Canals come in all sizes and shapes. They can be any combination of wide, straight, narrow, curved, smooth, gritty, filled with tissue, devoid of tissue, patent and blocked, non-calcified to totally calcified. It is the challenge to first negotiate these canals to length and then to widen them to the point that they are cleansed in three dimensions without distortion.
From a practical point of view, we are primarily concerned with those canals that challenge us to get to the apex.
However, we should be aware that even those canals that are wide initially and patent to the apex must still be properly cleansed in three dimensions. In order of priorities, patency is our first goal and thorough cleansing our second.
The narrower, more curved and more calcified a canal, the greater the challenge in negotiating to length. The design of the instruments and their utilization to negotiate these canals determines which ones work most efficiently.
embedImagecenter("Imagecenter_1_197",197, "large");
Today, the watch-winding motion is the most utilized form of manual motion. This was not always the case. In the past, before the introduction of stainless-steel fabricated instruments, carbon steel was the material of choice.
Being weak in torsional resistance, instruments made from carbon steel had to be used primarily with a push/pull stroke. To be effective cutting instruments, the flutes were horizontally oriented along the long axis of the instrument providing a cutting blade that was more or less at right angles to its motion.
Whatever the predominant motion of the instrument, to cut, the blades must be more or less at right angles to that plane of motion. Becase carbon-steel instruments could not be used in rotation due to the poor resistance to torsion, they were used with the vertical push/pull stroke, hence the horizontal orientation of the flutes.
The problem of instrument separation was solved, but the push portion of the push/pull stroke impacted debris apically, easily blocking the negotiation of canals that were already curved, narrow and at times somewhat calcified.
It actually took a major improvement in the metallurgy of endodontic instruments to undermine the relationship of design and utilization. When stainless steel was introduced as the new-and-improved metal from which to fabricate endodontic instruments, the K-files originally made from carbon steel were then much more resistant to torsional stress.
This improvement was recognized and rather than limiting the motion to a push/pull stroke, dentists learned to use them with a twist-and-pull that, over the years, evolved into the watch-winding motion we are familiar with today. As more and more of the motion became horizontal rather than vertical, the greater the discrepancy between design and utilization.
A horizontal motion of an instrument with horizontal flutes (Fig. 1) allows the instrument to engage the dentin much like a screw, but cuts very little. To cut dentin the instrument either had to be pulled vertically after engaging the dentin or used with a counterclock-wise stroke and apical pressure to cleave off the dentin engaged by the clockwise stroke. In both cases extra steps and motion are required to cut the dentin to compensate for the incompatibility of design and utilization.
In cases that are already narrow, curved and at times calcified, the greater engagement that comes before dentin cleavage makes the entire instrumentation procedure that much more challenging.
The last thing that a practitioner needs when shaping curved narrow canals is initial greater engagement, a stiffer instrument and one that requires extra steps to cleave off the dentin, with all of these factors limiting the tactile perception that the dentist has to what the tip of the instrument is encountering. If we simply go back to the concepts of design and utilization, the problems encountered by the present discrepancies disappear.
Watch winding is a horizontal motion. Consequently, the instrument should be designed with vertically oriented flutes, allowing the blades to cut dentin as soon as the motion is initiated. In fact, every rotary NiTi system knows this, even as K-files are recommended. The inconsistency in approaches makes no clinical sense although the commercial reasons to sell more NiTi make strong business sense.
When an instrument with vertically oriented flutes enters a canal with a watch-winding motion, the reamer will be more flexible, less engaging along length and a more efficient cutter of dentin than its K-file counterpart. These three factors allow for less resistance as the instrument negotiates apically.
If the tip of the instrument encounters an impediment, the dentist will immediately be aware of it. K-files, on the other hand, engage too much dentin along length, preventing the dentist from making this crucial observation. Once an impediment is recognized, the instrument can be removed, pre-bent at the tip (Fig. 2) and negotiated around the impediment. You can’t do it if you are not even aware that an obstacle has been encountered.
The concept of matching the design of an instrument to its function allows these instruments to widen canals to their final shape in the safest most efficient manner.
The cutting actions of endodontic instruments have to be effective in a much diversified environment requiring flexibility and adaptability. Anything that enhances the reduction in engagement along length, the flexibility of the instruments and the efficiency of cutting dentin would be considered advancements. That is precisely what the flat does (Fig. 3).
When incorporated along the length of the shank, the instrument becomes more flexible, has a reduction in engagement and creates two vertical columns of chisels that cut dentin in both the clockwise and counterclock-wise direction.
