When doing a diagnostic work-up, if we line up each challenge that is an obstacle in our quest to provide both a functional and an esthetic end result, each solution we find brings us much closer to a predictable overall result. This article will address the challenge of soft-tissue asymmetry in the cosmetic zone with a new approach to a very challenging problem that, until recently, had few predictable solutions.
embedImagecenter("Imagecenter_1_390",390, "large");
The area extends from molar to molar in the maxillae in patients with Type II and III lips. These are patients that show some soft tissue when smiling (Type II lip) to those that show significant soft tissue (Type III lip).
Two cases
The first case will deal with the anterior segment of soft-tissue asymmetry cased by trauma. The ERA implant is used primarily to provide support for dentures in areas where the remaining bone will not support conventional implants without significant bone grafting and other invasive procedures.
It accomplishes this by reducing the size but not the material composition of the conventional implants while adding an aggressive thread design that provides a self-tapping feature to the implant.
The second case deals with a patient with a Type III lip, significant bone loss before implant placement and presents with an esthetic challenge.
Case No. 1
The first patient presented with a bridge that had been placed after trauma to the anterior maxillae. Although one hard-tissue and two soft-tissue grafts had been performed and the new bridge constructed, the defect was still unacceptable to the patient. The hard- and soft-tissue defect was 6 mm inferior and 4 mm palatal to where it was necessary to create ideal tissue symmetry (Fig. 1).
After a complete work up, the patient also needed his occlussal plane leveled for ideal function. While it would be relatively predictable to do an onlay graft to correct the facial defect, the vertical defect utilizing conventional grafting techniques was not predictable, as the patient had already experienced.
We presented the patient with a treatment option that included orthodontics to correct the functional challenges, and offered him a treatment option that would incorporate a variation of distraction osteogenisis in combination with surgical vertical displacement of the previous onlay graft utilizing the small diameter ERA implants.
With their aggressive thread design and subsequent fine tuning with three-dimensional displacement of the bone, the ERA implant allows for conservative surgery to maintain blood supply while separating the cortical bone plates and allowing controlled movement of the bone in the healing surgical site. We divided the treatment into three phases.
Treatment phase No. 1
We made a resin bridge from the upper left cuspid to the upper right central incisor, replacing the left lateral and central incisor (Fig. 2). We then placed a 2.2 x 10 mm ERA implant in the area of the upper left central and one in the upper left lateral incisor, making sure that we engaged the previous graft site extending well into the residual bone that was grafted (Figs. 3, 4).
The resin bridge was cemented but out of contact with the implants that were placed without an incision with the abutment supragingival (Fig. 5). The orthodontic treatment was initiated during the four months while bone integration took place around the implants.
Treatment phase No. 2
The pontics were removed and altered by measuring the clinical crown of the upper right central and lateral incisor (measured from the gingival crest to the incisal edge) then connected to the implants. This then created a step in the incisal edges in this area corresponding to the hard- and soft-tissue defects (Fig. 6).
After connecting the new resin crowns that correspond in size to the adjacent central and lateral, a conservative vertical incision was placed mesial to the upper left central and distal to the left lateral. The soft tissue was raised via tunneling to bone on the facial, but not on the lingual, in an attempt to preserve the blood supply to the bone around the implant, and was also the reason no horizontal incision was placed.
The cortical plate was cut such that the implants and the bone between them was freed to allow us to pull the implants via altered resin crowns incisally to have the “in edges” as close to being level without blanching the tissue (Fig. 7). The area was grafted with mineralized and demineralized cancellous bone, collagen membrane was placed and the vertical incisions were closed with 4-0 sutures.
The surgical site was stabilized using the wire that was secured to the adjacent teeth and orthodontic brackets (Fig. 8).
After the soft tissue healed and the sutures were removed, the active controlled orthodontic was reinstated.
Treatment phase No. 3
After four months of orthodontic intervention to create an ideal functional occlussal scheme and osteogenisis in the anterior region (Fig. 9), we removed our ERA implants using a 2.4 trephine bur that was ideal for placing our 3.3 mm implant in the lateral area and 3.75 mm implant in the central incisor area.
We gained the necessary vertical height in bone via our combined surgery and small amount of orthodontic osseous distraction, but were still deficient facially, which we achieved by expanding the ridge with the implant in the undersized osteotomy along with bone augmentation utilizing an autogenous block graft harvested from the mandible (Figs. 10–12).
It took another five months to finalize the orthodontic treatment, at which time the abutments were placed and the ideal soft-tissue symmetry and emergence profile was refined with the anatomically shaped resin transitional crowns (Figs. 13, 14).
In conclusion, while the total treatment was 15 months, utilizing orthodontics to correct not only occlussal disharmony but also help create hard-tissue support for the implants, soft-tissue symmetry was actually the conservative treatment option.
I believe that orthodontics will play a much larger role in providing new bone for cases requiring implant support.
