Search Dental Tribune

Dental News

Validating the oral-systemic health connection

How does one go about becoming familiar with an avenue of health improvement that we have in the past paid little or no attention to, at least on a ...

save

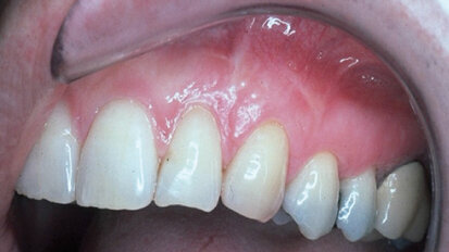
Botox, fillers can maximize cosmetic outcomes

LAS VEGAS, NEVADA, USA: For many dental implant patients, restoring facial volume can be as critical as the dental restoration for optimizing cosmetic ...

save

American Academy of Implant Dentistry’s longevity, legacy recognized at annual meeting

Las Vegas, Nevada, USA: What better city than Las Vegas to celebrate a major milestone? The American Academy of Implant Dentistry (AAID) recently ...

save

NuOss XC expandable bone grafting composite

Wed. 28. December 2011

This latest development in natural bone substitutes, like the other ACE NuOss products, supports bone growth in periodontal and oral maxillofacial defects. NuOss XC™ is a composite grafting ...

save

The new i-CAT Precise

Wed. 28. December 2011

i-CAT Precise was designed to help dentists provide better care in treatment planning for placing and restoring implants, performing guided surgery, extractions, and other surgical procedures. This ...

save

The Gift of Oral Health: Community responds to a critical need

Portland, Maine, USA: University of New England (UNE) envisioned a need for a College of Dental Medicine to serve the northern New England region. To make ...

save
advertisement

Theracal LC pulp capping material and liner

Theracal LC is dentistry’s first light-cured flowable resin containing the “apatite stimulating” calcium silicates. It is the first of a ...

save

ADEAGies Foundation announces winners of 2012 William J. Gies Awards


WASHINGTON, DC, USA: The ADEAGies Foundation has announced the winners of the 2012 William J. Gies Awards for Vision, Innovation and Achievement (Gies ...

save

PattLock protects and secures patient and practice information

PattLock is an online backup service from Patterson Dental that protects and secures patient and practice information. Compatible with all files types and ...

save

Oral bacteria could be responsible for foodborne infection

CLEVELAND, Ohio, USA: A discovery by researchers at Case Western Reserve University (CWRU) in Cleveland could help to explain the origins of foodborne ...

save

Examining patient financing: Good for your patients. Good for your practice.

We hear about it a lot these days — dental practices getting squeezed by lower consumer spending. The result is less treatment acceptance and lower ...

save

More Americans see dentists rather than doctors

NEW YORK CITY, NY, USA: Despite health care reform initiated by the Obama administration, Americans have increasingly cut back on their visits to a doctor. ...

save
advertisement

Digital imaging firm’s reputation for reliability is 50 years in the making

MILWAUKEE, Wis.: The biggest challenge Instrumentarium Dental faces when encouraging existing clients to upgrade equipment is convincing them to let go of ...

save

Study reveals that post-endo pain has different sources

CHICAGO, Ill. & MIAMI, Fla., USA: Tooth pain occurring after endodontic treatment might originate more often from another source than from the treated ...

save

Smiles Change Lives honors volunteer champions

KANSAS CITY, MO, USA: Smiles Change Lives, an organization that provides life-changing, essential orthodontic treatment to children from low-income ...

save
advertisement

In San Diego: ‘Back to the future of implantology 2012 and beyond’

SAN DIEGO, CA, USA: The International Congress of Oral Implantologists (ICOI) plans to delight and educate attendees with a focus on advanced methodologies ...

save

Marketing your practice on the quick-and-easy

How many times have you sat down with patients to discuss their treatment plan and they just want a simple fix to the problem. She may need a crown, but ...

save

The Clinical PRO-HEALTH SYSTEM for Gingivitis

Wed. 7. December 2011

Recommend This System For Your Patients With Moderate Gingivitis Oral-B® Professional Care SmartSeries 5000 Electric Toothbrush with SmartGuideTM Oscillating-rotating technology Loosens ...

save

Affordable full-feature dental chair system grabs market’s attention

Flight Dental Systems searches the globe to find leading-edge manufacturers to supply the best mix of components to keep its dental chair systems ...

save
advertisement

Political forecasts at President’s Luncheon

NEW YORK, NY, USA: The traditional President’s Luncheon at the Greater New York Dental Meeting (GNYDM), which honors presidents and directors of ...

save

Create a 2012 marketing plan (Your competition already has)

As dental professionals, you’ve invested tremendous amounts of time in schooling and continuing education courses. You’ve also probably ...

save
advertisement

AAE leadership supports dental advocacy

CHICAGO, IL, USA: For the fourth year in a row, the American Association of Endodontists Board of Directors became Capital Club members of the American ...

save

Leica HM500 Head-worn Microscope

Mon. 5. December 2011

Do you perform endodontic treatments? Many GPs have realized additional income by providing endodontic treatments. The Leica HM500 can help! Goes where You Go: easily transported between ...

save

The Leica M320 Dental Microscope

Mon. 5. December 2011

Do you perform endodontic treatments? Many GPs have realized additional income by providing endodontic treatments. The Leica M320 Dental Microscope can help! No More Dark Canals: The Leica ...

save
advertisement

Ultradent outshines eBay in donations for Utah Food Bank

SOUTH JORDAN, UTAH, USA: Ultradent Products recently announced its total food and dollar collection for the Utah Food Bank. In a competition with its South ...

save

Queens, N.Y., dentists prepare for Cuba humanitarian dental trip

NEW YORK, NY, USA: The Fialkoff Queens Dental Study Club, a monthly study club that provides continuing education credits to attending practitioners, is ...

save

Cosmetic periodontal surgery: Multiple gingival graft techniques (Part 2)

In today’s new information age, patients want a better quality of life. They want to keep their youthful, brighter-appearing smile more than ever; keep ...

save
advertisement