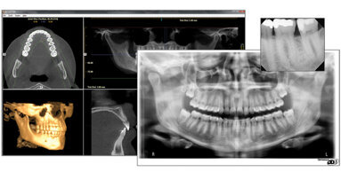
WASHINGTON, D.C., USA/LONDON, UK: A U.S. business conglomerate is leading the global market for dental radiology equipment, Dental Tribune ONLINE has learned. According to a report released by business information platform companiesandmarkets.com, D.C.-based Danaher had the largest share in the US$2.1 billion market in 2010, followed by companies like Planmeca, Sirona Dental Systems and Kodak.
The report also estimates the overall global market for dental radiology equipment to grow by 5% during 2010-2017, a number slightly lower than the average growth rate of all dental equipment segments combined.
Danaher, which is involved into five other industry segments besides dentistry, owns a number of dental businesses including German imaging specialist KaVo or DEXIS. They also recently acquired PaloDEx Holding, a Finish company, that prior held the Instrumentarium Dental and SOREDEX brands.
The company currently generates revenues of more than US$13 billion annually, of which approx. 4 per cent or US$500 million derive from selling dental imaging equipment.
In an interview, Dr. Leonard Tau of the Pennsylvania Center for Dental Excellence discusses his Internet marketing consulting business, how people use the ...
NEW YORK, NY, USA: Danaher Corp. has entered into a definitive agreement to acquire PaloDEx Holding Oy (PaloDEx), a manufacturer of dental imaging products ...
NEW YORK, N.Y., USA: The global dental implants market is projected to exceed $6.5 billion by 2018, according to a report by Research and Markets, a ...
NEW YORK, NY, USA: Although the current economic crisis is resulting in lower growth in the short term, the U.S. dental implant market will recover after ...
ROSLYN, N.Y., USA: To better serve the North American dental market, Owandy Radiology, a manufacturer of dental radiology hardware and imaging software, has...
NEW YORK, N.Y., USA: According to a market report recently released by Transparency Market Research, the global dental equipment market was valued at $5.5 ...
Use of tissue engineering is a rapidly growing trend in dental offices across the United States. Used in dental bone graft procedures, tissue engineering ...
Vancouver, BC, CANADA: According to a new report series by iData Research, the leading global authority in dental market research, the U.S. dental hygiene ...
NEW YORK, NY, USA: Thanks to the Live Dentistry Arena and ADA CERP-accredited C.E. credits available at the Dental Tribune Study Club (DTSC) Symposia, the ...
DELRAY BEACH, Fla., US: The increasingly digitalised delivery of oral care is supporting sustained growth in dental laboratories. A new report by ...
Live webinar
Wed. 15 April 2026
2:00 PM EST (New York)
Live webinar
Wed. 15 April 2026
8:00 PM EST (New York)
Linda Hecker MS, BSDH, RDH
Live webinar
Thu. 16 April 2026
12:00 PM EST (New York)
Dr. Pär-Olov Östman, Dr. Robert Gottlander DDS
Live webinar
Fri. 17 April 2026
12:00 PM EST (New York)
Live webinar
Fri. 17 April 2026
1:00 PM EST (New York)
Dr. Stuart Yeaton BDentSc, MOrth
Live webinar
Mon. 20 April 2026
1:00 PM EST (New York)
Dr. Alberto Monje DDS, MS, PhD
Live webinar
Wed. 22 April 2026
11:00 AM EST (New York)
MDT Andreas Chatzimpatzakis
To post a reply please login or register