Case No. 2
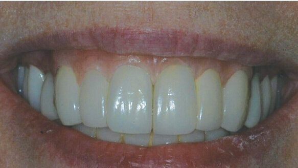
In the second case, the patient presented with no complaints, having recently completed the restorative phase of her full-mouth rehabilitation. It was noted that she had an extremely short upper lip that revealed a very toothy smile. The maxillary incisors were supported with four individual implants and her final restorative result was functionally sound.
The esthetic result was compromised by extremely long incisors due to the loss of soft tissue (Fig. 15). Even if that had not been the case, she would have been compromised because of the amount of soft tissue visible. The patient stated that she had been presented with options such as soft-tissue grafts post implant placement; repositioning the muscle attachments to minimize lip movement, thus exposing less soft tissue when smiling; and even an orthognathic procedure that would truly be the only way to predictable solve her esthetic dilemma.
The only procedure (Laforte) that would provide our patient with an ideal solution was very expensive, invasive and had its own potential set of postoperative problems. As a result, the patient was content to do nothing because the only predictable option was financially out of reach: the functional restorative plan was itself a financial burden, not to mention the thought of yet another lengthy phase on top of what she had already been through.
Sometimes the “K.I.S.S. Theory” (keep it simple, stupid) is the best. If we could find a non-surgical, inexpensive and reversible procedure that could at least improve on some of her esthetic challenges, she would be receptive.
We took impressions and sent them to the lab to produce an insert (bumper) that has the ability to blend in with the underlying soft tissue and make the junction invisible (Fig. 16). After placing the insert and adding some texture, the margins disappeared (Fig. 17). Although the lip still shows too much soft tissue, the teeth are now symmetrical (Fig. 18).
Summary
The use of the 2.2 mm ERA implant and orthodontics as tools to aid in bone augmentation — even though they are not thought of as conventional tools for this — proved to be very effective.
I believe we will see more situations where they will be thought of as a treatment of choice to produce more predictable results.
Note: This article was originally published in Dental Tribune U.S. Edition, Vol. 6 No. 15, September 2011. A complete list of references is available from the publisher.
About the author
Joe L. Carrick, DDS, graduated dental school in 1977 from the University of Texas at San Antonio; he then served four years in the Navy, where he did much of his postgraduate work. In 1980, he started his practice in San Diego. Over the last 15 years Carrick has lectured and taught implant surgical and prosthetic courses internationally and domestically. In 2008 he started Simply Secure Dentures, which is dedicated to not only teaching clinicians to place and restore patients with the ERA implant, but also set up a network of offices through the United States that achieves predictable results. Presently he has a private practice in Conroe, Texas, that allows him to pursue his passion for teaching.
A medically and periodontally stable 24-year-old woman presented with two failing root canals on teeth #8 and #9. Her dental records indicated both teeth ...
A medically and periodontally stable 37-year-old man presented with coronally fractured tooth #9, which had a history of endodontic treatment (Figs. 1a ...
While dental lasers have been commercially available for several decades and their popularity among patients is unparalleled, the dental profession has ...
Anterior tooth loss and restoration in the esthetic zone is a common challenge in dentistry today. The prominent visibility of the area can be especially ...
ROCK HILL, S.C., US: 3D Systems has announced the US commercial launch of its NextDent Jetted Denture Solution. The denture system utilises multiple ...
In 28 years of placing and restoring implants, I have seen that three key factors need to be present to achieve esthetic implant restorations: good implant ...
Robotic surgery has been a mainstay of the medical community for more than 20 years. Dentistry has been late to the party! With the introduction of the Yomi...
PITTSTON, Pa., USA: GCL Systems and Benco Dental have announced a partnership to expand distribution for the GCL line of Gingival Cuff Links to dental ...
It’s been said that more dentures can be found in their rightful owner’s bedside drawer than in their mouth. In fact, eight out of every 10 ...
The GC Initial IQ — one body, layering-over-metal concept — enables dental technicians to achieve simple and economical reproduction of standard...
Live webinar
Thu. 14 May 2026
12:00 PM EST (New York)
Live webinar
Thu. 14 May 2026
2:00 PM EST (New York)
Prof. Hani Ounsi DDS PhD FICD
Live webinar
Tue. 19 May 2026
11:00 AM EST (New York)
Live webinar
Tue. 19 May 2026
1:00 PM EST (New York)
Prof. Dr. med. dent. Ivo Krejci
Live webinar
Wed. 20 May 2026
7:00 AM EST (New York)
Dr. Graham Carmichael BDSc (Hons), DClinDent (Pros), FRACDS, Dr. Robert Gottlander DDS
Live webinar
Wed. 20 May 2026
9:00 AM EST (New York)
Live webinar
Wed. 20 May 2026
1:00 PM EST (New York)
Prof. Dr. med. dent. Tim Joda PhD, MSc, eMBA
To post a reply please login or register