The patient pictured in Figure 1 was referred because the first clinician could not locate the canal(s). The patient had pain when chewing on #13 and mild spontaneous pain leading to a diagnosis of a non-vital pulp before referral. The referring doctor accessed the tooth without canal location. The patient was subsequently referred.
This clinical case review will discuss the clinical findings, management and potential complications treating this case from a treatment planning perspective and discuss the clinical technique and materials used.
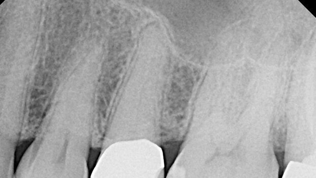
Upon referral the patient was asymptomatic and there was no swelling. The tooth was mildly percussion sensitive, and within normal limits to palpation, mobility and probings. Radiographic assessment of #13 showed open crown margins and calcified canals.
Risk factors in endodontic management of #13
#13 is at moderate risk of cervical perforation if the access were to veer off a coronal to apical straight line. Every effort must be made to continue dentin removal in line with the true canal until the canals are located.
Excessive removal of dentin at the cervical region of the tooth could, in addition to perforation risk, make the coronal tooth structure susceptible to coronal and, ultimately, vertical root fracture.
The anticipated master apical taper and master apical diameter of the case should be determined before starting. In this clinical case, the anticipated master apical taper was .08 and the anticipated master apical diameter was #40 or possibly a #50 ISO tip size.
The porcelain was at risk of fracture during access if the coronal opening needed expansion significantly beyond its current size.
In order to gain the greatest visual and tactile command over access, the use of enhanced visualization and magnification is essential. The surgical operating microscope (SOM; Global Surgical) is optimal and in this case a suitable substitute would be the 4.8x Class IV HiRes Plus loupes with a light source (Orascoptic).
While a comprehensive discussion of the use of the SOM or loupes is beyond the scope of this paper, it is noteworthy that once the temporary filling is removed, the texture and color of the dentin should be evaluated to determine if the clinician is in line with the canal or off track.
The depth of dentin removal in the access is critical. If the clinician has progressed 7 to 8 mm in access and the canal is not located, it is a virtual certainty that the access is misdirected and perforation risk is extreme.
Once the canal is located, the clinician faces the risk of canal blockage if canal enlargement is mismanaged. The use of large orifice openers (.12, .10 or .08) or Gates Glidden drills (as the first instruments in the root) are contraindicated as the canal lumen could easily become blocked with dentin and pulp debris.
More appropriately, it is essential the clinician spend time with small hand K files to negotiable the canal from orifice to apex and take the initial canal size from a #6 to #15 before using RNT files. In this clinical case, two canals were located and a #6 precurved hand K file inserted until a tangible pop was felt at the minor constriction of the apical foramen (MC). The electronic apex locator was then used to take a true working length (TWL), a length that was confirmed when the first RNT file was taken to the apex and after the final RNT file was taken to the apex.
The RNT system used in this clinical case was the Twisted File (SybronEndo). The cutting flutes of TF are manufactured by twisting a piece of nickel titanium in the Rhomohedral crystalline phase configuration. As a result of its manufacture and triangular cross section, TF can easily create .08 tapers in a root such as #13. This taper is larger than the taper commonly prepared using RNT files that are manufactured by a grinding process. Twisting nickel titanium in R Phase and a triangular cross sectional design provides a flexible and highly efficient cutting instrument. In this clinical case, the .08 was able to reach the apex in approximately 4 insertions.
After the .08/25 TF reached the apex, the .06/30/35 and .04/40 TF were taken to the apex of the two canals in one insertion of each TF size. The .06 and .04 tapers of the TF files easily reached the apex of the root as they cut dentin only on their tips.
The tooth was obturated with RealSeal bonded obturation with the SystemB technique utilizing the Elements Obturation Unit. A .06/20 master cone was utilized. 3 mm back from the tip of a .06/20 master cone, the master cone is approximately .38 mm. 3 mm were trimmed from a .06/20 master cone and tug back was achieved. RealSeal sealer was placed with the Skini syringe using Navi tips (Ultradent).
