Search Dental Tribune

Dental News

Dentists paint for a good cause

ATLANTA, USA: Many dental professionals who had a few extra minutes to spare at the recent Hinman Meeting stopped by and visited the Foundation for Hospital...

save

Interview: 'HC reform does not include provisions to meaningfully improve access to dental care'

The health care reform bill recently approved by the US Congress aims to improve access to health care for over 30 millions Americans. However, dental ...

save

Olympics donate medical, dental leftovers to Haiti

NEW YORK, USA/LEIPZIG, Germany: Unused dental and medical supplies from the 2010 Winter Olympics in Vancouver are currently being flown out to Canadian ...

save

Murder fugitive found by dentist after 40 years

NEW YORK, USA/LEIPZIG, Germany: An oral surgeon from Bellevue, WA, USA, has been helping authorities to identify a fugitive who murdered his grandfather ...

save

Hinman Meeting strives for excellence

ATLANTA, USA: The 98th Thomas P. Hinman Dental Meeting got off to a roaring start on Thursday morning, 25 March, at the Georgia World Congress Center and ...

save

Diode lasers: The soft tissue handpiece

While dental lasers have been commercially available for several decades and their popularity among patients is unparalleled, the dental profession has ...

save
advertisement

Dentist offers free exams and cleanings, raises money for environment

SANTA MONICA, CA, USA: Dr Nushin Shir, owner of Artistic Center for Dentistry, is celebrating the grand opening of her practice in Santa Monica, CA, USA, by...

save

Does anyone care about oral care?

Too often oral health care providers are appalled by the oral condition of residents from long term care facilities brought to the clinics. We oral health ...

save

US decides for health care reform, sets back dentists

NEW YORK, USA/LEIPZIG, Germany: After almost a year of political negotiation, the US Congress has approved yesterday legislation to overhaul the ...

save

LM-Dental

  Making dental care safe, efficient and pleasant.   LM-Dental, founded in 1973, develops, produces and markets high-tech dental hand instruments and their tracking system ...

save

First hand-held dental laser approved by US regulators

NEW YORK, USA/LEIPZIG, Germany: The US Food & Drug Administration (FDA) has given 510(k) clearance to iLase, the world's first hand-held dental laser ...

save
advertisement

ADA says panels need working dentists and more should receive care

WASHINGTON, DC and NEW YORK, NY, USA: The Institute of Medicine Committee on Oral Health Access to Services was taken to task recently by the American ...

save

How can hygienists ‘straighten up’?

Hygienists are the health drivers for the dental practice. We are very fortunate to be able to create lasting relationships with our patients. We see our ...

save

Broke a tooth? Grow another!

BOSTON, USA: To all those who have made deals with the tooth fairy in the past: You probably sold your teeth below their fair value. Dr. George Huang, ...

save

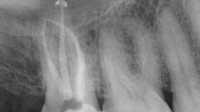
Troubleshooting calcified canals: clinical case review

The patient pictured in Figure 1 was referred because the first clinician could not locate the canal(s). The patient had pain when chewing on #13 and mild ...

save
advertisement

An endodontic absurdity

Over time, it has become increasingly clear that teaching K-files is devoid of common sense and makes endodontics more difficult and fraught with procedural...

save

Den-Mat snaps on smile with major acquisition

NEW YORK, USA/LEIPZIG, Germany: Snap-On Smile is now part of Den-Mat Holding, LLC. In a press note released earlier this week, the company announced that ...

save

Tooth wear and new technology to manage dentin hypersensitivity

Dentin hypersensitivity is growing in incidence and can be a major concern for patients. The dentin is normally covered by enamel or cementum. As a result ...

save

Levin shares his views on challenges facing dentists

Dental practice management consulting company Levin Group is celebrating its 25th anniversary this year. Founded in 1985 by Dr Roger P. Levin, a ...

save
advertisement

Do what you do best: A statement to live by

There was a time when people were forced to focus on and improve areas they were not strong in. It was widely accepted to spend enormous amounts of time ...

save

Insect glue could seal wounds in dental surgery

NEW YORK, USA/LEIPZIG, Germany: Silk spinned by caddisfly larvae underwater could one day suture surgical wounds, new reseach from the University of Utah ...

save
advertisement

Astra Tech's latest implant system available in the US

NEW YORK, USA/LEIPZIG, Germany: Dentists in the USA now have access to the new OsseoSpeed TX line from Astra Tech. The Sweden-based manufacturer launched ...

save

US$22 billion for health information technology, but not quite so much for dentistry

When the Health Information Technology for Economic and Clinical Health Act (HITECH) was signed into law in 2009, US$22 billion was set aside to improve ...

save

D. Walter Cohen: An iconic icon

Each generation has a different concept or image of an icon of contemporary culture. D. Walter Cohen is such an icon of dentistry. He is a pinnacle of ...

save
advertisement

Enhancing dentistry with the dental-video procedure scope

Every once in a while a dental product comes along with the ability to change our lives for the better, such as the high-speed handpiece. The Dental ...

save

Practice transition planning

For most dentists, ownership of their dental practice is the major focus of their energy expenditures, financial situation and professional lives. Years of ...

save

Dentists should limit staff access to drugs

TUCSON, USA: Dental offices and the pharmaceuticals used there present the risk of drug abuse, but dentists can put policies in place that help reduce the ...

save

Metal foam takes stress off dental implants

NEW YORK, USA/LEIPZIG, Germany: A newly developed metal foam that mimics the natural structure of bones could help to prevent the rejection of biomedical ...

save
advertisement
advertisement