When opportunity knocks, is your practice ready to answer? As dentists we have opportunities every day to help our patients and contribute to improving our bottom line by being ready to provide emergency cosmetic dental treatment. Working such patients into our schedule generates treatment fees at a higher-than-normal profit margin, and helps generate longer-term business.
Some dentists will reserve a half hour every day for such emergencies. Because our practice has six operatories and a great staff, we are able to work these patients into our schedule.
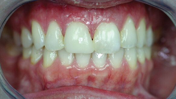
Emergency case
For example, recently we received a frantic call from a new patient, age 32. She had fallen the day before and severely fractured her central incisor. She was crying and said she could not go to work looking the way she did. She also had pain from an exposed nerve.
embedImagecenter("Imagecenter_1_765",765, "large");
Our systems kicked in right away. At our morning huddle we had already discussed where to schedule any emergencies for that day. The front desk scheduled the patient and gave her a fee range to expect for treatment. The patient arrived at the appointed time and filled out her forms. One of our assistants seated her in the treatment room and obtained a digital X-ray film, which I reviewed while treating a patient in another room. I made a preliminary diagnosis and informed the assistant. The assistant printed the necessary consent and prescription forms from our computer.
Relieve pain, restore smile
When I had a short break, I stopped in and talked to the patient and informed her of the need for a root canal, post and a crown. She was grateful that we could care for her that same day, relieving her pain and restoring her smile.
While the patient watched a CAESY Education Systems video on the proposed treatment, our staff entered the treatment into the computer, used the Internet to verify her insurance benefits and make an application for her to CareCredit to help finance her portion of the fee. The front desk staff helped the patient complete our financial arrangement form.
After numbing the patient, the staff took digital pre-op photos, and I returned at my next break to treat the patient. First I completed the root canal using a Brassler Endosequence NiTi system with battery-powered handpiece, performing root-length determination with a Root ZX.
My EFDA-certified assistant (Expanded Functions Duties Auxiliary) set up our Cerec CAD/CAM scanning unit. I placed a fiber post and build-up using Unicem II. The tooth was prepped. It was noted that the patient’s other teeth had some older composite bonding. The preparation was scanned, and the crown was designed and milled using a B1 block of Empress porcelain from Ivoclar. The EFDA assistant fitted the crown to place. I verified the fit, and the crown was etched and silanated. I bonded the crown in, again using the Unicem II. The EFDA assistant adjusted the bite and obtained a final polish with our Brassler porcelain polishing kit.
Two hours later
In total, the patient was in our office for about two hours. I spent about half an hour chairside with her as I moved back and forth with previously scheduled patients.
The patient was extremely happy to have her smile back and said she next wants to replace her old composite bonding with porcelain. This will enable us to better balance out the width of the centrals. We were able to help the patient and add some nice bonus production to our day. A real win-win situation. By having the systems in place, technology available and a well-trained staff on hand, we were able to easily help a patient and our bottom line.
Note: This article was published in Cosmetic Tribune U.S. Edition, Vol. 6 No. 1, April 2013.
NEW YORK, N.Y., USA: Dental isolation is one of the bedrock challenges in dentistry. The mouth is a difficult environment in which to work. It is wet and ...
Endodontic treatment is a predictable procedure with high success rates. Success depends on a number of factors, including appropriate instrumentation, ...
CHARLOTTE, N.C., US: Primeprint, Dentsply Sirona’s intuitive, automated, medical-grade 3D printing solution, is set to receive an upgrade that will help ...
The STA Injection System (Fig. 1) available from Milestone Scientific, a computer-controlled local anesthetic delivery or C-CLAD, is not only great for ...
CHESTERFIELD, Mo., USA: In response to the Covid-19 pandemic, through June 31, DOVE Dental Products will provide 25 SE Plus Single-use Disposable Saliva ...
Biomimetic dentistry is based on the philosophy that the intact tooth in its ideal hues and shades and, more importantly, its intracoronal anatomy, ...
If the economy of the last two years has taught us anything, it is this: Dental practices have to be innovative and prepared to meet the challenges of a ...
The STA Injection System, a computer-controlled local anesthetic delivery, or C-CLAD, is not only great for single tooth anesthesia, but is also very useful...
Sulzer Mixpac has developed a new one-component system for hygienic dental applications: the 1 ml system. The product has a standard Luer Lock, which ...
PITTSTON, Pa., USA: GCL Systems and Benco Dental have announced a partnership to expand distribution for the GCL line of Gingival Cuff Links to dental ...
Live webinar
Thu. 14 May 2026
12:00 PM EST (New York)
Live webinar
Thu. 14 May 2026
2:00 PM EST (New York)
Prof. Hani Ounsi DDS PhD FICD
Live webinar
Tue. 19 May 2026
11:00 AM EST (New York)
Live webinar
Tue. 19 May 2026
1:00 PM EST (New York)
Prof. Dr. med. dent. Ivo Krejci
Live webinar
Wed. 20 May 2026
7:00 AM EST (New York)
Dr. Graham Carmichael BDSc (Hons), DClinDent (Pros), FRACDS, Dr. Robert Gottlander DDS
Live webinar
Wed. 20 May 2026
9:00 AM EST (New York)
Live webinar
Wed. 20 May 2026
1:00 PM EST (New York)
Prof. Dr. med. dent. Tim Joda PhD, MSc, eMBA
To post a reply please login or register