This case involved a simple placement of an implant in a site with adequate bone in an overall healthy patient. The case is significant in that it was the first case ever worldwide using the ZERAMEX XT Ceramic Implant System.
ZERAMEX XT is a two-piece, screw-retained system that functions surgically and restoratively like current titanium implants.
This case shows a ZERAMEX XT 4.2 x 10 mm implant placed in a healed extraction and grafted site. The implant placement was done four months post-tooth extraction and grafting.
The implant was restored using the VICARBO Carbon Fiber screw and zirconia abutment.
At the one-year follow-up with the patient, the implant shows no peri-implant inflammation. In addition, no movement or bone loss can be observed.
The author requests that you read each photo caption to receive a good understanding of each step of the process.
This case was completed in Zurich, Switzerland, by Dr. Jens Tartsch. He practices in Zurich and is a founding father of the European Society of Ceramic Implants. ESCI is a connection between industry leaders and clinical users of ceramic implants working together to create the designs and technologies for proven future success.
Fig. 1: Diagnostic 3-D treatment planning. Implant dimension and position with SMOP guided-surgery system. (Photo: Jens Tartsch, DMD)
Fig. 2: Four months post extraction. (Photo: Jens Tartsch, DMD)
Fig. 3: Prepared implant bed after thread cutting. (Photo: Jens Tartsch, DMD)
Fig. 4: Insertion with bolt in tube; inserting instrument max torque 25 Ncm. (Photo: Jens Tartsch, DMD)
Fig. 5: Implant in situ; neck area 0.6 mm supracrestal. (Photo: Jens Tartsch, DMD)
Fig. 6: The flat healing cap allows a primary wound closure, guided-surgery system. (Photo: Jens Tartsch, DMD)
Fig. 7: Healing period with healing cap ZERAMEX XT. (Photo: Jens Tartsch, DMD)
Fig. 8: ZERAMEX XT implant ready for impression. (Photo: Jens Tartsch, DMD)
Fig. 9: Precise impression with open tray. (Photo: Jens Tartsch, DMD)
Fig. 10: Individualized abutment on master cast. (Photo: Jens Tartsch, DMD)
Fig. 11: Abutment. (Photo: Jens Tartsch, DMD)
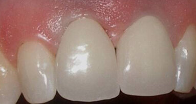
Fig. 12: Crown with composite closure of screw access channel. (Photo: Jens Tartsch, DMD)
Fig. 13: X-ray control after surgery and one year post-loading. (Photo: Jens Tartsch, DMD)
About the author
Dr. med. dent. Jens Tartsch, DMD, was born in 1965, and he received his DDS at the Free University Berlin (examination 1992). He is president and member on the board of directors for the European Society for Ceramic Implantology (ESCI). He is a member of the board of Swiss Society for Anti Aging Medicine and Prevention (SSAAMP). He is an international educator and author for metal-free implantology and immunology in dentistry and, specifically, oral and maxillofacial surgery. He has conducted clinical studies on the immunology of titanium implants, and considers his primary aspects to be: immunology in dentistry, metal-free implantology and dentures, and esthetic dentistry.
Tags:
An increasing number of late adolescent and adult patients are seeking invisible orthodontic care to correct mild to moderate anterior malocclusions. Since ...
NEW YORK, N.Y., USA: As a highlight to the American Academy of Implant Dentistry’s program theme, “New Trends, Techniques & Technology ...
Ormco EtchFree Bonding is a fully moisture-tolerant orthodontic bonding system that eliminates acid etching from orthodontic bonding, optimizing the bonding...
SprintRay’s Pro 2 is a next-generation dental 3-D printer that delivers unprecedented accuracy and throughput. With patent-pending Optical Panel ...
When it comes to dental care, the more doctors can see their patients’ anatomy, the more efficient they can be in their diagnosis and treatment planning. ...
Zirconia dioxide has a long history of use in orthopedic and dental applications. Zirconium (Zr) is a metal; however, through a chemical reaction with ...
Convergent Dental has unveiled “The Next Generation” of its Solea CO2 all-tissue dental laser system. According to the company, the new version of Solea...
Sonendo announced recently that it has received 510(k) clearance from the U.S. Food and Drug Administration (FDA) for the next generation of its GentleWave ...
The PinkWave, available from Vista Apex, is the next generation of curing lights, equipped with patented QuadWave Technology that decreases composite ...
During the course of the last decade, the patient pendulum has shifted from “Do I have to wear braces?” to wanting to show off those braces via ...
Live webinar
Tue. 19 May 2026
11:00 AM EST (New York)
Live webinar
Tue. 19 May 2026
1:00 PM EST (New York)
Prof. Dr. med. dent. Ivo Krejci
Live webinar
Wed. 20 May 2026
7:00 AM EST (New York)
Dr. Graham Carmichael BDSc (Hons), DClinDent (Pros), FRACDS, Dr. Robert Gottlander DDS
Live webinar
Wed. 20 May 2026
9:00 AM EST (New York)
Live webinar
Wed. 20 May 2026
11:00 AM EST (New York)
Live webinar
Wed. 20 May 2026
1:00 PM EST (New York)
Prof. Dr. med. dent. Tim Joda PhD, MSc, eMBA
Live webinar
Thu. 21 May 2026
12:00 PM EST (New York)
Dr. Leonardo Muniz DDS, MSC
To post a reply please login or register