:00 PM EST (New York)
Live webinar
Thu. 14 May 2026
2:00 PM EST (New York)
Prof. Hani Ounsi DDS PhD FICD
Live webinar
Tue. 19 May 2026
11:00 AM EST (New York)
Live webinar
Tue. 19 May 2026
1:00 PM EST (New York)
Prof. Dr. med. dent. Ivo Krejci
Live webinar
Wed. 20 May 2026
7:00 AM EST (New York)
Dr. Graham Carmichael BDSc (Hons), DClinDent (Pros), FRACDS, Dr. Robert Gottlander DDS
Live webinar
Wed. 20 May 2026
9:00 AM EST (New York)
Live webinar
Wed. 20 May 2026
1:00 PM EST (New York)
Prof. Dr. med. dent. Tim Joda PhD, MSc, eMBA
To post a reply please login or register