The case could just have easily been obturated with RealSeal One Bonded Obturators (SybronEndo) an obturator version of master cone based RealSeal bonded obturation. RS1 has RealSeal obturators of .04 taper that are injection molded over polysulphone carriers in tip sizes 20-90. RealSeal has been shown both in vitro and in vivo studies to provide a statistically significant barrier to microleakage relative to gutta percha.
Per the referring doctor’s request, a temporary was placed into the access. A layer of flowable composite was placed on the pulpal floor to protect the obturation in the form of Permaflo Purple (Ultradent) until the tooth could be permanently restored.
After cone fit and obturation, a sealer puff resulted. This sealer puff is a sign that apical patency was maintained throughout the entire process. While it is not a sign of treatment superiority, it does signify the cleaning and shaping performed fulfilled the goals of canal shaping in that the apical foramen was kept at its original size and position and the original position of the canal was maintained.
The clinical management of a calcified upper first bicuspid is detailed. Emphasis has been placed on preoperative treatment planning to avoid iatrogenic events. The tooth was shaped with Twisted Files to a master apical taper of .08 and a #40 master apical diameter using four files and approximately seven total insertions per canal. I welcome your feedback.
About the author
Dr Richard E. Mounce is the author of the non-fiction book Dead Stuck, which offers “one man’s stories of adventure, parenting, and marriage told without heaping platitudes of political correctness” by Pacific Sky Publishing. For more information, see www.DeadStuck.com. Mounce lectures globally and is widely published. He is in private practice in endodontics in Vancouver, WA, USA.
WATERTOWN, MA, USA: Pulpdent Corp. — a manufacturer of adhesives, composites, sealants, cements, etching gels, calcium hydroxide products, endodontic ...
Over the past two decades, several studies have demonstrated that mandibular retrusion is a common skeletal feature in patients with Class II ...
A recipient of the Pride Institute’s 2015 “Best of Class” Technology Award, the EyeSpecial C-II is the first digital camera designed ...
Single-unit and short-span restorations present clinicians with an excellent opportunity to utilise digital workflows. These high-accuracy appliances ...
TORONTO, Ontario Canada: AACD 2016, the annual meeting of the American Association of Cosmetic Dentistry, was organized the same way you create a building ...
As products utilizing artificial intelligence rapidly emerge in the orthodontic market, clinicians, educators and residents are increasingly aware of the ...
Montreal, Quebec, CANADA: Endodontic specialists from all over the world gathered at Palais des Congrès in Montreal April 10 to 13 for AAE19, annual ...
DENVER, Colo., USA: AAE18, the annual meeting of the American Association of Endodontists, was held April 25-28 at the Colorado Convention Center. The ...
ANAHEIM, Calif., USA: The 2016 version of CDA Presents the Art and Science of Dentistry — one of the largest annual gatherings of dental-product ...
ANAHEIM, USA: The California Dental Association held its spring meeting, CDA Presents The Art and Science of Dentistry, from 13 to 16 May at the Anaheim ...
Live webinar
Tue. 12 May 2026
1:00 PM EST (New York)
Live webinar
Thu. 14 May 2026
12:00 PM EST (New York)
Live webinar
Thu. 14 May 2026
2:00 PM EST (New York)
Prof. Hani Ounsi DDS PhD FICD
Live webinar
Tue. 19 May 2026
11:00 AM EST (New York)
Live webinar
Tue. 19 May 2026
1:00 PM EST (New York)
Prof. Dr. med. dent. Ivo Krejci
Live webinar
Wed. 20 May 2026
7:00 AM EST (New York)
Dr. Graham Carmichael BDSc (Hons), DClinDent (Pros), FRACDS, Dr. Robert Gottlander DDS
Live webinar
Wed. 20 May 2026
9:00 AM EST (New York)
To post a reply please login or register