One of the main objectives of orthodontics, in addition to the diagnosis of dysgnathia, is to determine the status of indication for orthodontic treatment for which treatment necessity and prognosis are evaluated.
Occlusion, function and esthetics are considered equivalent parameters in modern orthodontics, particularly in combined orthodontic and orthognathic surgical treatment. This was achieved through the optimization of diagnostic tools and advancements and increasing experience in orthopedic surgery.
The objectives of orthodontic and orthognathic surgical treatments are:
- the establishment of a neutral, stable and functional occlusion with physiological condylar positioning;
- the optimization of facial esthetics;
- the optimization of dental esthetics, considering the periodontal situation;
- the assurance of the stability of the results achieved; and
- the fulfilment of the patient’s expectations.
The following factors are to be considered in assessing the prospects of success of orthodontic therapy:
- the degree of the dysgnathia;
- the growth configuration and potential;
- the individual reaction of the periodontal and skeletal structures;
- the general condition of the teeth;
- the patient’s age;
- the patient’s compliance;
- the patient’s wishes and expectations; and
- the dentist’s ability and experience.
In many cases, the objectives of dentoalveolar treatment measures — the achievement of the functional and esthetic optimum for the patient — can be achieved using modern treatment methods.
While minor dysgnathias can be treated using dentoalveolar measures only, successful treatment of prominent sagittal discrepancies, such as Class II dysgnathias, is far more difficult.
Correction can be achieved through dental movement if the jaw proportion is correct and if the dysgnathia is purely dentoalveolar. However, dental movements are possible only up to a certain degree and are thus limited.
A correction or stable dental compensation of a skeletal dysgnathia (for example, the correction of a frontal cross-bite in a Class III or the correction of an extremely enlarged sagittal overjet in a Class II) is doubtful in some cases and, in general, shows a compromise in esthetics and/or function.
In order to determine the options available for the therapy of a Class II dysgnathia, the remaining growth of the patient must be determined.35 Functional orthodontic treatment is a therapy form that can influence growth and is considered a causal therapy in adolescents.8,51,57,67,70,71,79
If there is no growth therapeutically, orthognathic surgery to correct the position discrepancy between both jaws is a causal therapy form (Fig. 1).
A premise for the successful realization of a combined therapy is that less invasive treatment options (for example, growth influence, as mentioned above) can no longer be used or do not achieve the treatment objectives or even worsen the situation (for example, extraction in a shallow mouth profile or distalization in a narrow overbite).33,34,77
The second option for the causal therapy of a skeletal dysgnathia (Class II) using combined orthodontic and orthognathic surgical correction is discussed in this article, with a special focus on Class II dysgnathias with skeletal deep occlusion.
Case report: diagnosis
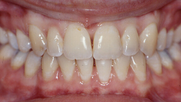
A 21-year-old female patient presented at our practice complaining of temporomandibular joint pain when chewing and poor esthetics, due to the malpositioning of her maxillary incisors.
The lateral image shows a frontal face oblique to the back, a deepened supramentale and, in comparison to the mid-face, a short lower face — 54:46 instead of 50:50 (Table I; Figs. 2a, b).
Owing to the enlarged overjet (13 mm), there was a malfunctioning of the lower lips in occlusion, owing to which lip closure was not possible without habitual, ventral positioning of the mandible.
Furthermore, the frontal image shows a Class II/1-dysgnathia angle, mesial deviation to the left, a
deep occlusion (6 mm) with abrasion in the palatal mucous membrane and corresponding periodontal destruction palatinal of the teeth Nos. 11 and 21, as well as anterior maxilla labial tilt.
In addition, there was clear crowding in the mandibular arch and slight crowding in the maxillary arch.
The maxilla was lowered while the mandible was raised, which was expressed by a difference in the level of the distinctive Spee’s curvature (Figs. 3a–c).
The FRS analysis (Tables I, II) clearly shows sagittal and vertical dysgnathia in the soft-tissue profile and the skeletal region.
The parameters indicated a skeletal deep occlusion with the typical extra-oral symptoms of the short-face syndrome: disto-basal jaw relation, small gonion angle, small interbase angle due to the anterior rotation of the mandible, large ratio between anterior and posterior facial height, and a growth pattern with an anterior course.
The vertical arrangement of the soft-tissue profile showed a disharmony between the mid-face and the lower face (G’-Sn:Sn-Me’; 54:46), which was expressed in the bony structures (N-Sna:Sna-Me; 50:50). Disharmony in the region of the lower face was also evident (Sn-Stm:Stm-Me’; 37:63).
These discrepancies in the ratio are the result of the deficient lower face, rather than the length of the upper lip.
An additional assessment of the lower face indicated that the ratio between the subnasal-labral inferius (Sn-Li) and the soft-tissue menton (Li-Me’), which should have been 1:0.9, was shifted in the favor of Sn-Li (1:0.7). This larger ratio was primarily caused by the short mandible (Figs. 4a, b).
Therapeutic objectives and treatment planning
An improvement of the facial esthetics, not only in the sagittal but also in the vertical axis, was a specific treatment objective. This was to be achieved through the elongation of the lower face without amplifying the prominence of the chin.
Elongation of the lower face as causal therapy and the subsequent effect on the facial esthetics could be achieved in the case of this patient using combined orthodontic and orthognathic surgical treatment. It would not have been possible to achieve the treatment objectives with respect to esthetics using orthodontic procedures alone.
