WATERTOWN, MA, USA: Pulpdent Corp. — a manufacturer of adhesives, composites, sealants, cements, etching gels, calcium hydroxide products, endodontic specialties and bonding accessories — has launched a comprehensive new Web site that offers clinical information and case studies, as well as in-depth product information. The website can be found at www.pulpdent.com.
The Pulpdent Web site includes articles and other educational content, news and events, and product information. Product pages include a product overview, instructions for use, MSDS sheet, and in many cases related articles and studies, frequently asked questions, and illustrated step-by-step clinical procedure instructions. There are PowerPoint presentations for many of the products.
“We wanted the Web site to be informative and easy to use, but above all, we wanted it to be a place dental professionals will enjoy coming to,” said Ken Berk of Pulpdent, in a company press release. “It’s like a dental amusement park.”
Visitors to the Web site will find a link for signing up to receive the free Pulpdent informational e-newsletter and an archive of past newsletters.
NEW ORLEANS, U.S.: For the next few days, attendees of the American Association of Oral and Maxillofacial Surgeons (AAOMS) Annual Meeting will have the ...
CHICAGO, Ill., USA: The American Dental Association (ADA) is now offering online training for dentists interested in providing care for nursing home ...
A recent study published in the Journal of Dentistry concluded that Pulpdent Corp.’s Embrace Pit and Fissure Sealant had the longest lasting ...
NEW YORK, N.Y., USA: In response to the American Dental Association’s urgings for assistance in addressing the opioid abuse crisis, Dr. Bernard ...
HOUSTON, TX, USA: Trimira LLC, manufacturer of the Identafi 3000 Oral Cancer Screening Device, has developed the Trimira Clinical Image Library, a ...
PattLock is an online backup service from Patterson Dental that protects and secures patient and practice information. Compatible with all files types and ...
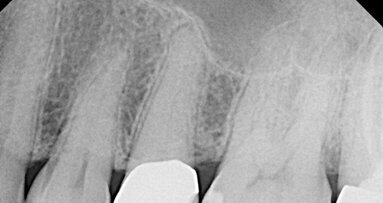
The patient pictured in Figure 1 was referred because the first clinician could not locate the canal(s). The patient had pain when chewing on #13 and mild ...
MELVILLE, N.Y., USA: Henry Schein Inc. has announced the launch of the ProRepair Handpiece Portal, an online platform for dental professionals to submit a ...
With HealthyStart, a comprehensive pediatric airway system, you can start young patients on the pathway to better health. You have spent many hours ...
Pulpdent recently participated in Special Olympics International’s Special Smiles initiative. More than 35 athletes received up to 300 sealants at a ...
Live webinar
Thu. 14 May 2026
12:00 PM EST (New York)
Live webinar
Thu. 14 May 2026
2:00 PM EST (New York)
Prof. Hani Ounsi DDS PhD FICD
Live webinar
Tue. 19 May 2026
11:00 AM EST (New York)
Live webinar
Tue. 19 May 2026
1:00 PM EST (New York)
Prof. Dr. med. dent. Ivo Krejci
Live webinar
Wed. 20 May 2026
7:00 AM EST (New York)
Dr. Graham Carmichael BDSc (Hons), DClinDent (Pros), FRACDS, Dr. Robert Gottlander DDS
Live webinar
Wed. 20 May 2026
9:00 AM EST (New York)
Live webinar
Wed. 20 May 2026
1:00 PM EST (New York)
Prof. Dr. med. dent. Tim Joda PhD, MSc, eMBA
To post a reply please login or register