In addition, it further enhances tactile perception, improving the dentists’ ability to differentiate between a tight canal and a solid wall. The asymmetric design gives dentists the added ability to distinguish between a round and oval canal (Fig. 4). These design features are important because that is what the variety of canals we shape throws at us. They represent the challenges of negotiation.
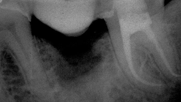
The best way to judge a system, in my opinion, is how effectively it shapes a canal without extraneous complications coming into play (Fig. 5–8).
We want to use a system that from the perspective of the canals we are shaping is most predictable in producing a shape of adequate dimensions, has minimal potential to distort the canal and no possibility of separating during its use. We cannot rely on a system that at times appears to be magnificent and at other times exacerbates our problems. The same system to be correctly designed must not only produce excellent results, but must do it consistently in all circumstances.
No one questions the fact that curved, narrow calcified canals will take more time to shape properly. However, at no time during the shaping of these challenging situations should we be exposed to systems that can add to the challenges by breaking.
The manufacturers may say these separations result from inadequate knowledge of their use on the part of the dentist. I disagree. They are the result of poor design, incorporating weaknesses that manifest themselves in separated instruments simply because the design, fabrication material and their utilization was not thought out enough before they came to market.
For those interested in the techniques I advocate, you may wish to take a free one-on-one, two- to three-hour workshop in my office. To set up a workshop, please call me at (212) 582-8161 to set up an appointment.
For those interested in an intense two-day hands-on workshop that is tuition-based, please call Essential Seminars at (888) 542-6376 or visit www.essentialseminars.org.
About the author
Dr. Barry Lee Musikant is a member of the American Dental Association, American Association of Endodontists, Academy of General Dentistry, The Dental Society of N.Y., First District Dental Society, Academy of Oral Medicine, Alpha Omega Dental Fraternity and the American Society of Dental Aesthetics. He is also a fellow of the American College of Dentistry (FACD).
Musikant’s lecture schedule has taken him to more than 250 international and domestic locations. He has co-authored more than 300 articles in dentistry in various international dental journals from Argentina to Spain, including the major journals of the United States and Canada. As a partner in the largest endodontic practice in Manhattan, Musikant’s 35-plus years of practice experience have crafted him into one of the top authorities in endodontics.
Dentists are always interested in learning about ways to improve the care they provide their patients. At lectures and hands-on workshops across the ...
In an interview conducted at the recent American Association of Endodontists Annual Session in Boston, Tom Gallop, CEO of SS White, discussed the ...
We buy “New Tech” when we perceive that some part of our personal or professional lives could be managed more easily with this new tool. We ...
The American College of Prosthodontists is taking Southwest Florida by storm from Wednesday through Saturday. The JW Marriott Marco Island will host this ...
One of the main objectives of orthodontics, in addition to the diagnosis of dysgnathia, is to determine the status of indication for orthodontic treatment ...
With his high-definition photography of complex root canal systems, Dr. Craig Barrington, who practices dentistry in Waxahachie, Texas, is developing quite ...
With the COVID-19 pandemic affecting every scheduled dental meeting, it can be hard to keep up with what is happening when. To help with that, we have a ...
Recently, there has been a discussion of the shaping techniques that are most consistent with effective cleansing of the canal spaces both in length and ...
CHICAGO, Ill., USA: According to a recent survey by the American Association of Endodontists (AAE), 78 percent of respondents say they would rather avoid ...
To make the wait for ROOTS SUMMIT 2024 a little sweeter, the organisers would like to spotlight some of the speakers for next year’s edition, which will ...
Live webinar
Thu. 14 May 2026
12:00 PM EST (New York)
Live webinar
Thu. 14 May 2026
2:00 PM EST (New York)
Prof. Hani Ounsi DDS PhD FICD
Live webinar
Tue. 19 May 2026
11:00 AM EST (New York)
Live webinar
Tue. 19 May 2026
1:00 PM EST (New York)
Prof. Dr. med. dent. Ivo Krejci
Live webinar
Wed. 20 May 2026
7:00 AM EST (New York)
Dr. Graham Carmichael BDSc (Hons), DClinDent (Pros), FRACDS, Dr. Robert Gottlander DDS
Live webinar
Wed. 20 May 2026
9:00 AM EST (New York)
Live webinar
Wed. 20 May 2026
1:00 PM EST (New York)
Prof. Dr. med. dent. Tim Joda PhD, MSc, eMBA
To post a reply please login or register