The decisive step for the desired functional and esthetic results was taken during surgery. The surgical enlargement of the mandibular angle (gonion angle) was decisive for the improvement of the extra-oral appearance through a posterior rotation of the dentigerous segment.
The three-point support on the incisors and molars was a prerequisite for a stable enlargement of the jaw angle and thus a posterior rotation of the horizontal mandibular ramus.
Through the rotation, the menton was shifted caudally so that the skeletal situation and the soft-tissue profile of the lower face were improved in the vertical axis. Accordingly, the interbase angle was enlarged while the ratio between the posterior and anterior facial height was reduced (Fig. 5a).
A translation of the dentigerous segment led to the correction of the sagittal dysgnathia without the improvement of the vertical axis. In addition, the translation resulted in an enhancement of the prominent chin, which led to a flattened mouth profile and thus to a maturation of the patient’s appearance (Fig. 5b).
Therapeutic procedure
The correction of the dysgnathia was done in six phases:
1. Splint therapy: An occlusal splint was inserted in the mandible for six weeks to determine the physiological condylar position or centric before the final treatment planning. The forced bite could thus be demonstrated to its full extent.
2. Orthodontic therapy: Orthodontic therapy was used to form and adjust the dental arches relative to each other and to decompensate the skeletal dysgnathia. All first premolars were extracted to eliminate crowding and to align both fronts along the midline.
3. Splint therapy: Four to six weeks prior to surgery, splint therapy was performed to determine the condylar centric and thus register the temporomandibular joint in a physiological position (centric).
4. Orthognathic surgery: Orthognathic surgery was performed in order to correct skeletal dysgnathia. After a model operation, determination of the translocation path and production of the splint in the target occlusion, the preliminary surgical mandibular translocation was carried out by means of sagittal split according to Obwegeser–Dal Pont.
5. Orthodontic therapy: Orthodontic therapy was used to close the lateral open occlusion and for fine adjustment of the occlusion. The open occlusion was to be closed only through the extrusion of the maxillary lateral incisors and not by the intrusion of the fronts.
6. Retention: A 3–3 retainer was fixed in the mandible. A bimaxillary device was used for retention, allowing for the adaptation of the musculature in the new mandibular position.
Results
Figures 6a to 6c show the situation in occlusion and after closure of the lateral open bite, a neutral occlusion and correct midline with physiological sagittal and vertical overjet.
The extra-oral photos show a harmonic three-way split of the face in the vertical axis, which was achieved through the surgical elongation of the lower face, and a harmonic profile in the sagittal axis. The mouth profile is harmonious, with relaxed lip closure and a well-balanced supramentale (Fig. 7).
The FRS shows the changes in the parameters that arose as a result of the enlargement of the gonion angle. The gonion angle was increased surgically by 8 degrees. Accordingly, the mandibular slope was increased, which led to an enlargement of the interbase angle (around 5 degrees).
There is harmonization in the vertical arrangement of the bony and soft-tissue profiles. The disharmony of the lower face has been corrected, so that the ratio of Sn-Stm to Stm-Me’ is nearly 1:2 and that of Sn-Li to Li-Me’ is 1:1 (Figs. 8a, b; Tables I, II).
Editorial note: A complete list of references is available from the publisher.
Contact info
Prof. Nezar Watted, nezar.watted@gmx.net
Canals come in all sizes and shapes. They can be any combination of wide, straight, narrow, curved, smooth, gritty, filled with tissue, devoid of tissue, ...
NEW YORK, NY, USA: Ed Matthews, president and CEO of Sure Business Logic, was recently elected a fellow of the International Academy of Dental Facial ...
After years of not smiling and experiencing pain with chewing at every meal, Carmen decided to do something significant to change her life. My team and I ...
Minimally invasive cosmetic facial procedures are quickly becoming the most exciting and controversial topic in cosmetic dentistry. In my mind, there is no ...
CHICAGO, US: Dentistry is undergoing a generational and gender shift. As highlighted in The U.S. Dentist Workforce, a new report from the American Dental ...
The esthetic rehabilitation of patients with a functionally compromised dentition frequently involves a multidisciplinary approach incorporating several ...
WASHINGTON, US: The American Academy of Facial Plastic and Reconstructive Surgery (AAFPRS) has recently released the results of its 2024 annual member ...
The Shils Fund proudly announces Adrian Finzelberg, founder of KiDDY CAPS, as the grand prize winner of the 2025 Shils Fund Great Oral Health Pitch Grand ...
The toothbrush is an essential tool that is used for the care of our teeth. Have you ever missed brushing your teeth for one day? Have you ever considered ...
LEIPZIG, Germany: Rural communities across the US are facing a growing oral health crisis as access to fluoridated water and dental care diminishes. This ...
Live webinar
Mon. 23 February 2026
3:00 AM EST (New York)
Ass. Prof. Elizabeth Shick, Dr. Zehra Yonel
Live webinar
Tue. 24 February 2026
1:00 PM EST (New York)
Prof. Dr. Markus B. Hürzeler
Live webinar
Tue. 24 February 2026
3:00 PM EST (New York)
Prof. Dr. Marcel A. Wainwright DDS, PhD
Live webinar
Wed. 25 February 2026
11:00 AM EST (New York)
Prof. Dr. Daniel Edelhoff
Live webinar
Wed. 25 February 2026
1:00 PM EST (New York)
Live webinar
Wed. 25 February 2026
8:00 PM EST (New York)
Live webinar
Tue. 3 March 2026
11:00 AM EST (New York)
Dr. Omar Lugo Cirujano Maxilofacial
To post a reply please login or register