I graduated from dental school in 1977. At that time, adhesive dental options were just beginning to emerge. Caulk Nuvafil was the first light-cured material in my memory that made an impact in the United States. For the first time in my practice, I was able to create solutions for my patients that minimized the amount of tooth structure to be removed.
Around 1982, Dr Buddy Mopper pioneered creating artistic durable restorations with direct composites. Meanwhile, Dr John Kanca made valuable contributions in the understanding of etching and applying bonding agents. The maximizing of durable bond strengths combined with the development of composite resins that mimic teeth in color and strength fueled the explosion of minimally invasive techniques that we benefit from today.
embedImagecenter("Imagecenter_1_283",283, "large");
Options that were not initially possible became routine and preferred. Today, direct composite dentistry remains the most sought after service that I offer in my practice. Patients are drawn to the idea of minimally invasive lifelike restorations that rebuild the strength of the teeth.
Composite resin materials continue to evolve. Adding smaller nanoparticles to strong hybrid formulations improved polishing and handling, and created a new class of hybrids. For the last six years, nanohybrids have been my go-to composite material with my favored brands being Kerr’s Premise and Herculite Ultra as well as Cosmedent’s Nano.
These materials do not slump, allowing final sculpting to be accomplished with ease. Over the six years I have used them, breakage is not a factor and a higher-retained polish than hybrids means a more natural looking restoration that retains less plaque, improving longevity and appearance.
With ideal color opacity and blending, I am able to produce restorations that excite my patients, often with only one shade. These materials draw on surrounding tooth color to blend seamlessly. Patients love the material’s tooth mimicking appearance.
Observing successful direct composite patient recalls for more than 30 years has allowed me to confidently offer composite restorative options ranging from small edges to full coverage. It is my conviction based on clinical observations that when we use these nanohybrid resin materials in combination with higher performance bonding agents that seal both the enamel and dentin, the result is a restoration that maximizes longevity, minimizes tooth removal, strengthens the tooth and creates a natural appearance.
However, there is still some reluctance within the profession to implement composite dentistry to restore posterior teeth. Many clinicians express concerns over discolored margins, premature fractures and sensitivity. I would like to address those issues by sharing cases that display why I am enthusiastic about the options I can create for my patients with these materials.
Case No. 1
The patient is a college student. Radiographic evidence showed lesions were present on the proximals and occlusals of teeth #18, #19 and #20. Minimally invasive direct composite restorations were chosen to maximize tooth retention and longevity.
Proper isolation of the area is essential to prevent contamination of the bonding process and was accomplished with a rubber dam. Decay and defective tooth structure were removed (Fig. 1). My preference for bonding agents remains the rinse-etch systems that maximize enamel etching and cleansing of the entire tooth. In my opinion, proper isolation, cleaning and etching are key building blocks to bonding performance.
In this case, a multi-bottle fourth-generation etch/rinse bonding system was used. Proper application as per manufacturer’s instructions and evaporation of the acetone/alcohol component in the primer ensures maximum adhesion and should routinely result in no postoperative sensitivity.
In my opinion, adhesive bonding should solve tooth sensitivity, not cause it. Matrix systems that ensure proper proximal sealing and contour are essential. Kerr Premise nanohybrid composite tooth replacement material was added in layers and properly cured. My favored curing light systems are Kerr Demi and Ultradent’s Valo LED lights.
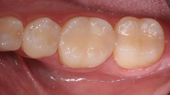
Curing was completed, followed by shaping, polishing and resealing the margins. The post-treatment photo that I have chosen at five years post-op exemplifies why I have confidence in long-term success (Fig. 2). This result is routinely expected with the products and techniques that we use and illustrates that composite resin restorations can be placed with confidence in posterior teeth.
Patients love the natural look and feel as well as the comfort that comes when properly sealing teeth with resin bonding agents and direct composite restorations.
Case No. 2
Having shown the success of case No. 1, which demonstrates my expected long-term performance of direct composite restorations, I will now show and discuss the replacement of a posterior composite resin that had premature failure. I will offer my observations of what I think may have happened to cause premature failure.
The patient was referred to us with a restoration in her upper left first molar that she said was three to four years old. She was having quite a bit of sensitivity
Photos of her preop condition (Fig. 3) show a large composite restoration that was leaking and failing. Notice that the margins are not sealed and deteriorating along the enamel. I believe that either contamination of the tooth and/or using a bonding agent that did not properly etch the enamel resulted in a restoration that did not properly seal the tooth.
