The desire of patients to complete any dental treatment in a timely fashion is universal. This is no different where dental implants are concerned. The lengthy time traditionally associated with implant therapy has been a deterrent for many dentists and patients alike to choosing this course of treatment.
In the last decade, innovations regarding implants surfaces and macro-topography, and on the microscopic level, have led to predictably shorter healing times. This has been partly responsible for the rapid acceptance of implantology into “mainstream” dentistry.
The predictability of osseointegration has evolved from a success criteria to a foregone conclusion. The success of implant treatment, particularly in esthetically sensitive regions of the dentition, is based on cosmetic and physiologic stability. Preservation of both hard- and soft-tissues, such as the facial bone thickness and maintenance of interproximal papillae, are crucial for this success.
The following example demonstrates the replacement of a hopeless maxillary central incisor in a timely fashion without any period of partial-edentulism for the patient.
Several factors were considered prior to treatment. First, the patient was deemed a candidate for immediate temporization due to the ability to keep a temporary restoration out of all occlusal contact. Second, the periodontal health of the adjacent teeth was acceptable to support proximal hard- and soft-tissues. Third, cross-sectional CT evaluation demonstrated a lack of apical infection and bone availability for the placement of a dental implant in the preferred, restoratively driven position.
Interestingly, the apical and palatal bone was not abundant, making the placement of a “narrow” diameter implant more feasible for achieving primary stability and optimizing bone to implant contact.
The placement of narrow diameter implants in the central incisor region is controversial. From a fracture risk perspective, a “regular,” or standard, diameter implant is preferred. This normally results in placement of a 4.1 mm fixture in most situations.
From an emergence profile perspective, a narrow diameter implant is usually unacceptably small when attempting to replicate the cervical diameter of a maxillary central incisor. This can result in compromises regarding esthetics and oral hygiene. Placement of an implant with a narrow diameter endosseous portion with a standard restorative platform would be ideal for this situation.
This would not address reasonable concerns of implant body fracture under normal loading conditions. A new, titanium-zirconium alloy, consisting of 13 percent to 17 percent zirconium is significantly stronger than other titanium alloys or grade 4 titanium. Clinical and in-vitro research has demonstrated this strength. The possibilities this alloy offers are numerous.
This example will show how a narrow diameter implant with a standard restorative platform gives the implant team confidence to proceed with immediate placement and immediate temporization.
The other pertinent issue for this situation is how the preservation of biologic tissues is maintained to provide long-term esthetic success. The fate of the normally thin facial bone following extraction is predictably resorbed.
This bone consists of primarily bundle bone and is dependent on inserting Sharpey’s fibers of the PDL, which are lost along with the extracted tooth. The vascular supply of the overlying soft tissue is mainly derived from the supraperiosteal vessels. Therefore, the preservation of the bone on the proximal and facial aspects of the implant is paramount for esthetic success.
Bone augmentation, via grafting and guided bone regeneration (GBR), is utilized routinely for this purpose. The height of the proximal soft tissue or papillae is also lost to varying degrees following extraction.
Historically, the contact point remaining up to 5 mm from the proximal bone peak is necessary for maintenance of the papilla. Extraction results in immediate loss of the contact point. Placement of a provisional restoration immediately restores this crucial landmark. It also gives the clinician an opportunity to physiologically develop the facial soft tissue, as compared to a round healing abutment.
Clinical case
The patient is a 42-year-old female, with a severely discolored and hypermobile central incisor. The patient refused endodontic and possible orthodontic treatment. She was also resistant to wearing a removable prosthesis during the osseointegration phase of implant therapy.
Cross-sectional evaluation on a CT scan demonstrated bone availability for immediate implant placement. Occlusally, it was determined possible to keep a provisional, implant-retained crown out of all occlusal function.
Following reflection of conservative mucoperiosteal flap, tooth #8 was carefully extracted. A Straumann, 3.3/4.8 TE x 12.0 mm SLActive, Roxolid implant was inserted with primary stability.
A surgical impression was taken following the placement of several temporary sutures to prevent contact of impression material with the underlying bone and to provide a soft-tissue impression. The temporary sutures were removed and bone augmentation with a slowly degradable bone replacement graft (Straumann Bone Ceramic) was combined with a collagen membrane. Primary closure around a healing abutment was then achieved.
The patient promptly presented at her restorative dentists office with the working model of the surgical impression, to aid in fabrication of a provisional crown. This is fabricated by incorporating a Syn Octa temporary post into bis-acryl and flowable composite resin. This results in a screw-retained restoration, which can be tightened to 15 ncm. Soft tissues are allowed to heal around the provisional crown for about two months.
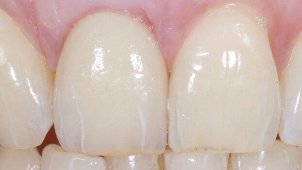
At this time, a cement-retained zirconia crown (Etkon, Straumann) is fabricated along with a zirconia (Etkon, Straumann) abutment. The result is an esthetically pleasing restoration.
(All restorative steps, including the provisionalization, were performed by Dr Brian L. Wilk. private practice in Chalfont, Pa.)
About the author
Dr Barry P. Levin is a diplomate of the American Board of Periodontology. He earned his DMD from Temple University School of Dental Medicine in 1994 and his Certificate in Periodontology from the University of Maryland School of Dental Surgery in 1996. Since then, Levin has maintained a private practice in Elkins Park, Pa., limited to periodontology and all aspects of dental implant surgical therapy. He is a clinical associate professor at the University of Pennsylvania, in the graduate departments of periodontology and dental implant surgery, where he has earned several teaching awards. Levin lectures nationally and internationally on subjects pertaining to dental implantology, tissue regeneration and esthetics.
Scott Bolding, DDS, MS, and Andrew Johnson, DDS, MDS, CDT, FACP, will offer a one-hour webinar on the immediate temporization of the aesthetic zone using ...
A medically and periodontally stable 50-year-old woman presented with failing #8 and #9 teeth that exhibit asymmetry, lack of interdental papilla and a ...
Zirconia dioxide has a long history of use in orthopedic and dental applications. Zirconium (Zr) is a metal; however, through a chemical reaction with ...
Implant planning and placement in the completely edentulous maxilla can present challenges both surgically and prosthetically whether a removable or fixed ...
Implant placement in spaces that are narrow in the mesiodistal dimension poses challenges related to the surgical aspect of treatment. This is further ...
BioHorizons Tapered Pro Conical implant is the first dental implant with a deep conical connection in the BioHorizons portfolio. This new implant reflects ...
In 2019, the U.S. Food and Drug Administration (FDA) released two decades of previously unpublished data, including 2.1 million reports of failed dental ...
NEW YORK, N.Y., USA: Continuing education in dental implantology has traditionally focused on theoretical aspects. However, since 2003, the Trinon Collegium...
NEW YORK, N.Y., USA: Continuing education in dental implantology has traditionally focused on theoretical aspects. However, since 2003, the Trinon Collegium...
Education
Live webinar Thu. 14 May 2026 12:00 PM EST (New York)
ANN ARBOR, Mich., US: Opioid overprescription remains a major concern in dentistry. Although the prescription of opioids by dentists in the US has decreased...
AURORA, Colo., US: Multi-material 3D-printing of monolithic dentures in a single build has been a significant advance in digital denture fabrication. ...
DALLAS, US: As artificial intelligence (AI) tools are increasingly explored in dental education and clinical learning, questions remain about how reliably ...
To post a reply please login or register