The STA Injection System (Fig. 1) available from Milestone Scientific, a computer-controlled local anesthetic delivery or C-CLAD, is not only great for single-tooth anesthesia but is also very a useful system for administering multiple-tooth anesthesia injections, such as the palatal-approach anterior superior alveolar nerve block (P-ASA), according to the company.
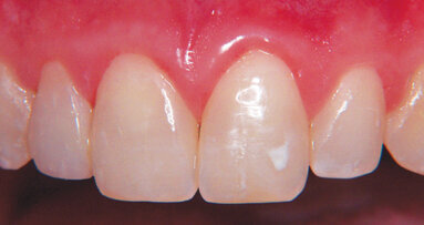
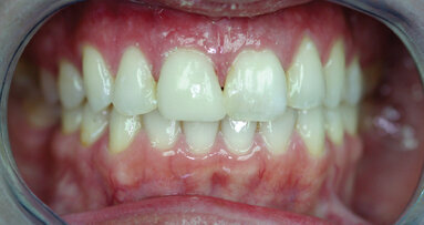
The P-ASA is a single-site palatal injection into the nasopalatine canal (Fig. 2), which can produce bilateral anesthesia to six anterior teeth and the related facial and palatal gingival tissues (Fig. 3) without causing collateral numbness to the patient’s upper lip, face and muscles of facial expression (Fig. 4). Patients have said they really appreciate this.
Using significantly less anesthetic, this easy-to-administer injection can take the place of at least four supraperiosteal buccal infiltrations and a palatal injection.
It is valuable for cosmetic restorative dentistry procedures such as composites, veneers and crowns because you can immediately assess the patient’s smile line when the lip is used as a reference point.
The P-ASA is also useful for endodontic, periodontal and implant procedures. In fact, it is recommended as the primary injection for any or all of the six maxillary anterior teeth.
During administration and post-operatively, the P-ASA is a very comfortable injection for your patients because of the STA computer-controlled flow rate below the patient’s pain threshold, the use of minimal pressure and the ability to easily control the needle using the wand handpiece.
Milestone Scientific asserts it’s easy to do, you’ll like it and so will your patients.
embedImagecenter("Imagecenter111",111);
More information, including an instructional video, is available from Milestone Scientific.
The STA Injection System, a computer-controlled local anesthetic delivery, or C-CLAD, is not only great for single tooth anesthesia, but is also very useful...
Biomimetic dentistry is based on the philosophy that the intact tooth in its ideal hues and shades and, more importantly, its intracoronal anatomy, ...
After years of schooling, thousands of dollars in tuition, hours upon hours of clinics and exams, and tests and on and on, finally you entered the working ...
Traditionally, cosmetic dentistry has always been faced with the challenge of treating poorly aligned teeth. Treatment options available for mildly and ...
James B. Fine, Senior Associate Dean for Postdoctoral Academic and Student Affairs at Columbia University Medical Center in New York, is a tall, elegant ...
CHICAGO, Ill., USA: In a news release issued today (Aug. 12, 2020) the American Dental Association (ADA) said that it “respectfully yet strongly disagrees...
When opportunity knocks, is your practice ready to answer? As dentists we have opportunities every day to help our patients and contribute to improving our ...
NEW YORK, NY, USA: Revenues generated from cosmetic dental procedures will likely remain stable, if not increase, in the coming year, according to a recent ...
HONOLULU, HI, USA: Dr Jimmy Eubank, a world-renowned speaker and researcher in the field of cosmetic dentistry for more than 30 years, was honored with a ...
Zirconia implants are the best solution for missing teeth in the cosmetic region. Those who attend a live webinar to be presented by Dr. Paresh Patel, ICOI ...
Live webinar
Tue. 12 May 2026
1:00 PM EST (New York)
Live webinar
Thu. 14 May 2026
12:00 PM EST (New York)
Live webinar
Thu. 14 May 2026
2:00 PM EST (New York)
Prof. Hani Ounsi DDS PhD FICD
Live webinar
Tue. 19 May 2026
11:00 AM EST (New York)
Live webinar
Tue. 19 May 2026
1:00 PM EST (New York)
Prof. Dr. med. dent. Ivo Krejci
Live webinar
Wed. 20 May 2026
7:00 AM EST (New York)
Dr. Graham Carmichael BDSc (Hons), DClinDent (Pros), FRACDS, Dr. Robert Gottlander DDS
Live webinar
Wed. 20 May 2026
9:00 AM EST (New York)
To post a reply please login or register