While dental lasers have been commercially available for several decades and their popularity among patients is unparalleled, the dental profession has taken to this treatment modality rather slowly. Lasers have been thoroughly documented in the dental literature. They are an exciting technology, widely used in medicine, kind to tissues, and excellent for healing.
So why have they not been more widely embraced by the practicing dentist? There is a wide perception in the profession that somehow the dental laser is not useful, too complicated and too expensive. These parameters have change forever with the arrival of the diode laser onto the dental scene. There is now a convergence of documented scientific evidence, ease of use and greater affordability that makes the diode laser a “must have” for every dental practice.
Diode lasers: The science in brief
L A S E R is an acronym for light amplification by stimulated emission of radiation. Lasers are commonly named for the substance that is stimulated to produce the coherent light beam. In the diode laser, this substance is a semiconductor (a class of materials which are the foundation of modern electronics including computers, telephones and radios). This innovative technology has produced a laser that is compact, and far lower in cost than earlier versions. Much of the research has focused on the 810nm diode laser. This wavelength is ideally suited for soft tissue procedures since it is highly absorbed by haemoglobin and melanin. This gives the diode laser the ability to precisely cut, coagulate, ablate or vaporize the target soft tissue1.
Treatment with the 810nm diode laser shown in Figure 1 (Picasso Diode Laser, AMD LASERS) has been shown to have a significant long-term bactericidal effect in periodontal pockets. A. actinomycetemcomitans, an invasive pathogen associated with the development of periodontal disease and generally quite difficult to eliminate, responds well to laser treatment.2,3 Scaling and root planing outcomes are enhanced when diode laser therapy is added to the dental armamentarium. The patient is typically more comfortable during and after treatment, and gingival healing is faster and more stable.4,5
Diode laser: Ease of use
Early adopter dentists thrive on new technologies. They enjoy the challenges that come with being the first to use a product. Most dentists, however, are not early adopters. Over the past two decades lasers have intimidated mainstream dentists with their large footprint, lack of portability, their high maintenance profile, confusion of operating tips, and complex procedural settings.
Common questions are: When do I use which tip? What setting works for which procedure? Why do I need a laser when I have been managing well without one?
Enter the diode laser. It is compact. It can easily be moved from one treatment room to another. It is self-contained, and it does not have to be hooked up to water or air lines. It has one simple fiberoptic cable, which can be utilized as a reusable operating tip. The units come with several presets, although after a very short time the operator becomes so comfortable that they are rarely needed. The power and pulse settings are quickly adjusted to suit the particular patient and procedure.
One of the authors is a dentist who does not thrive on the challenge of brand-new, high-tech, high-stress technology. In fact, having tried many lasers in the past that promised to be user-friendly, they were found to be anything but. The 810nm diode laser was a totally different experience; after a brief in-office demonstration, the laser handpiece felt comfortable enough to perform some simple clinical procedures. Further online training and lecture courses enhanced both clinical comfort level and competency.
Diode laser: affordability
Laser technology has always come with a high price tag. Manufacturing costs are high and cutting edge technology commands steep pricing. Diode lasers are less expensive to produce. Breakthrough pricing for this technology has now reached under US$5,000. At this level the diode laser becomes eminently affordable for the average practicing dentist.
Diode laser: Why do I need this technology?
The 810nm diode laser is specifically a soft tissue laser. This wavelength is ideally suited for soft tissue procedures since haemoglobin and melanin, both prevalent in dental soft tissues, are excellent absorbers. This provides the diode laser with broad clinical utility: it cuts precisely, coagulates, ablates or vaporizes the target tissue with less trauma, improved post-operative healing, and faster recovery times6,7,8. Given the incredible ease of use and its versatility in treating soft tissue, the diode laser becomes the “soft tissue handpiece” in the dentist’s armamentarium. The dentist can use the diode laser soft tissue handpiece to remove, refine and adjust soft tissues in the same way that the traditional dental handpiece is used on enamel and dentin. This extends the scope of practice of the general dentist to include many soft tissue procedures.
The following procedures are easy entry points for the new laser user:
1. Gingivectomy
Haemostasis
Gingival troughing for impressions
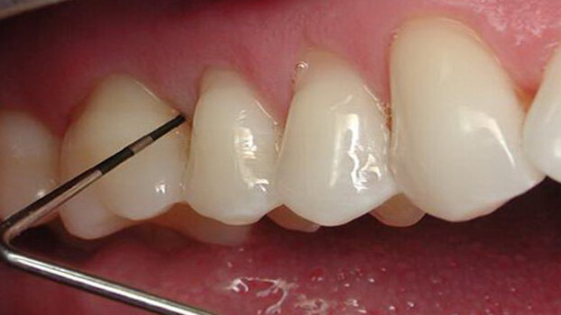
The diode laser makes restorative dentistry a breeze (Picasso, AMD LASERS). Any gingival tissue that covers a tooth during preparation can be easily removed as haemostasis is simultaneously achieved, as shown in Figs. 2-6. The restoration is no longer compromised due to poor gingival conditions. There is no more battling with unruly soft tissue and blood. Excess gingival tissue can be readily managed (Figs. 7-8) for improved restorative access to Class V preparation (ezlase, Biolase Technology)
Gingival troughing prior to taking impression, shown in Figs. 6-7 (Picasso, AMD LASERS) ensures an accurate impression (particularly at the all-important margins) and an improved restorative outcome. Packing cord is no longer necessary.
Diode lasers make restorative dentistry less stressful, more predictable and more enjoyable for the dental team and the patient.