When we removed the restoration, a large chunk easily flaked out, indicating that adhesion was not present (Fig. 4). Notice the severe decay under the composite and the layer of glass ionomer that had been placed to prevent leakage, decay and sensitivity. Further removal of unsound tooth left minimal tooth remaining for restoration (Fig. 5).
At this point, I would ask you to consider, what options should be considered to solve the problem we faced? I felt I had three options to offer the patient.
One choice was to do a root canal and crown build up from within the tooth and do a crown overlay. I considered that to be a good treatment, but cost compared to the potential longevity for the patient did not make it worth the risk.
Secondly, I considered tooth removal, placement of an implant and a crown as a viable option that was more likely to succeed long term than the endo crown option. The cost to complete this was not appealing.
The third option, our eventual choice, was a direct composite restoration. The only matrix system that I have used successfully for this extreme tooth condition to surround the tooth and seal at the gingival while staying in place is the Greater Curve matrix band retained in a tofflemire holder. Its bell shape encourages a tight gingival seal and retention as it is tightened.
We completed the technique with an etch/rinse multi-bottle bonding agent. This remains my gold standard for bonding because it optimizes cleaning and etching of the tooth for the most predictable seal and bond. For this case we used Cosmedent Nano as our composite.
The result (Fig. 6) is two weeks post treatment and shows a retained polish with a toothlike appearance and complete sealing of the tooth. This treatment choice was delivered at approximately one-third the cost of a crown and root canal and one-fifth the cost of an implant and crown.
The patient returned for follow up evaluation totally comfortable and excited about the results. If and when it should fail, my advised treatment would then be an implant/crown combination.
In closing, nanohybrid composite technology represents years of refinement and development that have created products that offer maximum versatility and value for the dentist to create a multitude of exciting options that patients love. Although following proper protocol is imperative for success, it is not any more difficult than most other procedures we perform in dentistry.
In the end, there is no procedure I do for my patients on a daily basis that creates more excitement and perceived value than an adhesively bonded nanohybrid composite. My hope is that this will encourage those who may be reluctant to provide this service to explore and enjoy its possibilities. Happy bonding!
About the author
Bruce J. LeBlanc, DDS, provides seminars nationally on adhesive dental techniques. His practice offers adhesive and cosmetic solutions that minimize tooth removal. He is a product consultant to dental manufacturers and has published internationally on his adhesive technique. He may be reached at bjleb@cox.net.
In the past few years, the economic condition of many of our patients has changed, thus limiting their options when making dental treatment choices. In ...
Imagine a composite technology that defends your restorative margins from recurrent decay by killing the bacteria that cause secondary caries on contact. ...
There has been a major movement in dentistry to preserve as much tooth structure as possible, and tooth alignment has become the cosmetic treatment of ...
BIOMET 3i has announced a new collaboration with 3M ESPE that utilizes the BIOMET 3i patented BellaTek Encode Impression System with the 3MTM True ...
CHICAGO, Ill., USA: The Henry Schein ConnectDental Pavilion at the Chicago Dental Society’s Midwinter Meeting, being held Feb. 25-27 at McCormick ...
Cosmetic dentists are clinical perfectionists. To an extraordinary degree, you take personal pride in the smiles you restore and think of the patients ...
Cosmetic dentists are clinical perfectionists. To an extraordinary degree, you take personal pride in the smiles you restore and think of the patients ...
GRAND RAPIDS, Mich., USA: OrVance, a developer of proprietary oral care products, has launched OrVance Aligner Pontics. According to the company, OrVance ...
CHICAGO, Ill., USA: In a clearly distinctive move to make perfect smiles easy and accessible, Aspen Dental Management Inc. (ADMI) is launching Motto, a new,...
Both prospective dental implant patients and the general public agree in a new study: oral and maxillofacial surgeons are the most qualified to perform the ...
Live webinar
Thu. 14 May 2026
12:00 PM EST (New York)
Live webinar
Thu. 14 May 2026
2:00 PM EST (New York)
Prof. Hani Ounsi DDS PhD FICD
Live webinar
Tue. 19 May 2026
11:00 AM EST (New York)
Live webinar
Tue. 19 May 2026
1:00 PM EST (New York)
Prof. Dr. med. dent. Ivo Krejci
Live webinar
Wed. 20 May 2026
7:00 AM EST (New York)
Dr. Graham Carmichael BDSc (Hons), DClinDent (Pros), FRACDS, Dr. Robert Gottlander DDS
Live webinar
Wed. 20 May 2026
9:00 AM EST (New York)
Live webinar
Wed. 20 May 2026
1:00 PM EST (New York)
Prof. Dr. med. dent. Tim Joda PhD, MSc, eMBA
To post a reply please login or register