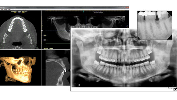
NEW YORK, NY, USA: Danaher Corp. has entered into a definitive agreement to acquire PaloDEx Holding Oy (PaloDEx), a manufacturer of dental imaging products with revenues of more than US$100 million with products under the Instrumentarium Dental and SOREDEX brands. Instrumentarium Dental and SOREDEX will join Gendex, DEXIS, ISI, KaVo and Pelton & Crane as part of Danaher’s group of dental equipment companies.
Instrumentarium Dental and SOREDEX and their products have been highly regarded by dental professionals since their inception 45 years ago, according to a press release from Danaher announcing the acquisition. PaloDEx’s product range includes 3D CBCT, Panoramic X-ray (including the OP200), PSP (including the Optime IO PSP) and other intra-oral and extra-oral xray imaging systems.
“We believe this acquisition will be a game-changer for both of our companies, and we are excited about the opportunity to acquire two of the leading imaging brands,” said Henk van Duijnhoven, group executive of Danaher’s KaVo Group, in the release. “Instrumentarium Dental and Soredex’s excellent digital imaging products and technology will be a great fit with our existing Gendex, DEXIS and i-CAT business.”
“I am thrilled to join Danaher’s dental business,” said Henrik Roos, president of PaloDEx, who will remain in his position. “The combined business will create a unique opportunity to provide new and innovative technologies in digital dentistry with focus on diagnostics and treatment planning for general practitioners and specialists.”
“PaloDEx has a very experienced team, and we look forward to working with Henrik Roos and his team as we continue to build the business,” van Duijnhoven said.
Danaher’s transaction to acquire PaloDEx, announced on 12 October, is subject to regulatory approval and customary closing conditions.
LOS ANGELES, US: SprintRay, the global leader in dental 3D printing, has announced the acquisition of the EnvisionTEC/ETEC (formerly part of Desktop Health)...
Cantel Medical Corp. subsidiary, Crosstex, continues its market diversification and expansion with the acquisition of Accutron Inc., an industry-leading ...
CHICAGO, IL, USA: Water Street Healthcare Partners announced that it has acquired OraPharma from Johnson & Johnson. Water Street, a strategic private ...
WASHINGTON, D.C., USA/LONDON, UK: A U.S. business conglomerate is leading the global market for dental radiology equipment, Dental Tribune ONLINE has ...
NEW YORK, N.Y., and PALM BEACH GARDENS, Fla., USA: Cerberus Capital Management, L.P., known as a global leader in alternative investing, announced that one ...
Crocker Ventures has acquired TMJ Implants of Golden, Colo., the leading manufacturer of implants for the treatment of temporomandibular joint (TMJ) ...
PITTSTON, Pa., USA: Benco Dental announced today (Feb 4, 2022) the acquisition of Popp Dental Supply. Terms of the sale were not disclosed. Popp Dental ...
HUNTINGTON BEACH, Calif., USA: Management from Kettenbach LP and Airway Metrics LLC have announced the acquisition by Kettenbach LP of all business assets ...
HOUSTON, Texas, USA: Forward Science has acquired exclusive rights to intelligent, high-definition earpieces from Dental Innovations, LLC, a company that ...
HAUPPAUGE, N.Y., USA: Crosstex has entered into a definitive agreement with North American Science Associates (NAMSA) to acquire its Sterility Assurance ...
Live webinar
Wed. 15 April 2026
2:00 PM EST (New York)
Live webinar
Wed. 15 April 2026
8:00 PM EST (New York)
Linda Hecker MS, BSDH, RDH
Live webinar
Thu. 16 April 2026
12:00 PM EST (New York)
Dr. Pär-Olov Östman, Dr. Robert Gottlander DDS
Live webinar
Fri. 17 April 2026
12:00 PM EST (New York)
Live webinar
Fri. 17 April 2026
1:00 PM EST (New York)
Dr. Stuart Yeaton BDentSc, MOrth
Live webinar
Mon. 20 April 2026
1:00 PM EST (New York)
Dr. Alberto Monje DDS, MS, PhD
Live webinar
Wed. 22 April 2026
11:00 AM EST (New York)
MDT Andreas Chatzimpatzakis
To post a reply please login or register