2. Operculectomy
Excision and/or recontouring of gingival hyperplasia
Frenectomy
These procedures are not commonly offered or performed by the general dentist. They are examples of the expanded range of services readily added to the general practice. The dentist becomes more proactive in dealing with hyperplastic tissues that can increase risk of caries and periodontal disease. (See Figs. 9-11.)
A frenectomy is now a simple and straightforward procedure (ezlase). Fig 12
3. Laser assisted periodontal treatment
The use of the diode laser in conjunction with routine scaling and root planing is more effective than scaling and root planning alone. It enhances the speed and extent of the patient’s gingival healing and post-operative comfort.4,5. This is accomplished through laser bacterial reduction (Picasso, AMD LASERS), debridement and biostimulation. (See Figs. 13-14.)
A. actinomycetemcomitans, which has been implicated in aggressive periodontitis, may also be implicated in systemic disease. It has been found in atherosclerotic plaque9 and there has been recent data suggesting that it may be related to coronary heart disease10. The diode laser is effective in decreasing A. actinomycetemcomitans2,4 and thereby indirectly improving the patients’ heart health.
Laser education
Most diode laser manufacturers provide some education to get the new user started quickly and effectively. The most comprehensive online diode laser introductory course with certification (which includes the science, safety and clinical procedures) can be found at the International Center for Laser Education, www.dentallaseredu.com, tel: +1 877 522 6863. This course provides everything necessary to get started with soft tissue diode laser therapy. Advanced courses are available for more complex procedures.
The soft tissue diode laser has become a “must have” mainstream technology for every general practice. The science, ease of use, and affordability make it simple to incorporate. The laser is now the essential “soft tissue handpiece” for the practice. In fact, there is a case for having a diode laser in each restorative and each hygiene treatment room. Restorative dentistry becomes easier, more predictable and less stressful. Laser therapy expands the clinical scope of practice to include new soft tissue procedures that keep patients in the office. The patient’s gingival health is improved in a minimally invasive, gentler manner. Every time the dentist picks up the diode laser the question is: where have you been all my life?
Editorial note: A list of references is available from the publisher.
Attend Dr. Freedman’s and Dr. Goldstep’s C.E.-accredited lecture!
From 16-18 April 2010, Dr George Freedman and Dr Fay Goldstep will give daily, 90-minute lectures to a live audience at IDEM in Singapore (schedule listed in local Singapore time):
16 APRIL, 11 a.m. - 12:30 p.m. — Affordable Soft Tissue Diode Laser
17 APRIL, 1 - 2:30 p.m. — Lasers, Restoratives and the Dental Medical Connection – Part I
18 APRIL, 11 a.m. – 12:30 p.m. — Lasers, Restoratives and the Dental Medical Connection - Part II
At the same time, DTSC will broadcast his lecture live online, for those who cannot make the trip to Singapore (Ex: EST is 12 hours behind Singapore; Germany is six hours behind Singapore). Those who register for the live event will also have 30-day access to the archived recording to review at their convenience.
Join us to learn how the newest diode lasers cover the widest range of clinical indications. They are easy to use and incorporate in every practice.
We would like to thank AMD LASERS for providing an educational grant, which makes this daily lecture series on laser dentistry available for IDEM visitors and a global online audience. You will find us at IDEM at J30 and online under www.DTStudyClub.com.
Participants will receive one ADA CERP C.E. credit per lecture. Attendance, for both live attendees visiting IDEM, as well as online attendees, is FREE. Please register under www.DTStudyClub.com > Online Courses > Symposia at IDEM.
DentaLaze is a cost-effective wireless diode laser with superior performance and a compact, ergonomic design.
NEW YORK, NY, USA/LEIPZIG, Germany: The US-based manufacturer AMD LASERS recently launched the Picasso Lite in dental markets worldwide. As a first in the ...
AMD LASERS — a company based in Indianapolis, IN, USA, that manufactures laser therapy equipment for dentists that is easy to use and affordable ...
ANAHEIM, CA, USA: AMD LASERS, the company that builds the world’s most affordable dental laser technology, announces the launch of the Picasso soft ...
CHICAGO, IL, USA: For those dentists who have wanted to offer laser treatment to their patients but have held back because of the expense of the equipment, ...
Putting on my design engineer and marketing hat, I thought this was a good time to take a look at what’s being offered with the new soft-tissue ...
Dental implants are placed either utilizing a one-stage approach (healing abutment placed at implant placement) or a two-stage approach (implant is covered ...
NEW YORK, NY, USA: With international certifications now in place for its Picasso diode laser, AMD LASERS is poised for continued growth in North America as...
The concept of using dental lasers for the treatment of periodontal disease elicits very strong reactions from both ends of the spectrum. Everyone has an ...
A greater number of dentists may soon be ready to start using hard-tissue lasers in the preparation of teeth and reshaping of bone. The technology promises ...
Live webinar
Tue. 26 May 2026
12:00 PM EST (New York)
Live webinar
Tue. 26 May 2026
2:00 PM EST (New York)
Live webinar
Wed. 27 May 2026
8:00 AM EST (New York)
Live webinar
Thu. 28 May 2026
12:00 PM EST (New York)
Dr. Anthony Viazis DDS, MS. Inventor & Founder of Fastbraces®
Live webinar
Mon. 1 June 2026
1:00 PM EST (New York)
Live webinar
Wed. 3 June 2026
1:00 PM EST (New York)
Live webinar
Thu. 4 June 2026
2:00 PM EST (New York)
To post a reply please login or register